• 文献检索
  • 文档翻译
  • 深度研究
  • 学术资讯
  • Suppr Zotero 插件Zotero 插件
  • 邀请有礼
  • 套餐&价格
  • 历史记录
应用&插件
Suppr Zotero 插件Zotero 插件浏览器插件Mac 客户端Windows 客户端微信小程序
定价
高级版会员购买积分包购买API积分包
服务
文献检索文档翻译深度研究API 文档MCP 服务
关于我们
关于 Suppr公司介绍联系我们用户协议隐私条款
关注我们

Suppr 超能文献

核心技术专利:CN118964589B侵权必究
粤ICP备2023148730 号-1Suppr @ 2026

文献检索

告别复杂PubMed语法,用中文像聊天一样搜索,搜遍4000万医学文献。AI智能推荐,让科研检索更轻松。

立即免费搜索

文件翻译

保留排版,准确专业,支持PDF/Word/PPT等文件格式,支持 12+语言互译。

免费翻译文档

深度研究

AI帮你快速写综述,25分钟生成高质量综述,智能提取关键信息,辅助科研写作。

立即免费体验

MYC 过表达诱导前列腺上皮内瘤形成和 Nkx3.1 在小鼠腔上皮细胞中的丢失。

MYC overexpression induces prostatic intraepithelial neoplasia and loss of Nkx3.1 in mouse luminal epithelial cells.

机构信息

Department of Pathology, The Johns Hopkins University School of Medicine, Baltimore, Maryland, United States of America.

出版信息

PLoS One. 2010 Feb 25;5(2):e9427. doi: 10.1371/journal.pone.0009427.

DOI:10.1371/journal.pone.0009427
PMID:20195545
原文链接:https://pmc.ncbi.nlm.nih.gov/articles/PMC2828486/
Abstract

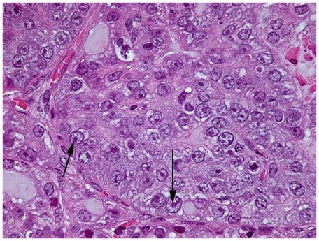
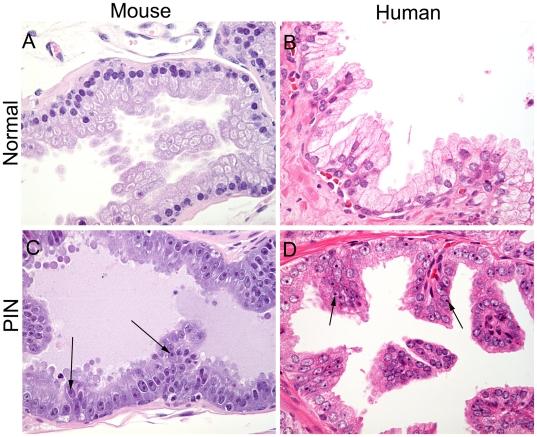
Lo-MYC and Hi-MYC mice develop prostatic intraepithelial neoplasia (PIN) and prostatic adenocarcinoma as a result of MYC overexpression in the mouse prostate. However, prior studies have not determined precisely when, and in which cell types, MYC is induced. Using immunohistochemistry (IHC) to localize MYC expression in Lo-MYC transgenic mice, we show that morphological and molecular alterations characteristic of high grade PIN arise in luminal epithelial cells as soon as MYC overexpression is detected. These changes include increased nuclear and nucleolar size and large scale chromatin remodeling. Mouse PIN cells retained a columnar architecture and abundant cytoplasm and appeared as either a single layer of neoplastic cells or as pseudo-stratified/multilayered structures with open glandular lumina-features highly analogous to human high grade PIN. Also using IHC, we show that the onset of MYC overexpression and PIN development coincided precisely with decreased expression of the homeodomain transcription factor and tumor suppressor, Nkx3.1. Virtually all normal appearing prostate luminal cells expressed high levels of Nkx3.1, but all cells expressing MYC in PIN lesions showed marked reductions in Nkx3.1, implicating MYC as a key factor that represses Nkx3.1 in PIN lesions. To determine the effects of less pronounced overexpression of MYC we generated a new line of mice expressing MYC in the prostate under the transcriptional control of the mouse Nkx3.1 control region. These "Super-Lo-MYC" mice also developed PIN, albeit a less aggressive form. We also identified a histologically defined intermediate step in the progression of mouse PIN into invasive adenocarcinoma. These lesions are characterized by a loss of cell polarity, multi-layering, and cribriform formation, and by a "paradoxical" increase in Nkx3.1 protein. Similar histopathological changes occurred in Hi-MYC mice, albeit with accelerated kinetics. Our results using IHC provide novel insights that support the contention that MYC overexpression is sufficient to transform prostate luminal epithelial cells into PIN cells in vivo. We also identified a novel histopathologically identifiable intermediate step prior to invasion that should facilitate studies of molecular pathway alterations occurring during early progression of prostatic adenocarcinomas.

