• 文献检索
  • 文档翻译
  • 深度研究
  • 学术资讯
  • Suppr Zotero 插件Zotero 插件
  • 邀请有礼
  • 套餐&价格
  • 历史记录
应用&插件
Suppr Zotero 插件Zotero 插件浏览器插件Mac 客户端Windows 客户端微信小程序
定价
高级版会员购买积分包购买API积分包
服务
文献检索文档翻译深度研究API 文档MCP 服务
关于我们
关于 Suppr公司介绍联系我们用户协议隐私条款
关注我们

Suppr 超能文献

核心技术专利:CN118964589B侵权必究
粤ICP备2023148730 号-1Suppr @ 2026

文献检索

告别复杂PubMed语法,用中文像聊天一样搜索,搜遍4000万医学文献。AI智能推荐,让科研检索更轻松。

立即免费搜索

文件翻译

保留排版,准确专业,支持PDF/Word/PPT等文件格式,支持 12+语言互译。

免费翻译文档

深度研究

AI帮你快速写综述,25分钟生成高质量综述,智能提取关键信息,辅助科研写作。

立即免费体验

寄生曲霉菌单宁酸诱导型漆酶 3 的异源表达在酿酒酵母中。

Heterologous expression of a tannic acid-inducible laccase3 of Cryphonectria parasitica in Saccharomyces cerevisiae.

机构信息

Institute for Molecular Biology and Genetics, Center for Fungal Pathogenesis, Chonbuk National University, Jeonju, Chonbuk 561-756, Korea.

出版信息

BMC Biotechnol. 2010 Feb 24;10:18. doi: 10.1186/1472-6750-10-18.

DOI:10.1186/1472-6750-10-18
PMID:20178646
原文链接:https://pmc.ncbi.nlm.nih.gov/articles/PMC2839966/
Abstract

BACKGROUND

A tannic acid-inducible and mycoviral-regulated laccase3 (lac3) from the chestnut blight fungus Cryphonectria parasitica has recently been identified, but further characterization was hampered because of the precipitation of protein products by tannic acid supplementation. The present study investigated the heterologous expression of the functional laccase3 using a yeast Saccharomyces cerevisiae.

RESULTS

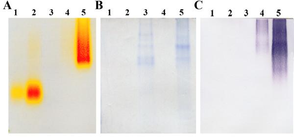
Laccase activity in the culture broth of transformants measured using a laccase-specific substrate suggested that the lac3 gene was successfully expressed and the corresponding protein product secreted into the culture media. In addition, activity staining and Western blot analysis of a native gel revealed that the enzyme activity co-existed with the protein product specific to anti-laccase3 antibody, confirming that the cloned lac3 gene is responsible for the laccase activity. When transformants were grown on plates containing tannic acid-supplemented media, brown coloration was observed around transformed cells, indicating the oxidation of tannic acid. However, the enzymatic activity was measurable only in the selective ura- media and was negligible in nonselective nutrient-rich culture conditions. This was in part because of the increased plasmid instability in the nonselective media. Moreover, the protein product of lac3 appears to be sensitive to the cultured nonselective nutrient-rich broth, because a rapid decline in enzymatic activity was observed when the cultured broth of ura- media was mixed with that of nonselective nutrient-rich broth. In addition, constitutive expression of the lac3 gene resulted in a reduced cell number of the lac3 transformants compared to that of vector-only transformed control. However, the presence of recombinant vector without lac3 induction did not affect the growth of transformants.

CONCLUSIONS

The results suggest that expression of the lac3 gene has an inhibitory effect on the growth of transformed S. cerevisiae and that the controlled expression of lac3 is appropriate for the possible application of recombinant yeast to the treatment of phenolic compounds.

摘要

背景

栗疫病菌中的单宁酸诱导和真菌病毒调节漆酶 3(lac3)最近被鉴定出来,但由于单宁酸补充剂会导致蛋白质产物沉淀,进一步的表征受到了阻碍。本研究利用酵母酿酒酵母对功能性 lac3 进行了异源表达。

