• 文献检索
  • 文档翻译
  • 深度研究
  • 学术资讯
  • Suppr Zotero 插件Zotero 插件
  • 邀请有礼
  • 套餐&价格
  • 历史记录
应用&插件
Suppr Zotero 插件Zotero 插件浏览器插件Mac 客户端Windows 客户端微信小程序
定价
高级版会员购买积分包购买API积分包
服务
文献检索文档翻译深度研究API 文档MCP 服务
关于我们
关于 Suppr公司介绍联系我们用户协议隐私条款
关注我们

Suppr 超能文献

核心技术专利:CN118964589B侵权必究
粤ICP备2023148730 号-1Suppr @ 2026

文献检索

告别复杂PubMed语法,用中文像聊天一样搜索,搜遍4000万医学文献。AI智能推荐,让科研检索更轻松。

立即免费搜索

文件翻译

保留排版,准确专业,支持PDF/Word/PPT等文件格式,支持 12+语言互译。

免费翻译文档

深度研究

AI帮你快速写综述,25分钟生成高质量综述,智能提取关键信息,辅助科研写作。

立即免费体验

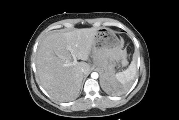
自发性脾动脉动脉瘤破裂:一例报告

Spontaneous ruptured splenic artery aneurysm: a case report.

作者信息

Betal Dibendu, Khangura Jasdeep S, Swan Peter J, Mehmet Veysi

机构信息

Department of Surgery, St. Mary's Hospital, Isle of Wight NHS Trust, Parkhurst Road, Newport, Isle of Wight, PO30 5TG, UK.

出版信息

Cases J. 2009 Sep 11;2:7150. doi: 10.4076/1757-1626-2-7150.

DOI:10.4076/1757-1626-2-7150
PMID:20181191
原文链接:https://pmc.ncbi.nlm.nih.gov/articles/PMC2827072/
Abstract

Splenic artery aneurysms are rare. We discuss a case of a 58-year-old gentleman presenting with collapse and shock secondary to spontaneous splenic artery aneurysm rupture. Patient underwent laparotomy and splenectomy then discharged home within a week of presentation.

摘要

脾动脉瘤很少见。我们讨论一例58岁男性患者,因自发性脾动脉瘤破裂出现虚脱和休克。患者接受了剖腹手术和脾切除术,在就诊后一周内出院回家。

https://cdn.ncbi.nlm.nih.gov/pmc/blobs/03df/2827072/c4d520f78802/1757-1626-0002-0000007150-1.jpg
https://cdn.ncbi.nlm.nih.gov/pmc/blobs/03df/2827072/c4d520f78802/1757-1626-0002-0000007150-1.jpg
https://cdn.ncbi.nlm.nih.gov/pmc/blobs/03df/2827072/c4d520f78802/1757-1626-0002-0000007150-1.jpg

相似文献

1
Spontaneous ruptured splenic artery aneurysm: a case report.自发性脾动脉动脉瘤破裂:一例报告
Cases J. 2009 Sep 11;2:7150. doi: 10.4076/1757-1626-2-7150.
2
Spontaneous Rupture of Splenic Artery Aneurysm.脾动脉瘤自发性破裂
Cureus. 2023 Dec 22;15(12):e50937. doi: 10.7759/cureus.50937. eCollection 2023 Dec.
3
Ruptured spontaneous splenic artery aneurysm: A case report and review of the literature.自发性脾动脉动脉瘤破裂:一例病例报告及文献综述
Int J Surg Case Rep. 2014;5(10):754-7. doi: 10.1016/j.ijscr.2014.08.021. Epub 2014 Sep 2.
4
Spontaneous rupture of a splenic artery aneurysm with splenic epithelioid hemangioendothelioma: a case report.脾动脉动脉瘤伴脾上皮样血管内皮瘤自发性破裂:一例报告
J Int Med Res. 2019 Feb;47(2):1059-1063. doi: 10.1177/0300060518819372. Epub 2019 Jan 7.
5
Spontaneous rupture of the splenic artery aneurysm: a rare clinical presentation of acute abdomen.脾动脉动脉瘤自发破裂:一种罕见的急腹症临床表现。
Ulus Travma Acil Cerrahi Derg. 2016 Jan;22(1):106-8. doi: 10.5505/tjtes.2015.32654.
6
Spontaneous Rupture of a Huge Splenic Artery Aneurysm: A Case Report.巨大脾动脉瘤自发性破裂:一例报告
Am J Case Rep. 2020 Jan 25;21:e919956. doi: 10.12659/AJCR.919956.
7
A rare clinic presentation of abdominal pain: rupture of splenic artery aneurysm: a case report.腹痛的一种罕见临床症状:脾动脉瘤破裂:一例报告
Cases J. 2009 Oct 5;2:148. doi: 10.1186/1757-1626-2-148.
8
A splenic artery aneurysm presenting with multiple episodes of upper gastrointestinal bleeding: a case report.一例表现为多次上消化道出血的脾动脉瘤:病例报告
J Med Case Rep. 2017 May 3;11(1):123. doi: 10.1186/s13256-017-1282-7.
9
Splenic artery aneurysm rupture: a rare but fatal cause for peripartum collapse.脾动脉瘤破裂:围产期崩溃的罕见但致命原因。
J Intensive Care Med. 2013 Mar-Apr;28(2):131-3. doi: 10.1177/0885066612444257. Epub 2012 May 6.
10
Spontaneous non-traumatic splenic artery aneurysm rupture: a case report and review of the literature.自发性非创伤性脾动脉动脉瘤破裂:病例报告及文献复习。
Eur Rev Med Pharmacol Sci. 2018 May;22(10):3147-3150. doi: 10.26355/eurrev_201805_15074.