摘要

Lo-MYC 和 Hi-MYC 小鼠由于 MYC 在小鼠前列腺中的过度表达而发展为前列腺上皮内瘤形成(PIN)和前列腺腺癌。然而,先前的研究并未确定 MYC 何时以及在何种细胞类型中被诱导。通过免疫组织化学(IHC)定位 Lo-MYC 转基因小鼠中的 MYC 表达,我们表明,一旦检测到 MYC 过度表达,具有高级别 PIN 特征的形态和分子改变就会出现在腔上皮细胞中。这些变化包括核和核仁大小增加以及大规模染色质重塑。小鼠 PIN 细胞保留柱状结构和丰富的细胞质,表现为单层或假分层/多层结构,具有开放的腺体腔-高度类似于人类高级别 PIN 的特征。同样通过 IHC,我们表明 MYC 过度表达和 PIN 发育的开始与同源域转录因子和肿瘤抑制因子 Nkx3.1 的表达下调精确吻合。实际上,所有正常的前列腺腔上皮细胞都表达高水平的 Nkx3.1,但在 PIN 病变中表达 MYC 的所有细胞都表现出 Nkx3.1 的明显减少,这表明 MYC 是一种关键因素,可在 PIN 病变中抑制 Nkx3.1 的表达。为了确定 MYC 表达程度较低的影响,我们生成了一条在前列腺中表达 MYC 的新小鼠系,其表达受小鼠 Nkx3.1 控制区的转录控制。这些“超级 Lo-MYC”小鼠也发展为 PIN,尽管形式不太激进。我们还确定了从小鼠 PIN 进展为浸润性腺癌的一个在组织学上定义的中间步骤。这些病变的特征是失去细胞极性、多层化和筛状形成,以及 Nkx3.1 蛋白的“反常”增加。Hi-MYC 小鼠中也发生了类似的组织病理学变化,尽管动力学加快。我们使用 IHC 的结果提供了新的见解,支持 MYC 过度表达足以将前列腺腔上皮细胞在体内转化为 PIN 细胞的观点。我们还确定了在侵袭前具有独特的可识别的中间步骤,这应该有助于研究前列腺腺癌早期进展过程中发生的分子途径改变。