结果

用漆酶特异性底物测量转化体培养物中的漆酶活性表明,lac3 基因已成功表达,相应的蛋白质产物分泌到培养基中。此外,天然凝胶的活性染色和 Western blot 分析显示,酶活性与抗 lac3 抗体的特异性蛋白产物共存,证实克隆的 lac3 基因负责漆酶活性。当转化体在含有单宁酸补充培养基的平板上生长时,观察到转化细胞周围出现棕色着色,表明单宁酸被氧化。然而,只有在选择性 ura-培养基中才能测量到酶活性,在非选择性营养丰富的培养条件下则微不足道。这部分是由于非选择性培养基中质粒的不稳定性增加所致。此外,lac3 的蛋白质产物似乎对培养的非选择性营养丰富的肉汤敏感,因为当将 ura-培养基的培养肉汤与非选择性营养丰富的肉汤混合时,观察到酶活性迅速下降。此外,lac3 基因的组成型表达导致 lac3 转化体的细胞数量比仅转化载体的对照减少。然而,没有 lac3 诱导的重组载体的存在并不影响转化体的生长。

结论

结果表明,lac3 基因的表达对转化酿酒酵母的生长有抑制作用,并且 lac3 的受控表达适合将重组酵母应用于酚类化合物的处理。

https://cdn.ncbi.nlm.nih.gov/pmc/blobs/d575/2839966/f0320eb3b87b/1472-6750-10-18-5.jpg
https://cdn.ncbi.nlm.nih.gov/pmc/blobs/d575/2839966/d7b6387bdc63/1472-6750-10-18-1.jpg
https://cdn.ncbi.nlm.nih.gov/pmc/blobs/d575/2839966/2052e6fd570d/1472-6750-10-18-2.jpg
https://cdn.ncbi.nlm.nih.gov/pmc/blobs/d575/2839966/5d45b936194c/1472-6750-10-18-3.jpg
https://cdn.ncbi.nlm.nih.gov/pmc/blobs/d575/2839966/d16a6e80c0ab/1472-6750-10-18-4.jpg
https://cdn.ncbi.nlm.nih.gov/pmc/blobs/d575/2839966/f0320eb3b87b/1472-6750-10-18-5.jpg
https://cdn.ncbi.nlm.nih.gov/pmc/blobs/d575/2839966/d7b6387bdc63/1472-6750-10-18-1.jpg
https://cdn.ncbi.nlm.nih.gov/pmc/blobs/d575/2839966/2052e6fd570d/1472-6750-10-18-2.jpg
https://cdn.ncbi.nlm.nih.gov/pmc/blobs/d575/2839966/5d45b936194c/1472-6750-10-18-3.jpg
https://cdn.ncbi.nlm.nih.gov/pmc/blobs/d575/2839966/d16a6e80c0ab/1472-6750-10-18-4.jpg
https://cdn.ncbi.nlm.nih.gov/pmc/blobs/d575/2839966/f0320eb3b87b/1472-6750-10-18-5.jpg

相似文献

1
Heterologous expression of a tannic acid-inducible laccase3 of Cryphonectria parasitica in Saccharomyces cerevisiae.寄生曲霉菌单宁酸诱导型漆酶 3 的异源表达在酿酒酵母中。
BMC Biotechnol. 2010 Feb 24;10:18. doi: 10.1186/1472-6750-10-18.
2
A tannic acid-inducible and hypoviral-regulated Laccase3 contributes to the virulence of the chestnut blight fungus Cryphonectria parasitica.一种单宁酸诱导且受低病毒调节的漆酶3有助于栗疫病菌寄生隐孢丛赤壳菌的毒力。
Mol Plant Microbe Interact. 2008 Dec;21(12):1582-90. doi: 10.1094/MPMI-21-12-1582.
3
Interaction between hypoviral-regulated fungal virulence factor laccase3 and small heat shock protein Hsp24 from the chestnut blight fungus Cryphonectria parasitica.栗疫病菌低毒力相关真菌毒力因子漆酶 3 与小热休克蛋白 Hsp24 之间的相互作用。
J Microbiol. 2022 Jan;60(1):57-62. doi: 10.1007/s12275-022-1498-0. Epub 2021 Nov 26.
4
Functional analysis of a tannic-acid-inducible and hypoviral-regulated small heat-shock protein Hsp24 from the chestnut blight fungus Cryphonectria parasitica.栗疫病菌中一个单宁酸诱导和低毒力病毒调控的小热休克蛋白 Hsp24 的功能分析。
Mol Plant Microbe Interact. 2014 Jan;27(1):56-65. doi: 10.1094/MPMI-08-13-0225-R.
5
Characterization of the ERK homologue CpMK2 from the chestnut blight fungus Cryphonectria parasitica.来自栗疫病菌(Cryphonectria parasitica)的ERK同源物CpMK2的特性分析。
Microbiology (Reading). 2005 May;151(Pt 5):1349-1358. doi: 10.1099/mic.0.27796-0.
6
Optimization of Growth Medium and Fermentation Conditions for the Production of Laccase3 from Using Recombinant .利用重组体优化用于生产漆酶3的生长培养基和发酵条件。
Mycobiology. 2019 Sep 18;47(4):512-520. doi: 10.1080/12298093.2019.1661566. eCollection 2019.
7
A gene encoding phosphatidyl inositol-specific phospholipase C from Cryphonectria parasitica modulates the lac1 expression.来自栗疫病菌的一个编码磷脂酰肌醇特异性磷脂酶C的基因调控漆酶1(lac1)的表达。
Fungal Genet Biol. 2006 May;43(5):326-36. doi: 10.1016/j.fgb.2005.12.009. Epub 2006 Mar 15.
8
Cloning and characterization of a general amino acid control transcriptional activator from the chestnut blight fungus Cryphonectria parasitica.来自栗疫病菌寄生隐孢壳菌的一种通用氨基酸控制转录激活因子的克隆与特性分析
Fungal Genet Biol. 1998 Feb;23(1):81-94. doi: 10.1006/fgbi.1997.1023.
9
Regulation of laccase biosynthesis in the plant-pathogenic fungus Cryphonectria parasitica by double-stranded RNA.双链RNA对植物病原真菌寄生隐孢壳菌漆酶生物合成的调控
J Bacteriol. 1991 Dec;173(24):8000-3. doi: 10.1128/jb.173.24.8000-8003.1991.
10
Copper-dependent production of a Pycnoporus coccineus extracellular laccase in Aspergillus oryzae and Saccharomyces cerevisiae.米曲霉和酿酒酵母中依赖铜产生的朱红密孔菌胞外漆酶
Biosci Biotechnol Biochem. 2005 Jun;69(6):1090-7. doi: 10.1271/bbb.69.1090.

