• 文献检索
  • 文档翻译
  • 深度研究
  • 学术资讯
  • Suppr Zotero 插件Zotero 插件
  • 邀请有礼
  • 套餐&价格
  • 历史记录
应用&插件
Suppr Zotero 插件Zotero 插件浏览器插件Mac 客户端Windows 客户端微信小程序
定价
高级版会员购买积分包购买API积分包
服务
文献检索文档翻译深度研究API 文档MCP 服务
关于我们
关于 Suppr公司介绍联系我们用户协议隐私条款
关注我们

Suppr 超能文献

核心技术专利:CN118964589B侵权必究
粤ICP备2023148730 号-1Suppr @ 2026

文献检索

告别复杂PubMed语法,用中文像聊天一样搜索,搜遍4000万医学文献。AI智能推荐,让科研检索更轻松。

立即免费搜索

文件翻译

保留排版,准确专业,支持PDF/Word/PPT等文件格式,支持 12+语言互译。

免费翻译文档

深度研究

AI帮你快速写综述,25分钟生成高质量综述,智能提取关键信息,辅助科研写作。

立即免费体验

从美洲锥虫向人类宿主转移的 DNA 的遗传。

Inheritance of DNA transferred from American trypanosomes to human hosts.

机构信息

Chagas Disease Multidisciplinary Research Laboratory, Faculty of Medicine, University of Brasilia, Brasília, Federal District, Brazil.

出版信息

PLoS One. 2010 Feb 12;5(2):e9181. doi: 10.1371/journal.pone.0009181.

DOI:10.1371/journal.pone.0009181
PMID:20169193
原文链接:https://pmc.ncbi.nlm.nih.gov/articles/PMC2820539/
Abstract

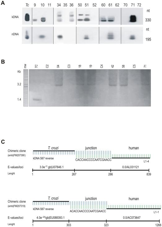
Interspecies DNA transfer is a major biological process leading to the accumulation of mutations inherited by sexual reproduction among eukaryotes. Lateral DNA transfer events and their inheritance has been challenging to document. In this study we modified a thermal asymmetric interlaced PCR by using additional targeted primers, along with Southern blots, fluorescence techniques, and bioinformatics, to identify lateral DNA transfer events from parasite to host. Instances of naturally occurring human infections by Trypanosoma cruzi are documented, where mitochondrial minicircles integrated mainly into retrotransposable LINE-1 of various chromosomes. The founders of five families show minicircle integrations that were transferred vertically to their progeny. Microhomology end-joining of 6 to 22 AC-rich nucleotide repeats in the minicircles and host DNA mediates foreign DNA integration. Heterogeneous minicircle sequences were distributed randomly among families, with diversity increasing due to subsequent rearrangement of inserted fragments. Mosaic recombination and hitchhiking on retrotransposition events to different loci were more prevalent in germ line as compared to somatic cells. Potential new genes, pseudogenes, and knockouts were identified. A pathway of minicircle integration and maintenance in the host genome is suggested. Thus, infection by T. cruzi has the unexpected consequence of increasing human genetic diversity, and Chagas disease may be a fortuitous share of negative selection. This demonstration of contemporary transfer of eukaryotic DNA to the human genome and its subsequent inheritance by descendants introduces a significant change in the scientific concept of evolutionary biology and medicine.

摘要

种间 DNA 转移是一种主要的生物学过程,导致真核生物通过有性繁殖积累突变。侧向 DNA 转移事件及其遗传一直是难以证明的。在这项研究中,我们通过使用额外的靶向引物对热不对称交错 PCR 进行了修改,同时结合 Southern 印迹、荧光技术和生物信息学,来鉴定寄生虫到宿主的侧向 DNA 转移事件。记录了人类感染克氏锥虫的自然实例,其中线粒体微小环主要整合到各种染色体的逆转录转座子 LINE-1 中。五个家族的创始人显示出微小环整合,这些整合垂直传递给他们的后代。微小环和宿主 DNA 中的 6 到 22 个富含 AC 的核苷酸重复的微同源末端连接介导了外源 DNA 的整合。异质微小环序列在家族之间随机分布,由于插入片段的后续重排,多样性增加。与体细胞相比,重组酶和转座事件的搭便车在生殖系中更为普遍。鉴定了新的基因、假基因和敲除。提出了微小环在宿主基因组中整合和维持的途径。因此,克氏锥虫感染意外地增加了人类遗传多样性,而恰加斯病可能是负选择的偶然共享。这一证明表明,真核生物 DNA 向人类基因组的当代转移及其随后被后代遗传,给进化生物学和医学的科学概念带来了重大变化。

