Suppr超能文献

因弯曲杆菌属导致的椎间盘炎和主动脉瘤。

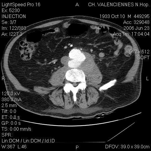
Spondylodiscitis and an aortic aneurysm due to Campylobacter coli.

机构信息

Department of Infectious Diseases, CH Dron Tourcoing, France.

出版信息

Ann Clin Microbiol Antimicrob. 2010 Feb 5;9:8. doi: 10.1186/1476-0711-9-8.

Abstract

Campylobacter coli is a rare cause of bacteremia. We report here the first case of C.coli spondylodiscitis complicated by an aortic aneurysm. Outcome was favourable with surgery and antibiotic therapy.

摘要

大肠弯曲菌是菌血症的罕见病因。我们在此报告首例大肠弯曲菌脊椎椎间盘炎并发主动脉瘤的病例。经手术和抗生素治疗,结局良好。

https://cdn.ncbi.nlm.nih.gov/pmc/blobs/3ef2/2828987/06140218364d/1476-0711-9-8-1.jpg

文献AI研究员

20分钟写一篇综述,助力文献阅读效率提升50倍。

立即体验

用中文搜PubMed

大模型驱动的PubMed中文搜索引擎

马上搜索

文档翻译

学术文献翻译模型,支持多种主流文档格式。

立即体验