引用本文的文献

1
Heterologous Expression of Laccase1 from in .来自……的漆酶1在……中的异源表达 。 (你提供的原文内容不完整,“from”和“in”后面缺少具体信息)
Mycobiology. 2025 Jan 11;53(1):36-46. doi: 10.1080/12298093.2024.2439646. eCollection 2025.
2
Identification and Characterization of a New Strain That Naturally Produces Significant Amount of Extracellular Laccase.一种天然产生大量胞外漆酶的新菌株的鉴定与表征
Front Microbiol. 2022 Jul 18;13:878360. doi: 10.3389/fmicb.2022.878360. eCollection 2022.
3
Thermostable bacterial laccase for sustainable dyeing using plant phenols.

本文引用的文献

1
Expression of functional pentameric heat-labile enterotoxin B subunit of Escherichia coli in Saccharomyces cerevisiae.大肠杆菌功能性五聚体热不稳定肠毒素B亚基在酿酒酵母中的表达。
J Microbiol Biotechnol. 2009 May;19(5):502-10. doi: 10.4014/jmb.0803.207.
2
Fungal laccases as tools for the synthesis of new hybrid molecules and biomaterials.真菌漆酶作为合成新型杂化分子和生物材料的工具。
Appl Microbiol Biotechnol. 2009 Mar;82(4):605-24. doi: 10.1007/s00253-009-1869-z. Epub 2009 Jan 30.
3
The Pleurotus ostreatus laccase multi-gene family: isolation and heterologous expression of new family members.
用于使用植物酚类进行可持续染色的耐热细菌漆酶。
RSC Adv. 2022 Jun 21;12(28):18168-18180. doi: 10.1039/d2ra02137d. eCollection 2022 Jun 14.
4
Interaction between hypoviral-regulated fungal virulence factor laccase3 and small heat shock protein Hsp24 from the chestnut blight fungus Cryphonectria parasitica.栗疫病菌低毒力相关真菌毒力因子漆酶 3 与小热休克蛋白 Hsp24 之间的相互作用。
J Microbiol. 2022 Jan;60(1):57-62. doi: 10.1007/s12275-022-1498-0. Epub 2021 Nov 26.
5
Transcriptome Analysis of Infected With Cryphonectria hypovirus 1 (CHV1) Reveals Distinct Genes Related to Fungal Metabolites, Virulence, Antiviral RNA-Silencing, and Their Regulation.感染苹果腐烂病菌1号低毒病毒(CHV1)的转录组分析揭示了与真菌代谢产物、毒力、抗病毒RNA沉默及其调控相关的不同基因。
Front Microbiol. 2020 Jul 17;11:1711. doi: 10.3389/fmicb.2020.01711. eCollection 2020.
6
Optimization of Growth Medium and Fermentation Conditions for the Production of Laccase3 from Using Recombinant .利用重组体优化用于生产漆酶3的生长培养基和发酵条件。
Mycobiology. 2019 Sep 18;47(4):512-520. doi: 10.1080/12298093.2019.1661566. eCollection 2019.
7
Expression of a new laccase from Moniliophthora roreri at high levels in Pichia pastoris and its potential application in micropollutant degradation.来自可可球二孢菌的一种新型漆酶在毕赤酵母中的高水平表达及其在微污染物降解中的潜在应用。
AMB Express. 2017 Dec;7(1):73. doi: 10.1186/s13568-017-0368-3. Epub 2017 Mar 29.
8
Yeast Hosts for the Production of Recombinant Laccases: A Review.用于生产重组漆酶的酵母宿主:综述