https://cdn.ncbi.nlm.nih.gov/pmc/blobs/69a4/2828486/f5bd91e510c7/pone.0009427.g009.jpg
https://cdn.ncbi.nlm.nih.gov/pmc/blobs/69a4/2828486/1d48e022e0b1/pone.0009427.g001.jpg
https://cdn.ncbi.nlm.nih.gov/pmc/blobs/69a4/2828486/190b7c30d1bb/pone.0009427.g002.jpg
https://cdn.ncbi.nlm.nih.gov/pmc/blobs/69a4/2828486/516f40934c13/pone.0009427.g003.jpg
https://cdn.ncbi.nlm.nih.gov/pmc/blobs/69a4/2828486/13ea0a2b3b9c/pone.0009427.g004.jpg
https://cdn.ncbi.nlm.nih.gov/pmc/blobs/69a4/2828486/f70c1bc2881c/pone.0009427.g005.jpg
https://cdn.ncbi.nlm.nih.gov/pmc/blobs/69a4/2828486/8d05474de900/pone.0009427.g006.jpg
https://cdn.ncbi.nlm.nih.gov/pmc/blobs/69a4/2828486/5d5b9bef02d6/pone.0009427.g007.jpg
https://cdn.ncbi.nlm.nih.gov/pmc/blobs/69a4/2828486/17767b1adab4/pone.0009427.g008.jpg
https://cdn.ncbi.nlm.nih.gov/pmc/blobs/69a4/2828486/f5bd91e510c7/pone.0009427.g009.jpg
https://cdn.ncbi.nlm.nih.gov/pmc/blobs/69a4/2828486/1d48e022e0b1/pone.0009427.g001.jpg
https://cdn.ncbi.nlm.nih.gov/pmc/blobs/69a4/2828486/190b7c30d1bb/pone.0009427.g002.jpg
https://cdn.ncbi.nlm.nih.gov/pmc/blobs/69a4/2828486/516f40934c13/pone.0009427.g003.jpg
https://cdn.ncbi.nlm.nih.gov/pmc/blobs/69a4/2828486/13ea0a2b3b9c/pone.0009427.g004.jpg
https://cdn.ncbi.nlm.nih.gov/pmc/blobs/69a4/2828486/f70c1bc2881c/pone.0009427.g005.jpg
https://cdn.ncbi.nlm.nih.gov/pmc/blobs/69a4/2828486/8d05474de900/pone.0009427.g006.jpg
https://cdn.ncbi.nlm.nih.gov/pmc/blobs/69a4/2828486/5d5b9bef02d6/pone.0009427.g007.jpg
https://cdn.ncbi.nlm.nih.gov/pmc/blobs/69a4/2828486/17767b1adab4/pone.0009427.g008.jpg
https://cdn.ncbi.nlm.nih.gov/pmc/blobs/69a4/2828486/f5bd91e510c7/pone.0009427.g009.jpg

