• 文献检索
  • 文档翻译
  • 深度研究
  • 学术资讯
  • Suppr Zotero 插件Zotero 插件
  • 邀请有礼
  • 套餐&价格
  • 历史记录
应用&插件
Suppr Zotero 插件Zotero 插件浏览器插件Mac 客户端Windows 客户端微信小程序
定价
高级版会员购买积分包购买API积分包
服务
文献检索文档翻译深度研究API 文档MCP 服务
关于我们
关于 Suppr公司介绍联系我们用户协议隐私条款
关注我们

Suppr 超能文献

核心技术专利:CN118964589B侵权必究
粤ICP备2023148730 号-1Suppr @ 2026

文献检索

告别复杂PubMed语法,用中文像聊天一样搜索,搜遍4000万医学文献。AI智能推荐,让科研检索更轻松。

立即免费搜索

文件翻译

保留排版,准确专业,支持PDF/Word/PPT等文件格式,支持 12+语言互译。

免费翻译文档

深度研究

AI帮你快速写综述,25分钟生成高质量综述,智能提取关键信息,辅助科研写作。

立即免费体验

一位老年患者的有症状的 Morgagni 疝。

Symptomatic Morgagni's hernia in an elderly patient.

作者信息

Rai Santosh Pv, Kamath Madhav, Shetty Ashok, Shenoy Suresh, Kumar Ashvini

机构信息

Department of Radiodiagnosis, KMC Hospital, Attavar, Mangalore - 575 001, Karnataka, India.

出版信息

J Emerg Trauma Shock. 2010 Jan;3(1):89-91. doi: 10.4103/0974-2700.58654.

DOI:10.4103/0974-2700.58654
PMID:20165730
原文链接:https://pmc.ncbi.nlm.nih.gov/articles/PMC2823152/
Abstract

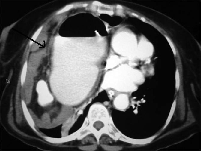
Hernia of Morgagni occurs through an anterior defect in the diaphragm. Symptoms of these hernias are attributable to the herniated viscera. In our case, there was partial obstruction due to herniation of the distal stomach and pylorus into the right hemithorax that was reduced surgically through a right thoracolapaorotomy. Of special emphasis are the various modalities used to diagnose this condition in our case.

摘要

莫尔加尼疝通过膈肌前部缺损形成。这些疝的症状归因于疝入的内脏。在我们的病例中,由于远端胃和幽门疝入右胸腔导致部分梗阻,通过右侧胸腹联合切口手术复位。特别强调的是在我们病例中用于诊断这种疾病的各种方法。

https://cdn.ncbi.nlm.nih.gov/pmc/blobs/eaa8/2823152/1776e8b53abb/JETS-03-89-g004.jpg
https://cdn.ncbi.nlm.nih.gov/pmc/blobs/eaa8/2823152/e95ec47883af/JETS-03-89-g001.jpg
https://cdn.ncbi.nlm.nih.gov/pmc/blobs/eaa8/2823152/bff1a49d593c/JETS-03-89-g002.jpg
https://cdn.ncbi.nlm.nih.gov/pmc/blobs/eaa8/2823152/f5c816bef3cd/JETS-03-89-g003.jpg
https://cdn.ncbi.nlm.nih.gov/pmc/blobs/eaa8/2823152/1776e8b53abb/JETS-03-89-g004.jpg
https://cdn.ncbi.nlm.nih.gov/pmc/blobs/eaa8/2823152/e95ec47883af/JETS-03-89-g001.jpg
https://cdn.ncbi.nlm.nih.gov/pmc/blobs/eaa8/2823152/bff1a49d593c/JETS-03-89-g002.jpg
https://cdn.ncbi.nlm.nih.gov/pmc/blobs/eaa8/2823152/f5c816bef3cd/JETS-03-89-g003.jpg
https://cdn.ncbi.nlm.nih.gov/pmc/blobs/eaa8/2823152/1776e8b53abb/JETS-03-89-g004.jpg