Mol Biotechnol. 2016 Feb;58(2):93-116. doi: 10.1007/s12033-015-9910-1.
9
Laccase versus laccase-like multi-copper oxidase: a comparative study of similar enzymes with diverse substrate spectra.漆酶与类漆酶多铜氧化酶:具有不同底物谱的相似酶的比较研究
PLoS One. 2013 Jun 3;8(6):e65633. doi: 10.1371/journal.pone.0065633. Print 2013.
10
Improvement of Catalytic Efficiency, Thermo-stability and Dye Decolorization Capability of Pleurotus ostreatus IBL-02 laccase by Hydrophobic Sol Gel Entrapment.通过疏水溶胶-凝胶包埋提高糙皮侧耳IBL-02漆酶的催化效率、热稳定性和染料脱色能力
Chem Cent J. 2012 Sep 29;6(1):110. doi: 10.1186/1752-153X-6-110.
糙皮侧耳漆酶多基因家族:新家族成员的分离与异源表达
Curr Genet. 2009 Feb;55(1):45-57. doi: 10.1007/s00294-008-0221-y. Epub 2008 Nov 26.
4
A tannic acid-inducible and hypoviral-regulated Laccase3 contributes to the virulence of the chestnut blight fungus Cryphonectria parasitica.一种单宁酸诱导且受低病毒调节的漆酶3有助于栗疫病菌寄生隐孢丛赤壳菌的毒力。
Mol Plant Microbe Interact. 2008 Dec;21(12):1582-90. doi: 10.1094/MPMI-21-12-1582.
5
Purification of recombinant laccase from Trametes versicolor in Pichia methanolica and its use for the decolorization of anthraquinone dye.从甲醇毕赤酵母中纯化云芝重组漆酶及其在蒽醌染料脱色中的应用。
Biotechnol Lett. 2008 Dec;30(12):2091-6. doi: 10.1007/s10529-008-9817-z. Epub 2008 Aug 8.
6
Adhesion improvement of lignocellulosic products by enzymatic pre-treatment.通过酶预处理提高木质纤维素产品的黏附性
Biotechnol Adv. 2008 Jul-Aug;26(4):379-86. doi: 10.1016/j.biotechadv.2008.04.003. Epub 2008 Apr 20.
7
Comparative analysis of gene sequences of three high-redox-potential laccases from basidiomycetes.担子菌纲三种高氧化还原电位漆酶基因序列的比较分析
Dokl Biochem Biophys. 2007 Nov-Dec;417:348-51. doi: 10.1134/s1607672907060178.
8
Enhanced bioremediation of polycyclic aromatic hydrocarbons by environmentally friendly techniques.通过环境友好型技术强化多环芳烃的生物修复
J Environ Sci Health C Environ Carcinog Ecotoxicol Rev. 2007 Oct-Dec;25(4):313-52. doi: 10.1080/10590500701704011.
9
Potential applications of the oxidoreductive enzymes in the decolorization and detoxification of textile and other synthetic dyes from polluted water: a review.氧化还原酶在印染废水及其他污染水中合成染料的脱色与解毒方面的潜在应用:综述
Crit Rev Biotechnol. 2006 Oct-Dec;26(4):201-21. doi: 10.1080/07388550600969936.
10
Heterologous expression of lcc1 gene from Trametes trogii in Pichia pastoris and characterization of the recombinant enzyme.嗜热侧耳lcc1基因在毕赤酵母中的异源表达及重组酶特性研究
Microb Cell Fact. 2006 Oct 12;5:31. doi: 10.1186/1475-2859-5-31.