相似文献

1
MYC overexpression induces prostatic intraepithelial neoplasia and loss of Nkx3.1 in mouse luminal epithelial cells.MYC 过表达诱导前列腺上皮内瘤形成和 Nkx3.1 在小鼠腔上皮细胞中的丢失。
PLoS One. 2010 Feb 25;5(2):e9427. doi: 10.1371/journal.pone.0009427.
2
Decreased NKX3.1 protein expression in focal prostatic atrophy, prostatic intraepithelial neoplasia, and adenocarcinoma: association with gleason score and chromosome 8p deletion.局限性前列腺萎缩、前列腺上皮内瘤变及腺癌中NKX3.1蛋白表达降低:与Gleason评分及8号染色体短臂缺失的相关性
Cancer Res. 2006 Nov 15;66(22):10683-90. doi: 10.1158/0008-5472.CAN-06-0963.
3
Nkx3.1 and Myc crossregulate shared target genes in mouse and human prostate tumorigenesis.Nkx3.1 和 Myc 在小鼠和人前列腺肿瘤发生中相互调控共同的靶基因。
J Clin Invest. 2012 May;122(5):1907-19. doi: 10.1172/JCI58540. Epub 2012 Apr 9.
4
Loss of Nkx3.1 leads to the activation of discrete downstream target genes during prostate tumorigenesis.Nkx3.1的缺失导致前列腺肿瘤发生过程中离散下游靶基因的激活。
Oncogene. 2009 Sep 17;28(37):3307-19. doi: 10.1038/onc.2009.181. Epub 2009 Jul 13.
5
ETS family transcription factors collaborate with alternative signaling pathways to induce carcinoma from adult murine prostate cells.ETS家族转录因子与其他信号通路协同作用,诱导成年小鼠前列腺细胞发生癌变。
Proc Natl Acad Sci U S A. 2009 Jul 28;106(30):12465-70. doi: 10.1073/pnas.0905931106. Epub 2009 Jul 10.
6
Id4 deficiency attenuates prostate development and promotes PIN-like lesions by regulating androgen receptor activity and expression of NKX3.1 and PTEN.Id4基因缺陷通过调节雄激素受体活性以及NKX3.1和PTEN的表达,减弱前列腺发育并促进前列腺上皮内瘤样病变。
Mol Cancer. 2013 Jun 21;12:67. doi: 10.1186/1476-4598-12-67.
7
Nkx3.1 mutant mice recapitulate early stages of prostate carcinogenesis.Nkx3.1 突变小鼠重现了前列腺癌发生的早期阶段。
Cancer Res. 2002 Jun 1;62(11):2999-3004.
8
Conditional loss of Nkx3.1 in adult mice induces prostatic intraepithelial neoplasia.成年小鼠中Nkx3.1的条件性缺失会诱发前列腺上皮内瘤变。
Mol Cell Biol. 2002 Mar;22(5):1495-503. doi: 10.1128/MCB.22.5.1495-1503.2002.
9
Combined MYC Activation and Pten Loss Are Sufficient to Create Genomic Instability and Lethal Metastatic Prostate Cancer.MYC激活与Pten缺失共同作用足以引发基因组不稳定和致命性转移性前列腺癌。
Cancer Res. 2016 Jan 15;76(2):283-92. doi: 10.1158/0008-5472.CAN-14-3280. Epub 2015 Nov 10.
10
Mechanisms of prostate tumorigenesis: roles for transcription factors Nkx3.1 and Egr1.前列腺肿瘤发生的机制:转录因子Nkx3.1和Egr1的作用。
Ann N Y Acad Sci. 2005 Nov;1059:33-40. doi: 10.1196/annals.1339.018.

引用本文的文献

1
Interactions between key genes and pathways in prostate cancer progression and therapy resistance.前列腺癌进展和治疗抵抗中关键基因与信号通路之间的相互作用。
Front Oncol. 2025 Jan 23;15:1467540. doi: 10.3389/fonc.2025.1467540. eCollection 2025.
2
Convergent alterations in the tumor microenvironment of MYC-driven human and murine prostate cancer.MYC 驱动的人源和鼠源前列腺癌肿瘤微环境中的趋同改变。
Nat Commun. 2024 Aug 28;15(1):7414. doi: 10.1038/s41467-024-51450-2.
3
Diverse landscape of genetically engineered mouse models: Genomic and molecular insights into prostate cancer.