https://cdn.ncbi.nlm.nih.gov/pmc/blobs/e13e/2820539/edcaae97ccbd/pone.0009181.g007.jpg
https://cdn.ncbi.nlm.nih.gov/pmc/blobs/e13e/2820539/b1657a4b3bd6/pone.0009181.g001.jpg
https://cdn.ncbi.nlm.nih.gov/pmc/blobs/e13e/2820539/3b157c50826b/pone.0009181.g002.jpg
https://cdn.ncbi.nlm.nih.gov/pmc/blobs/e13e/2820539/8a6e07ed60f3/pone.0009181.g003.jpg
https://cdn.ncbi.nlm.nih.gov/pmc/blobs/e13e/2820539/a6e49ff7968f/pone.0009181.g004.jpg
https://cdn.ncbi.nlm.nih.gov/pmc/blobs/e13e/2820539/98f5b5c12f2d/pone.0009181.g005.jpg
https://cdn.ncbi.nlm.nih.gov/pmc/blobs/e13e/2820539/b926cc58be06/pone.0009181.g006.jpg
https://cdn.ncbi.nlm.nih.gov/pmc/blobs/e13e/2820539/edcaae97ccbd/pone.0009181.g007.jpg
https://cdn.ncbi.nlm.nih.gov/pmc/blobs/e13e/2820539/b1657a4b3bd6/pone.0009181.g001.jpg
https://cdn.ncbi.nlm.nih.gov/pmc/blobs/e13e/2820539/3b157c50826b/pone.0009181.g002.jpg
https://cdn.ncbi.nlm.nih.gov/pmc/blobs/e13e/2820539/8a6e07ed60f3/pone.0009181.g003.jpg
https://cdn.ncbi.nlm.nih.gov/pmc/blobs/e13e/2820539/a6e49ff7968f/pone.0009181.g004.jpg
https://cdn.ncbi.nlm.nih.gov/pmc/blobs/e13e/2820539/98f5b5c12f2d/pone.0009181.g005.jpg
https://cdn.ncbi.nlm.nih.gov/pmc/blobs/e13e/2820539/b926cc58be06/pone.0009181.g006.jpg
https://cdn.ncbi.nlm.nih.gov/pmc/blobs/e13e/2820539/edcaae97ccbd/pone.0009181.g007.jpg

