• 文献检索
  • 文档翻译
  • 深度研究
  • 学术资讯
  • Suppr Zotero 插件Zotero 插件
  • 邀请有礼
  • 套餐&价格
  • 历史记录
应用&插件
Suppr Zotero 插件Zotero 插件浏览器插件Mac 客户端Windows 客户端微信小程序
定价
高级版会员购买积分包购买API积分包
服务
文献检索文档翻译深度研究API 文档MCP 服务
关于我们
关于 Suppr公司介绍联系我们用户协议隐私条款
关注我们

Suppr 超能文献

核心技术专利:CN118964589B侵权必究
粤ICP备2023148730 号-1Suppr @ 2026

文献检索

告别复杂PubMed语法,用中文像聊天一样搜索,搜遍4000万医学文献。AI智能推荐,让科研检索更轻松。

立即免费搜索

文件翻译

保留排版,准确专业,支持PDF/Word/PPT等文件格式,支持 12+语言互译。

免费翻译文档

深度研究

AI帮你快速写综述,25分钟生成高质量综述,智能提取关键信息,辅助科研写作。

立即免费体验

一组葡萄球菌属特定菌株中透明质酸酶的基因型和表型评估

Genotypic and Phenotypic Assessment of Hyaluronidase among Type Strains of a Select Group of Staphylococcal Species.

作者信息

Hart Mark E, Hart Morgan J, Roop Anna J

机构信息

Division of Microbiology, National Center for Toxicological Research, U.S. Food and Drug Administration, Jefferson, AR 72079, USA.

出版信息

Int J Microbiol. 2009;2009:614371. doi: 10.1155/2009/614371. Epub 2010 Jan 10.

DOI:10.1155/2009/614371
PMID:20130817
原文链接:https://pmc.ncbi.nlm.nih.gov/articles/PMC2814232/
Abstract

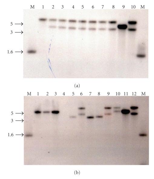
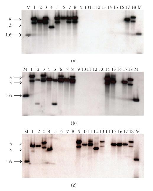
Hyaluronidases degrade hyaluronic acid, a major polysaccharide of the extracellular matrix of tissues, and are considered important for virulence in a number of Gram-positive and -negative bacteria. The purpose of the present study was to determine the prevalence of hyaluronidase among clinical strains of Staphylococcus aureus and among other Staphylococcus species. Spent media and chromosomal DNA were assessed for hyaluronidase activity and the absence or presence of a hyaluronidase gene (hysA) by Southern analysis, respectively. All S. aureus strains examined exhibited at least one hybridizing band (half of the strains exhibited two or more hybridizing bands) when probed for hysA and all but three of these strains produced hyaluronidase. In contrast, none of the type strains of 19 other species exhibited either hyaluronidase activity or hybridizing bands when probed for hysA. These data support the hypothesis that among members of the Staphylococcus genus only strains of S. aureus possess the enzyme hyaluronidase. This would suggest that hyaluronidase represents yet another potential virulence factor employed by S. aureus to cause disease and may represent a diagnostically important characteristic for distinguishing S. aureus from other members of this genus.

摘要

透明质酸酶可降解透明质酸,透明质酸是组织细胞外基质的一种主要多糖,在许多革兰氏阳性菌和革兰氏阴性菌中,透明质酸酶被认为对其致病性很重要。本研究的目的是确定金黄色葡萄球菌临床菌株及其他葡萄球菌属菌种中透明质酸酶的流行情况。分别通过Southern分析评估用过的培养基和染色体DNA的透明质酸酶活性以及透明质酸酶基因(hysA)的有无。检测的所有金黄色葡萄球菌菌株在用hysA探针检测时均显示至少一条杂交带(一半的菌株显示两条或更多条杂交带),并且除了三株菌株外,其他所有菌株均产生透明质酸酶。相比之下,在用hysA探针检测时,其他19个菌种的标准菌株均未显示透明质酸酶活性或杂交带。这些数据支持了这样一种假说,即在葡萄球菌属成员中,只有金黄色葡萄球菌菌株拥有透明质酸酶。这表明透明质酸酶是金黄色葡萄球菌用来致病的另一种潜在毒力因子,并且可能是将金黄色葡萄球菌与该属其他成员区分开来的一个重要诊断特征。

https://cdn.ncbi.nlm.nih.gov/pmc/blobs/eb9c/2814232/805bf20eb000/IJMB2009-614371.004.jpg
https://cdn.ncbi.nlm.nih.gov/pmc/blobs/eb9c/2814232/a3754d5b22f0/IJMB2009-614371.001.jpg
https://cdn.ncbi.nlm.nih.gov/pmc/blobs/eb9c/2814232/62cec8a3b54b/IJMB2009-614371.002.jpg
https://cdn.ncbi.nlm.nih.gov/pmc/blobs/eb9c/2814232/6c64982decf5/IJMB2009-614371.003.jpg
https://cdn.ncbi.nlm.nih.gov/pmc/blobs/eb9c/2814232/805bf20eb000/IJMB2009-614371.004.jpg
https://cdn.ncbi.nlm.nih.gov/pmc/blobs/eb9c/2814232/a3754d5b22f0/IJMB2009-614371.001.jpg
https://cdn.ncbi.nlm.nih.gov/pmc/blobs/eb9c/2814232/62cec8a3b54b/IJMB2009-614371.002.jpg
https://cdn.ncbi.nlm.nih.gov/pmc/blobs/eb9c/2814232/6c64982decf5/IJMB2009-614371.003.jpg
https://cdn.ncbi.nlm.nih.gov/pmc/blobs/eb9c/2814232/805bf20eb000/IJMB2009-614371.004.jpg

