• 文献检索
  • 文档翻译
  • 深度研究
  • 学术资讯
  • Suppr Zotero 插件Zotero 插件
  • 邀请有礼
  • 套餐&价格
  • 历史记录
应用&插件
Suppr Zotero 插件Zotero 插件浏览器插件Mac 客户端Windows 客户端微信小程序
定价
高级版会员购买积分包购买API积分包
服务
文献检索文档翻译深度研究API 文档MCP 服务
关于我们
关于 Suppr公司介绍联系我们用户协议隐私条款
关注我们

Suppr 超能文献

核心技术专利:CN118964589B侵权必究
粤ICP备2023148730 号-1Suppr @ 2026

文献检索

告别复杂PubMed语法,用中文像聊天一样搜索,搜遍4000万医学文献。AI智能推荐,让科研检索更轻松。

立即免费搜索

文件翻译

保留排版,准确专业,支持PDF/Word/PPT等文件格式,支持 12+语言互译。

免费翻译文档

深度研究

AI帮你快速写综述,25分钟生成高质量综述,智能提取关键信息,辅助科研写作。

立即免费体验

肋骨包虫囊肿:1例新病例及文献复习

Hydatid cyst of the rib: a new case and review of the literature.

作者信息

Chafik A, Benjelloun A, El Khadir A, El Barni R, Achour A, Ait Benasser M A

机构信息

General Surgery Unit, Hôpital Militaire Avicenne, Marrakech, Morocco.

出版信息

Case Rep Med. 2009;2009:817205. doi: 10.1155/2009/817205. Epub 2010 Feb 21.

DOI:10.1155/2009/817205
PMID:20182633
原文链接:https://pmc.ncbi.nlm.nih.gov/articles/PMC2825664/
Abstract

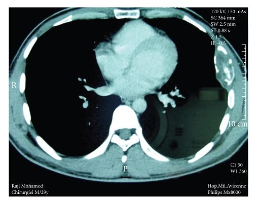
The hydatid cyst is not rare in our country, but bone lesions are less common. The disease often takes the appearance of abscess or malignant lesion. We report a case of a 35-year-old man with a hydatid cyst of the rib complicated with cutaneous fistula. The surgery allowed both diagnosis and treatment. Albendazole was then administered to prevent relapse.

摘要

包虫囊肿在我国并不罕见,但骨病变较少见。该病常表现为脓肿或恶性病变。我们报告一例35岁男性,患有肋骨包虫囊肿并伴有皮肤瘘管。手术实现了诊断和治疗。随后给予阿苯达唑以预防复发。

https://cdn.ncbi.nlm.nih.gov/pmc/blobs/1262/2825664/7691bf8eec7e/CRM2009-817205.002.jpg
https://cdn.ncbi.nlm.nih.gov/pmc/blobs/1262/2825664/5b6cd2c3a451/CRM2009-817205.001.jpg
https://cdn.ncbi.nlm.nih.gov/pmc/blobs/1262/2825664/7691bf8eec7e/CRM2009-817205.002.jpg
https://cdn.ncbi.nlm.nih.gov/pmc/blobs/1262/2825664/5b6cd2c3a451/CRM2009-817205.001.jpg
https://cdn.ncbi.nlm.nih.gov/pmc/blobs/1262/2825664/7691bf8eec7e/CRM2009-817205.002.jpg