相似文献

1
Inheritance of DNA transferred from American trypanosomes to human hosts.从美洲锥虫向人类宿主转移的 DNA 的遗传。
PLoS One. 2010 Feb 12;5(2):e9181. doi: 10.1371/journal.pone.0009181.
2
Heritable integration of kDNA minicircle sequences from Trypanosoma cruzi into the avian genome: insights into human Chagas disease.克氏锥虫的动质体小环序列可遗传整合到鸟类基因组中:对人类恰加斯病的见解。
Cell. 2004 Jul 23;118(2):175-86. doi: 10.1016/j.cell.2004.07.001.
3
Hitchhiking Trypanosoma cruzi minicircle DNA affects gene expression in human host cells via LINE-1 retrotransposon.搭便车的克氏锥虫微小环DNA通过LINE-1逆转座子影响人类宿主细胞中的基因表达。
Mem Inst Oswaldo Cruz. 2006 Dec;101(8):833-43. doi: 10.1590/s0074-02762006000800003.
4
Interactions Between Trypanosoma cruzi the Chagas Disease Parasite and Naturally Infected Wild Mepraia Vectors of Chile.克氏锥虫(恰加斯病寄生虫)与智利自然感染野生媒介梅普雷亚锥蝽之间的相互作用
Vector Borne Zoonotic Dis. 2016 Mar;16(3):165-71. doi: 10.1089/vbz.2015.1850. Epub 2016 Jan 15.
5
Trypanosoma cruzi in the chicken model: Chagas-like heart disease in the absence of parasitism.鸡模型中的克氏锥虫:无寄生虫时的恰加斯样心脏病。
PLoS Negl Trop Dis. 2011 Mar 29;5(3):e1000. doi: 10.1371/journal.pntd.0001000.
6
[Insertion of Trypanosoma cruzi DNA in the genome of mammal host cell through infection].
Rev Soc Bras Med Trop. 1991 Jan-Mar;24(1):55-8. doi: 10.1590/s0037-86821991000100010.
7
Bats, Trypanosomes, and Triatomines in Ecuador: New Insights into the Diversity, Transmission, and Origins of Trypanosoma cruzi and Chagas Disease.厄瓜多尔的蝙蝠、锥虫和锥蝽:对克氏锥虫及恰加斯病的多样性、传播和起源的新见解
PLoS One. 2015 Oct 14;10(10):e0139999. doi: 10.1371/journal.pone.0139999. eCollection 2015.
8
Lack of evidence for integration of Trypanosoma cruzi minicircle DNA in South American human genomes.缺乏证据表明克氏锥虫微环 DNA 整合到南美洲人类基因组中。
Int J Parasitol. 2012 May 1;42(5):437-41. doi: 10.1016/j.ijpara.2012.04.001. Epub 2012 Apr 24.
9
Possible integration of Trypanosoma cruzi kDNA minicircles into the host cell genome by infection.克氏锥虫动质体小环可能通过感染整合到宿主细胞基因组中。
Mutat Res. 1994 Mar 1;305(2):197-209. doi: 10.1016/0027-5107(94)90240-2.
10
Identification of Novel Interspersed DNA Repetitive Elements in the Genome Associated with the 3'UTRs of Surface Multigenic Families.鉴定与表面多基因家族 3'UTR 相关的基因组中新的分散 DNA 重复元件。
Genes (Basel). 2020 Oct 21;11(10):1235. doi: 10.3390/genes11101235.

引用本文的文献

1
Beyond : LINE-1 Activation as a Driver of Chronic Inflammation in Chagas Disease.超越:LINE-1激活作为恰加斯病慢性炎症的驱动因素
Int J Mol Sci. 2025 May 8;26(10):4466. doi: 10.3390/ijms26104466.
2
The role of tryptophan derivatives as anti-kinetoplastid agents.色氨酸衍生物作为抗动质体剂的作用。
Heliyon. 2023 Dec 15;10(1):e23895. doi: 10.1016/j.heliyon.2023.e23895. eCollection 2024 Jan 15.
3
The BRCT Domain from the Homologue of the Oncogene PES1 in (LmjPES) Promotes Malignancy and Drug Resistance in Mammalian Cells.