相似文献

1
Genotypic and Phenotypic Assessment of Hyaluronidase among Type Strains of a Select Group of Staphylococcal Species.一组葡萄球菌属特定菌株中透明质酸酶的基因型和表型评估
Int J Microbiol. 2009;2009:614371. doi: 10.1155/2009/614371. Epub 2010 Jan 10.
2
Staphylococcus aureus hyaluronidase is a CodY-regulated virulence factor.金黄色葡萄球菌透明质酸酶是一种受CodY调控的毒力因子。
Infect Immun. 2014 Oct;82(10):4253-64. doi: 10.1128/IAI.01710-14. Epub 2014 Jul 28.
3
Hyaluronan Modulation Impacts Staphylococcus aureus Biofilm Infection.透明质酸调节对金黄色葡萄球菌生物膜感染有影响。
Infect Immun. 2016 May 24;84(6):1917-1929. doi: 10.1128/IAI.01418-15. Print 2016 Jun.
4
A naturally occurring point mutation in the hyaluronidase gene () of UAMS-1 results in reduced enzymatic activity.UAMS - 1的透明质酸酶基因()中自然发生的点突变导致酶活性降低。
Can J Microbiol. 2021 Sep 14:1-13. doi: 10.1139/cjm-2021-0110.
5
Diversity and Standard Nomenclature of Staphylococcus aureus Hyaluronate Lyases HysA and HysB.金黄色葡萄球菌透明质酸裂解酶 HysA 和 HysB 的多样性和标准命名。
Microbiol Spectr. 2023 Aug 17;11(4):e0052423. doi: 10.1128/spectrum.00524-23. Epub 2023 Jun 26.
6
Genotypic and Phenotypic Characterization of Isolates from the Respiratory Tract in Mechanically-Ventilated Patients.机械通气患者呼吸道分离株的基因和表型特征。
Toxins (Basel). 2021 Feb 6;13(2):122. doi: 10.3390/toxins13020122.
7
Genetic diversity and virulence characteristics of Staphylococcus aureus isolates from cases of bovine mastitis.奶牛乳腺炎金黄色葡萄球菌分离株的遗传多样性及毒力特征。
Microb Pathog. 2020 Jul;144:104171. doi: 10.1016/j.micpath.2020.104171. Epub 2020 Mar 26.
8
[Method of quantitative determination of staphylococcal hyaluronidase activity].
Klin Lab Diagn. 1998 Mar(3):36-8.
9
Cloning, nucleotide sequence determination and expression of the Staphylococcus aureus hyaluronate lyase gene.金黄色葡萄球菌透明质酸裂解酶基因的克隆、核苷酸序列测定及表达
FEMS Microbiol Lett. 1995 Jul 15;130(1):81-5. doi: 10.1016/0378-1097(95)00187-A.
10
The hyaluronate lyase of Staphylococcus aureus - a virulence factor?金黄色葡萄球菌的透明质酸裂解酶——一种毒力因子?
Microbiology (Reading). 2004 Jun;150(Pt 6):2005-2013. doi: 10.1099/mic.0.26942-0.

引用本文的文献

1
Breast Cancer: Extracellular Matrix and Microbiome Interactions.乳腺癌:细胞外基质与微生物组的相互作用。
Int J Mol Sci. 2024 Jun 30;25(13):7226. doi: 10.3390/ijms25137226.
2
HylS', a fragment of truncated hyaluronidase of , contributes to immune evasion by interaction with host complement factor C3b.HylS'是截短的透明质酸酶的一个片段,它通过与宿主补体因子C3b相互作用来促进免疫逃逸。
Virulence. 2024 Dec;15(1):2306691. doi: 10.1080/21505594.2024.2306691. Epub 2024 Feb 4.
3
Diversity and Standard Nomenclature of Staphylococcus aureus Hyaluronate Lyases HysA and HysB.