引用本文的文献

1
Endovascular and Open Surgical Treatment of Ruptured Splenic Artery Aneurysms: A Case Report and a Systematic Literature Review.破裂性脾动脉瘤的血管内治疗与开放手术治疗:一例报告及系统文献综述
J Clin Med. 2023 Sep 20;12(18):6085. doi: 10.3390/jcm12186085.
2
Splenic artery aneurysm with the double-rupture phenomenon.脾动脉瘤伴双重破裂现象。
Clin Exp Emerg Med. 2017 Jun 30;4(2):113-116. doi: 10.15441/ceem.16.193. eCollection 2017 Jun.
3
Uncommon cause of life-threatening retroperitoneal hemorrhage in a healthy young Hispanic patient: splenic artery aneurysm rupture.

本文引用的文献

1
Laparoscopic splenic artery aneurysm resection: review of current trends in management.
Surg Laparosc Endosc Percutan Tech. 2009 Apr;19(2):e67-70. doi: 10.1097/SLE.0b013e31819bd4e7.
2
Endovascular management of a splenic artery aneurysm.脾动脉瘤的血管内治疗
Surg Laparosc Endosc Percutan Tech. 2007 Oct;17(5):459-61. doi: 10.1097/SLE.0b013e31814a5772.
3
Giant splenic artery aneurysm associated with arteriovenous malformation.与动静脉畸形相关的巨大脾动脉瘤。
一名健康年轻西班牙裔患者发生危及生命的腹膜后出血的罕见原因:脾动脉瘤破裂。
Bol Asoc Med P R. 2015 Jan-Mar;107(1):45-8.
4
Rupture of a splenic artery aneurysm in a previously healthy 53-year-old male.一名既往健康的53岁男性脾动脉瘤破裂。
J Med Life. 2014;7 Spec No. 2(Spec Iss 2):69-70.
5
Ruptured spontaneous splenic artery aneurysm: A case report and review of the literature.自发性脾动脉动脉瘤破裂:一例病例报告及文献综述
Int J Surg Case Rep. 2014;5(10):754-7. doi: 10.1016/j.ijscr.2014.08.021. Epub 2014 Sep 2.
6
Splenic artery pseudoaneurysm: learning from errors.脾动脉假性动脉瘤:从失误中学习
BMJ Case Rep. 2012 Jun 28;2012:bcr1020114903. doi: 10.1136/bcr.10.2011.4903.
J Vasc Surg. 2006 Dec;44(6):1345-9. doi: 10.1016/j.jvs.2006.06.049.
4
[Splenic artery aneurysm. Review of two surgically operated cases].[脾动脉瘤。两例手术治疗病例回顾]
An Med Interna. 2006 Mar;23(3):130-2. doi: 10.4321/s0212-71992006000300008.
5
The development and clinical features of splenic aneurysm associated with liver cirrhosis.肝硬化相关性脾动脉瘤的发展及临床特征
Liver Int. 2006 Apr;26(3):291-7. doi: 10.1111/j.1478-3231.2005.01231.x.
6
Managing anomalous splenic artery aneurysm: a review of the literature and report of two cases.异常脾动脉瘤的处理:文献综述及两例报告
Ann Vasc Surg. 2005 Jul;19(4):546-52. doi: 10.1007/s10016-005-5048-0.
7
Berry splenic artery aneurysm rupture in association with segmental arterial mediolysis and portal hypertension.脾动脉浆果样动脉瘤破裂伴节段性动脉中层溶解和门静脉高压。
Pathol Int. 2005 May;55(5):290-5. doi: 10.1111/j.1440-1827.2005.01827.x.
8
Rupture of splenic artery aneurysm during pregnancy; a case report.妊娠期脾动脉瘤破裂;一例报告。
Nebr State Med J. 1955 Jan;40(1):9-11.
9
Review: spontaneous rupture of splenic artery aneurysm in pregnancy.综述:妊娠期脾动脉瘤自发性破裂
Eur J Obstet Gynecol Reprod Biol. 2003 Aug 15;109(2):124-7. doi: 10.1016/s0301-2115(03)00094-0.
10
Giant splenic artery aneurysm associated with chronic pancreatitis.与慢性胰腺炎相关的巨大脾动脉瘤。
Dig Surg. 2003;20(1):10-1. doi: 10.1159/000068853.