Suppr超能文献

红细胞转录因子GATA-1基因的结构与启动子活性

Structure and promoter activity of the gene for the erythroid transcription factor GATA-1.

作者信息

Hannon R, Evans T, Felsenfeld G, Gould H

机构信息

Biomolecular Sciences Division, King's College, London, England.

出版信息

Proc Natl Acad Sci U S A. 1991 Apr 15;88(8):3004-8. doi: 10.1073/pnas.88.8.3004.

Abstract

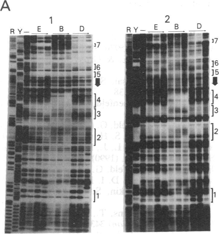
We have cloned the gene for the chicken erythroid transcription factor GATA-1 (formerly Eryf1, NF-E1, or GF-1). The gene is composed of six exons, two of which encode the two finger domains of the protein. Transcription of GATA-1 in chicken embryonic erythroid cells initiates from multiple sites clustered approximately 200 base pairs upstream from the start of protein-coding sequence. A number of sequence motifs for known DNA-binding proteins are found to be protected in DNase I-footprinting experiments by either erythroid or brain nuclear extracts or by both. Notably, a cluster of three GATA-1 sites is protected by the erythroid extract, as well as by purified GATA-1. We find that the upstream region of the gene functions as a powerful promoter when transfected into embryonic erythroid cells. In primary chicken embryo fibroblasts the promoter exhibits lower activity, which is increased when the cells are cotransfected with a second plasmid expressing the GATA-1 cDNA. The results suggest that GATA-1 protein plays an autoregulatory role in its own expression.

摘要

我们克隆了鸡红细胞转录因子GATA-1(以前称为Eryf1、NF-E1或GF-1)的基因。该基因由六个外显子组成,其中两个外显子编码该蛋白质的两个锌指结构域。鸡胚胎红细胞中GATA-1的转录起始于多个位点,这些位点聚集在蛋白质编码序列起始上游约200个碱基对处。在DNase I足迹实验中,发现许多已知DNA结合蛋白的序列基序受到红细胞或脑细胞核提取物或两者的保护。值得注意的是,一组三个GATA-1位点受到红细胞提取物以及纯化的GATA-1的保护。我们发现,当该基因的上游区域转染到胚胎红细胞中时,它可作为一个强大的启动子发挥作用。在原代鸡胚成纤维细胞中,该启动子活性较低,当细胞与表达GATA-1 cDNA的第二个质粒共转染时,其活性会增加。结果表明,GATA-1蛋白在其自身表达中发挥自调节作用。

https://cdn.ncbi.nlm.nih.gov/pmc/blobs/c600/51372/fc57b20b0a1a/pnas01058-0047-a.jpg

文献检索

告别复杂PubMed语法,用中文像聊天一样搜索,搜遍4000万医学文献。AI智能推荐,让科研检索更轻松。

立即免费搜索

文件翻译

保留排版,准确专业,支持PDF/Word/PPT等文件格式,支持 12+语言互译。

免费翻译文档

深度研究

AI帮你快速写综述,25分钟生成高质量综述,智能提取关键信息,辅助科研写作。

立即免费体验