Suppr超能文献

Opportunistic protozoan infections in human immunodeficiency virus disease: review highlighting diagnostic and therapeutic aspects.

作者信息

Curry A, Turner A J, Lucas S

机构信息

Public Health Laboratory, Withington Hospital, Manchester.

出版信息

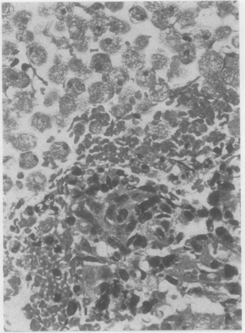
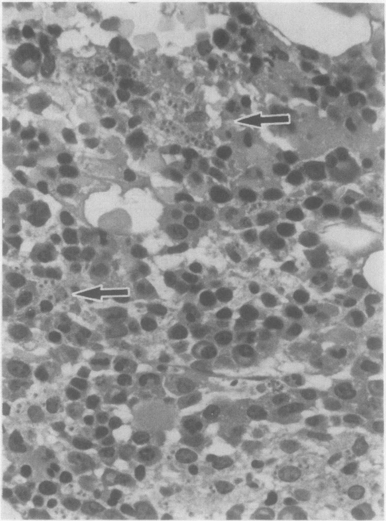
J Clin Pathol. 1991 Mar;44(3):182-93. doi: 10.1136/jcp.44.3.182.

Abstract
摘要
https://cdn.ncbi.nlm.nih.gov/pmc/blobs/e998/496933/812a57da1ac3/jclinpath00405-0007-a.jpg

文献检索

告别复杂PubMed语法,用中文像聊天一样搜索,搜遍4000万医学文献。AI智能推荐,让科研检索更轻松。

立即免费搜索

文件翻译

保留排版,准确专业,支持PDF/Word/PPT等文件格式,支持 12+语言互译。

免费翻译文档

深度研究

AI帮你快速写综述,25分钟生成高质量综述,智能提取关键信息,辅助科研写作。

立即免费体验