本文引用的文献

1
Epidemiology, control and surveillance of Chagas disease: 100 years after its discovery.恰加斯病的流行病学、控制和监测:发现 100 年后。
Mem Inst Oswaldo Cruz. 2009 Jul;104 Suppl 1:31-40. doi: 10.1590/s0074-02762009000900006.
2
The impact of reticulate evolution on genome phylogeny.网状进化对基因组系统发育的影响。
Syst Biol. 2008 Dec;57(6):844-56. doi: 10.1080/10635150802559265.
3
Trypanosome RNA polymerases and transcription factors: sensible trypanocidal drug targets?
(LmjPES)同源物中的 BRCT 结构域促进哺乳动物细胞的恶性转化和耐药性。
Int J Mol Sci. 2022 Oct 30;23(21):13203. doi: 10.3390/ijms232113203.
4
Horizontal gene transfer from genetically modified plants - Regulatory considerations.转基因植物的水平基因转移——监管考量
Front Bioeng Biotechnol. 2022 Aug 31;10:971402. doi: 10.3389/fbioe.2022.971402. eCollection 2022.
5
Insights from the use of erythropoietin in experimental Chagas disease.从促红细胞生成素在实验性恰加斯病中的应用得到的启示。
Int J Parasitol Drugs Drug Resist. 2022 Aug;19:65-80. doi: 10.1016/j.ijpddr.2022.05.005. Epub 2022 Jun 17.
6
Transfer RNA-Derived Small RNAs in the Pathogenesis of Parasitic Protozoa.转移 RNA 衍生的小 RNA 在寄生原生动物发病机制中的作用。
Genes (Basel). 2022 Jan 31;13(2):286. doi: 10.3390/genes13020286.
7
A Southwestern United States Pilot Investigation of Triatomine-Mite Prevalence.美国西南部锥蝽-螨类流行情况的试点调查。
Insects. 2021 Sep 10;12(9):811. doi: 10.3390/insects12090811.
8
The Complete Mitochondrial DNA of : Maxicircles and Minicircles.: 巨环和微环的完整线粒体 DNA。
Front Cell Infect Microbiol. 2021 Jun 29;11:672448. doi: 10.3389/fcimb.2021.672448. eCollection 2021.
9
Correlation of Parasite Burden, kDNA Integration, Autoreactive Antibodies, and Cytokine Pattern in the Pathophysiology of Chagas Disease.恰加斯病病理生理学中寄生虫负荷、线粒体DNA整合、自身反应性抗体与细胞因子模式的相关性
Front Microbiol. 2019 Aug 21;10:1856. doi: 10.3389/fmicb.2019.01856. eCollection 2019.
10
In situ hybridization assay for the diagnosis of chagas myocarditis and orchitis in a rhesus macaque (Macaca mulatta): A case report.恒河猴(猕猴)南美锥虫性心肌炎和睾丸炎诊断的原位杂交检测:病例报告
J Med Primatol. 2019 Jun;48(3):182-185. doi: 10.1111/jmp.12406. Epub 2019 Mar 25.
Curr Drug Targets. 2008 Nov;9(11):979-96. doi: 10.2174/138945008786786064.
4
Numt-mediated double-strand break repair mitigates deletions during primate genome evolution.核线粒体DNA插入片段(Numt)介导的双链断裂修复减轻了灵长类动物基因组进化过程中的缺失。
PLoS Genet. 2008 Oct;4(10):e1000237. doi: 10.1371/journal.pgen.1000237. Epub 2008 Oct 24.
5
MMEJ repair of double-strand breaks (director's cut): deleted sequences and alternative endings.双链断裂的微同源性介导末端连接修复(导演剪辑版):缺失序列与替代结局
Trends Genet. 2008 Nov;24(11):529-38. doi: 10.1016/j.tig.2008.08.007. Epub 2008 Sep 21.
6
Horizontal gene transfer in eukaryotic evolution.真核生物进化中的水平基因转移
Nat Rev Genet. 2008 Aug;9(8):605-18. doi: 10.1038/nrg2386.
7
CLEC5A is critical for dengue-virus-induced lethal disease.CLEC5A对登革病毒诱导的致死性疾病至关重要。
Nature. 2008 May 29;453(7195):672-6. doi: 10.1038/nature07013. Epub 2008 May 21.
8
Accelerated arterial stiffening and gene expression profile of the aorta in patients with coronary artery disease.冠状动脉疾病患者主动脉的加速动脉僵硬和基因表达谱
J Hypertens. 2008 Apr;26(4):747-57. doi: 10.1097/HJH.0b013e3282f4b3d0.
9
Transposable elements as drivers of genomic and biological diversity in vertebrates.转座元件作为脊椎动物基因组和生物多样性的驱动因素
Chromosome Res. 2008;16(1):203-15. doi: 10.1007/s10577-007-1202-6.
10
MHC, TSP, and the origin of species: from immunogenetics to evolutionary genetics.主要组织相容性复合体、转甲状腺素蛋白与物种起源:从免疫遗传学到进化遗传学
Annu Rev Genet. 2007;41:281-304. doi: 10.1146/annurev.genet.41.110306.130137.