本文引用的文献

1
Evolution of the hyaluronic acid synthesis (has) operon in Streptococcus zooepidemicus and other pathogenic streptococci.兽疫链球菌及其他致病性链球菌中透明质酸合成(has)操纵子的进化
J Mol Evol. 2008 Jul;67(1):13-22. doi: 10.1007/s00239-008-9117-1. Epub 2008 Jun 13.
2
Relative quantitative comparisons of the extracellular protein profiles of Staphylococcus aureus UAMS-1 and its sarA, agr, and sarA agr regulatory mutants using one-dimensional polyacrylamide gel electrophoresis and nanocapillary liquid chromatography coupled with tandem mass spectrometry.使用一维聚丙烯酰胺凝胶电泳和纳升毛细管液相色谱-串联质谱法对金黄色葡萄球菌UAMS-1及其sarA、agr和sarA agr调节突变体的细胞外蛋白质谱进行相对定量比较。
J Bacteriol. 2008 Aug;190(15):5265-78. doi: 10.1128/JB.00383-08. Epub 2008 Jun 6.
3
金黄色葡萄球菌透明质酸裂解酶 HysA 和 HysB 的多样性和标准命名。
Microbiol Spectr. 2023 Aug 17;11(4):e0052423. doi: 10.1128/spectrum.00524-23. Epub 2023 Jun 26.
4
A Semi-Quantitative Assay to Measure Glycosaminoglycan Degradation by the Urinary Microbiota.一种半定量检测尿液微生物群对糖胺聚糖降解作用的方法。
Front Cell Infect Microbiol. 2022 Jan 3;11:803409. doi: 10.3389/fcimb.2021.803409. eCollection 2021.
5
Isolated From Blood Cultures and Prosthetic Joint Infections Exhibits Excessive Genome Decay.从血培养物和人工关节感染中分离出的菌株表现出过度的基因组衰退。
Front Microbiol. 2019 Mar 12;10:478. doi: 10.3389/fmicb.2019.00478. eCollection 2019.
6
Secreted Toxins and Extracellular Enzymes.分泌毒素和细胞外酶。
Microbiol Spectr. 2019 Mar;7(2). doi: 10.1128/microbiolspec.GPP3-0039-2018.
7
Are zoonotic Staphylococcus pseudintermedius strains a growing threat for humans?人畜共患的中间型假葡萄球菌菌株对人类构成的威胁正在增加吗?
Folia Microbiol (Praha). 2018 Nov;63(6):743-747. doi: 10.1007/s12223-018-0615-2. Epub 2018 May 26.
8
Comparative genome analysis of 24 bovine-associated isolates with special focus on the putative virulence genes.对24株牛源分离株进行比较基因组分析,特别关注假定的毒力基因。
PeerJ. 2018 Mar 30;6:e4560. doi: 10.7717/peerj.4560. eCollection 2018.
9
Hyaluronan Modulation Impacts Staphylococcus aureus Biofilm Infection.透明质酸调节对金黄色葡萄球菌生物膜感染有影响。
Infect Immun. 2016 May 24;84(6):1917-1929. doi: 10.1128/IAI.01418-15. Print 2016 Jun.
10
Draft Genome Sequence of Bovine Mastitis Isolate Staphylococcus agnetis CBMRN 20813338.牛乳腺炎分离株无乳葡萄球菌CBMRN 20813338的基因组序列草图
Genome Announc. 2014 Sep 4;2(5):e00883-14. doi: 10.1128/genomeA.00883-14.
Molecular correlates of host specialization in Staphylococcus aureus.金黄色葡萄球菌宿主特异性的分子关联
PLoS One. 2007 Oct 31;2(10):e1120. doi: 10.1371/journal.pone.0001120.
4
Hyaluronidases: their genomics, structures, and mechanisms of action.透明质酸酶:它们的基因组学、结构及作用机制
Chem Rev. 2006 Mar;106(3):818-39. doi: 10.1021/cr050247k.
5
Role of hyaluronidase in subcutaneous spread and growth of group A streptococcus.透明质酸酶在A组链球菌皮下扩散和生长中的作用。
Infect Immun. 2006 Jan;74(1):40-8. doi: 10.1128/IAI.74.1.40-48.2006.
6
Integr8 and Genome Reviews: integrated views of complete genomes and proteomes.Integr8与基因组综述:完整基因组与蛋白质组的综合视角
Nucleic Acids Res. 2005 Jan 1;33(Database issue):D297-302. doi: 10.1093/nar/gki039.
7
Complete genomes of two clinical Staphylococcus aureus strains: evidence for the rapid evolution of virulence and drug resistance.两株临床金黄色葡萄球菌菌株的全基因组:毒力和耐药性快速进化的证据
Proc Natl Acad Sci U S A. 2004 Jun 29;101(26):9786-91. doi: 10.1073/pnas.0402521101. Epub 2004 Jun 22.
8
The hyaluronate lyase of Staphylococcus aureus - a virulence factor?金黄色葡萄球菌的透明质酸裂解酶——一种毒力因子?
Microbiology (Reading). 2004 Jun;150(Pt 6):2005-2013. doi: 10.1099/mic.0.26942-0.
9
The molecular basis of Streptococcus equi infection and disease.马链球菌感染与疾病的分子基础。
Microbes Infect. 2002 Apr;4(4):501-10. doi: 10.1016/s1286-4579(02)01565-4.
10
Whole genome sequencing of meticillin-resistant Staphylococcus aureus.耐甲氧西林金黄色葡萄球菌的全基因组测序
Lancet. 2001 Apr 21;357(9264):1225-40. doi: 10.1016/s0140-6736(00)04403-2.