相似文献

1
Hydatid cyst of the rib: a new case and review of the literature.肋骨包虫囊肿:1例新病例及文献复习
Case Rep Med. 2009;2009:817205. doi: 10.1155/2009/817205. Epub 2010 Feb 21.
2
Hydatid cyst of the thyroid gland with tracheal fistula: A case report and review of the literature.甲状腺包虫囊肿合并气管瘘:一例病例报告及文献复习
Exp Ther Med. 2019 Jul;18(1):573-579. doi: 10.3892/etm.2019.7620. Epub 2019 May 28.
3
Hepatic hydatid cyst presenting as a cutaneous fistula.表现为皮肤瘘管的肝包虫囊肿
Turk J Emerg Med. 2020 Feb 26;20(3):146-148. doi: 10.4103/2452-2473.290071. eCollection 2020 Jul-Sep.
4
[Parietal complications of hydatid cyst of the liver. Report of two cases in Tunisia].[肝包虫囊肿的壁层并发症。突尼斯两例报告]
Bull Soc Pathol Exot. 2012 Oct;105(4):259-61. doi: 10.1007/s13149-012-0224-2. Epub 2012 Oct 20.
5
[Isolated hydatid cyst of the kidney].[孤立性肾包虫囊肿]
Urologia. 2012 Dec 30;79 Suppl 19:67-71. doi: 10.5301/RU.2012.9723.
6
Fistulization between liver hydatid cyst and gallbladder. A case report and review of the literature.肝包虫囊肿与胆囊之间的瘘管形成。病例报告及文献复习。
Ann Ital Chir. 2020 May 25;9:S2239253X20029503.
7
Primary Orbital Hydatid Cyst: A Case Report.原发性眼眶包虫囊肿:一例报告
Acta Med Iran. 2017 Aug;55(8):530-532.
8
A rare case: spontaneous cutaneous fistula of infected splenic hydatid cyst.罕见病例:感染性脾包虫囊肿自发性皮肤瘘管
World J Gastroenterol. 2006 Apr 28;12(16):2633-5. doi: 10.3748/wjg.v12.i16.2633.
9
[Hydatid disease of the first rib treated surgically by the Roos approach].[采用鲁斯手术入路手术治疗第一肋骨包虫病]
Med Trop (Mars). 2008 Dec;68(6):649-50.
10
Unusual intramuscular locations as a first presentation of hydatid cyst disease in children: a report of two cases.儿童包虫病的首例表现为肌内异常部位:两例报告。
BMC Pediatr. 2021 Aug 31;21(1):371. doi: 10.1186/s12887-021-02843-5.

引用本文的文献

1
Parietal complication of the hydatid disease: Comprehensive literature review.包虫病的壁层并发症:综合文献综述
Medicine (Baltimore). 2018 May;97(21):e10671. doi: 10.1097/MD.0000000000010671.
2
Cutaneous fistulization of the hydatid disease: A PRISMA-compliant systematic review.包虫病的皮肤瘘管形成:一项遵循PRISMA标准的系统评价。
Medicine (Baltimore). 2016 Sep;95(38):e4889. doi: 10.1097/MD.0000000000004889.
3
Unusual Localization of a Primary Hydatid Cyst: Scaphoid Bone: A Case Report.原发性包虫囊肿的罕见定位:舟状骨:一例报告

本文引用的文献

1
Large cystic tumour at the chest wall mimicking an echinococcosis: a case report.胸部壁层的巨大囊性肿瘤酷似棘球蚴病:一例报告。
J Plast Reconstr Aesthet Surg. 2008 Oct;61(10):e13-6. doi: 10.1016/j.bjps.2007.10.040. Epub 2007 Dec 3.
2
Primary hydatid disease of the chest wall.胸壁原发性包虫病
Ann Thorac Cardiovasc Surg. 2007 Jun;13(3):203-5.
3
Hydatid disease of the first rib causing thoracic outlet syndrome.第一肋骨包虫病导致胸廓出口综合征。
Medicine (Baltimore). 2016 Apr;95(17):e3290. doi: 10.1097/MD.0000000000003290.
4
Cutaneous fistula of liver echinococcal cyst previously misdiagnosed as fistulizated rib osteomyelitis.肝包虫囊肿皮肤瘘,此前误诊为肋骨骨髓炎瘘管形成。
Trop Parasitol. 2013 Jul;3(2):161-5. doi: 10.4103/2229-5070.122150.
5
Management of a ruptured hydatid cyst involving the ribs: Dealing with a challenging case and review of the literature.累及肋骨的破裂包虫囊肿的管理:处理一例具有挑战性的病例并文献复习
Int J Surg Case Rep. 2012;3(7):253-6. doi: 10.1016/j.ijscr.2012.03.010. Epub 2012 Mar 20.
Med Princ Pract. 2007;16(1):68-70. doi: 10.1159/000096144.
4
Unusual radiologic manifestations of the echinococcus infection in the thorax.
J Thorac Imaging. 2006 Mar;21(1):32-6. doi: 10.1097/01.rti.0000186994.92705.2d.
5
Secondary echinococcosis of the rib and soft tissues.
Respiration. 2005 Sep-Oct;72(5):542. doi: 10.1159/000087681.
6
Hydatid disease of rib.
Ann Thorac Surg. 2001 Jan;71(1):372-3. doi: 10.1016/s0003-4975(00)02010-5.
7
[Spinal cord compression disclosing rib hydatidosis].[脊髓压迫症揭示肋骨包虫病]
J Radiol. 1995 Dec;76(12):1093-5.
8
[Bone echinococcosis].
Minerva Med. 1987 Jul 15;78(13):921-31.
9
[Echinococcus cysticus costalis: report of 2 cases and review of the literature].[肋骨囊状棘球蚴病:2例报告及文献复习]
Pneumologie. 1989 Apr;43(4):213-6.