Suppr超能文献

一名无马凡氏原纤维蛋白病的年轻患者的急性主动脉夹层:病例报告。

Acute aortic dissection in a young patient without Marfan fibrillinopathy: a case report.

作者信息

Hountis Panagiotis, Dedeilias Panagiotis, Bolos Konstadinos

机构信息

Department of Cardiac Surgery, Evaggelismos Hospital, Ipsilantou 45-47, Athens, Greece.

出版信息

Cases J. 2009 Apr 28;2:7076. doi: 10.1186/1757-1626-0002-0000007076.

Abstract

INTRODUCTION

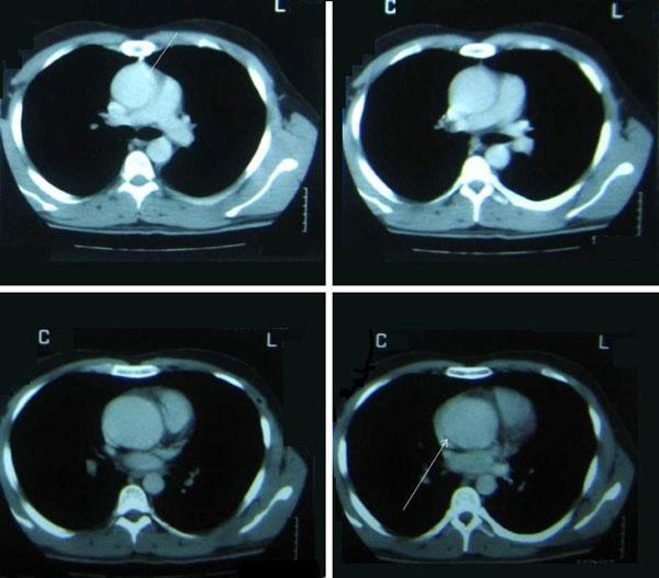
Acute aortic dissection is a rare clinical entity that mainly affects patients older than 50 years. It is unusual in younger patients and its presence has been traditionally associated with trauma, Marfan syndrome, bicuspid aortic valve and pregnancy. Heavy weightlifting and other fibrillinopathies have been also implicated in the literature. We present here the case of a 26-year-old male with acute aortic dissection type A (De Bakey II), without family history of connective tissue diseases and signs of Marfan syndrome.

CASE PRESENTATION

The patient is a 26-year-old Caucasian Greek male who was presented in the emergency department with acute chest pain. Computerized tomography with contrast material showed the presence of an ascending aortic aneurysm with the question of an acute dissection type A (De Bakey II). The patient was emergently operated with replacement of the affected aortic segment and he had an uneventful clinical course. Three years follow up is essentially normal.

CONCLUSION

Although extremely rare, aortic dissection is always a possibility in the differential diagnosis of chest and/or back pain in young patients and should be thoroughly investigated. The presence of an associated aneurysm makes the possibility even higher. The disease, if undiagnosed, carries the same mortality rates as in the older population. Prompt surgical intervention offers a possible cure and long term survival benefit for the patients.

摘要

引言

急性主动脉夹层是一种罕见的临床病症,主要影响50岁以上的患者。在年轻患者中并不常见,其出现传统上与创伤、马凡综合征、二叶式主动脉瓣和妊娠有关。文献中也提到举重及其他原纤维蛋白病与之有关。我们在此介绍一名26岁男性,患有A型急性主动脉夹层(De Bakey II型),无结缔组织病家族史及马凡综合征体征。

病例介绍

该患者是一名26岁的白种希腊男性,因急性胸痛被送至急诊科。增强计算机断层扫描显示升主动脉瘤,怀疑为A型急性夹层(De Bakey II型)。患者紧急接受手术,置换了受影响的主动脉段,临床过程顺利。三年随访基本正常。

结论

尽管极为罕见,但主动脉夹层始终是年轻患者胸痛和/或背痛鉴别诊断中的一种可能情况,应进行全面检查。伴有动脉瘤会使这种可能性更高。该疾病若未被诊断,死亡率与老年人群相同。及时的手术干预可为患者提供治愈的可能及长期生存益处。

https://cdn.ncbi.nlm.nih.gov/pmc/blobs/c181/2827126/5a193a2c64a6/1757-1626-0002-0000007076-1.jpg

文献AI研究员

20分钟写一篇综述,助力文献阅读效率提升50倍。

立即体验

用中文搜PubMed

大模型驱动的PubMed中文搜索引擎

马上搜索

文档翻译

学术文献翻译模型,支持多种主流文档格式。

立即体验