相似文献

1
Symptomatic Morgagni's hernia in an elderly patient.一位老年患者的有症状的 Morgagni 疝。
J Emerg Trauma Shock. 2010 Jan;3(1):89-91. doi: 10.4103/0974-2700.58654.
2
Morgagni's Hernia: Analysis of 21 Patients with Our Clinical Experience in Diagnosis and Treatment.莫尔加尼疝:21例患者的分析及我们的诊断与治疗临床经验
Indian J Surg. 2018 Jun;80(3):239-244. doi: 10.1007/s12262-016-1580-0. Epub 2017 Jan 6.
3
A case of symptomatic Morgagni's hernia and a review of Morgagni's hernia in Japan (263 reported cases).
Hernia. 2006 Dec;10(6):521-4. doi: 10.1007/s10029-006-0123-1. Epub 2006 Aug 16.
4
Successful Laparoscopic Treatment of Morgagni's Hernia in an Elderly Female Presenting as a Hypoxemic Hypercapnic Respiratory Distress.成功腹腔镜治疗以低氧血症性高碳酸血症呼吸窘迫为表现的老年女性 Morgagni 疝
Cureus. 2024 Feb 25;16(2):e54876. doi: 10.7759/cureus.54876. eCollection 2024 Feb.
5
Hernia of Morgagni--case report.莫尔加尼疝——病例报告
Coll Antropol. 2012 Dec;36(4):1467-9.
6
[Diaphragmatic hernia of Morgagni-Larrey in adults: analysis of 10 cases].
Gastroenterol Hepatol. 2003 Nov;26(9):535-40. doi: 10.1016/s0210-5705(03)70408-7.
7
Intestinal obstruction caused by a strangulated Morgagni hernia in an adult patient.一名成年患者因绞窄性 Morgagni 疝导致肠梗阻。
J Thorac Imaging. 2005 Aug;20(3):220-2. doi: 10.1097/01.rti.0000154078.59689.36.
8
Is this a mediastinal tumor? A case of Morgagni hernia complicated with intestinal incarceration mistaken for the mediastinal lipoma previously.这是纵隔肿瘤吗?一例 Morgagni 疝合并肠嵌顿曾被误诊为纵隔脂肪瘤。
Int J Surg Case Rep. 2013;4(3):302-4. doi: 10.1016/j.ijscr.2012.12.010. Epub 2013 Jan 16.
9
Strangulated Morgagni's Hernia: A Rare Diagnosis and Management.绞窄性莫尔加尼疝:罕见的诊断与处理
Case Rep Surg. 2016;2016:2621383. doi: 10.1155/2016/2621383. Epub 2016 Nov 7.
10
Congenital Morgagni's Hernia Presenting in Elderly Lady.老年女性先天性莫尔加尼疝
Indian J Surg. 2011 Aug;73(4):312-3. doi: 10.1007/s12262-010-0212-3. Epub 2010 Nov 23.

引用本文的文献

1
Morgagni hernia repair in adult obese patient by hybrid robotic thoracic surgery.杂交机器人胸外科手术治疗成年肥胖患者的 Morgagni 疝修补术
J Thorac Dis. 2018 Jul;10(7):E555-E559. doi: 10.21037/jtd.2018.06.35.
2
A 76-year-old woman with pre-renal azotaemia and Morgagni's hernia.一名患有肾前性氮质血症和 Morgagni 疝的 76 岁女性。
NDT Plus. 2010 Dec;3(6):588-9. doi: 10.1093/ndtplus/sfq124. Epub 2010 Jul 14.

本文引用的文献

1
Morgagni's hernia: believing is seeing.莫尔加尼疝:眼见为实。
ANZ J Surg. 2008 Sep;78(9):739-44. doi: 10.1111/j.1445-2197.2008.04641.x.
2
Gastric volvulus through a Morgagni hernia: multidetector computed tomography diagnosis.经莫尔加尼疝的胃扭转:多层螺旋计算机断层扫描诊断
Emerg Radiol. 2008 May;15(3):197-201. doi: 10.1007/s10140-007-0660-7. Epub 2007 Aug 14.
3
A case of symptomatic Morgagni's hernia and a review of Morgagni's hernia in Japan (263 reported cases).
Hernia. 2006 Dec;10(6):521-4. doi: 10.1007/s10029-006-0123-1. Epub 2006 Aug 16.
4
Intestinal obstruction caused by a strangulated Morgagni hernia in an adult patient.一名成年患者因绞窄性 Morgagni 疝导致肠梗阻。
J Thorac Imaging. 2005 Aug;20(3):220-2. doi: 10.1097/01.rti.0000154078.59689.36.
5
[Diaphragmatic hernia of Morgagni-Larrey in adults: analysis of 10 cases].
Gastroenterol Hepatol. 2003 Nov;26(9):535-40. doi: 10.1016/s0210-5705(03)70408-7.
6
A rare cause of intestinal obstruction in the adult: Morgagni's hernia.成人肠梗阻的罕见病因:莫尔加尼疝。
Hernia. 2003 Jun;7(2):97-9. doi: 10.1007/s10029-002-0099-4. Epub 2002 Dec 20.
7
Morgagni hernia: case report.莫尔加尼疝:病例报告
East Afr Med J. 2001 Oct;78(10):559-60. doi: 10.4314/eamj.v78i10.8970.
8
Obstructed Morgagni's hernia (a case report).梗阻性莫尔加尼疝(病例报告)
J Postgrad Med. 1991 Oct;37(4):228B, 229-30.