本文引用的文献

1
Somatic single hits inactivate the X-linked tumor suppressor FOXP3 in the prostate.体细胞单基因敲除会使前列腺中X连锁的肿瘤抑制基因FOXP3失活。
Cancer Cell. 2009 Oct 6;16(4):336-46. doi: 10.1016/j.ccr.2009.08.016.
2
A luminal epithelial stem cell that is a cell of origin for prostate cancer.一种作为前列腺癌起源细胞的管腔上皮干细胞。
Nature. 2009 Sep 24;461(7263):495-500. doi: 10.1038/nature08361. Epub 2009 Sep 9.
3
Loss of Nkx3.1 leads to the activation of discrete downstream target genes during prostate tumorigenesis.Nkx3.1的缺失导致前列腺肿瘤发生过程中离散下游靶基因的激活。
基因工程小鼠模型的多样性:前列腺癌的基因组和分子见解。
Cancer Lett. 2024 Jul 1;593:216954. doi: 10.1016/j.canlet.2024.216954. Epub 2024 May 10.
4
MYC-driven increases in mitochondrial DNA copy number occur early and persist throughout prostatic cancer progression.MYC 驱动的线粒体 DNA 拷贝数增加发生在前列腺癌进展的早期,并持续存在。
JCI Insight. 2023 Dec 22;8(24):e169868. doi: 10.1172/jci.insight.169868.
5
ETV4 mediates dosage-dependent prostate tumor initiation and cooperates with p53 loss to generate prostate cancer.ETV4 介导剂量依赖性前列腺肿瘤起始,并与 p53 缺失协同作用产生前列腺癌。
Sci Adv. 2023 Apr 5;9(14):eadc9446. doi: 10.1126/sciadv.adc9446.
6
MEN1 silencing aggravates tumorigenic potential of AR-independent prostate cancer cells through nuclear translocation and activation of JunD and β-catenin.MEN1 沉默通过核转位和 JunD 及 β-连环蛋白的激活加剧了雄激素受体非依赖性前列腺癌细胞的致瘤潜能。
J Exp Clin Cancer Res. 2021 Aug 26;40(1):270. doi: 10.1186/s13046-021-02058-7.
7
Androgen Receptor Signaling in Prostate Cancer Genomic Subtypes.前列腺癌基因组亚型中的雄激素受体信号传导
Cancers (Basel). 2021 Jun 30;13(13):3272. doi: 10.3390/cancers13133272.
8
Characterization of tumor-associated macrophages in prostate cancer transgenic mouse models.前列腺癌转基因小鼠模型中肿瘤相关巨噬细胞的特征。
Prostate. 2021 Jul;81(10):629-647. doi: 10.1002/pros.24139. Epub 2021 May 5.
9
INPP4B protects from metabolic syndrome and associated disorders.INPP4B 可预防代谢综合征及相关疾病。
Commun Biol. 2021 Mar 26;4(1):416. doi: 10.1038/s42003-021-01940-6.
10
The Role of Nkx3.1 in Cancers and Stemness.Nkx3.1在癌症和干性中的作用。
Int J Stem Cells. 2021 May 30;14(2):168-179. doi: 10.15283/ijsc20121.
Oncogene. 2009 Sep 17;28(37):3307-19. doi: 10.1038/onc.2009.181. Epub 2009 Jul 13.
4
Interactions between cells with distinct mutations in c-MYC and Pten in prostate cancer.前列腺癌中c-MYC和Pten具有不同突变的细胞之间的相互作用。
PLoS Genet. 2009 Jul;5(7):e1000542. doi: 10.1371/journal.pgen.1000542. Epub 2009 Jul 3.
5
Molecular signatures of prostate stem cells reveal novel signaling pathways and provide insights into prostate cancer.前列腺干细胞的分子特征揭示了新的信号通路,并为前列腺癌提供了见解。
PLoS One. 2009 May 29;4(5):e5722. doi: 10.1371/journal.pone.0005722.
6
Conserved gene expression programs integrate mammalian prostate development and tumorigenesis.保守的基因表达程序整合了哺乳动物前列腺发育和肿瘤发生过程。
Cancer Res. 2009 Mar 1;69(5):1739-47. doi: 10.1158/0008-5472.CAN-07-6817. Epub 2009 Feb 17.
7
Trop2 identifies a subpopulation of murine and human prostate basal cells with stem cell characteristics.Trop2可识别具有干细胞特征的小鼠和人类前列腺基底细胞亚群。
Proc Natl Acad Sci U S A. 2008 Dec 30;105(52):20882-7. doi: 10.1073/pnas.0811411106. Epub 2008 Dec 16.
8
Distinct thresholds govern Myc's biological output in vivo.不同的阈值在体内调控Myc的生物学效应。
Cancer Cell. 2008 Dec 9;14(6):447-57. doi: 10.1016/j.ccr.2008.10.018.
9
Ratcheting Myc.棘轮状分枝杆菌
Cancer Cell. 2008 Dec 9;14(6):425-6. doi: 10.1016/j.ccr.2008.11.008.
10
Precursor lesions to prostatic adenocarcinoma.前列腺腺癌的前驱病变。
Virchows Arch. 2009 Jan;454(1):1-16. doi: 10.1007/s00428-008-0707-5. Epub 2008 Dec 2.