• 文献检索
  • 文档翻译
  • 深度研究
  • 学术资讯
  • Suppr Zotero 插件Zotero 插件
  • 邀请有礼
  • 套餐&价格
  • 历史记录
应用&插件
Suppr Zotero 插件Zotero 插件浏览器插件Mac 客户端Windows 客户端微信小程序
定价
高级版会员购买积分包购买API积分包
服务
文献检索文档翻译深度研究API 文档MCP 服务
关于我们
关于 Suppr公司介绍联系我们用户协议隐私条款
关注我们

Suppr 超能文献

核心技术专利:CN118964589B侵权必究
粤ICP备2023148730 号-1Suppr @ 2026

文献检索

告别复杂PubMed语法,用中文像聊天一样搜索,搜遍4000万医学文献。AI智能推荐,让科研检索更轻松。

立即免费搜索

文件翻译

保留排版,准确专业,支持PDF/Word/PPT等文件格式,支持 12+语言互译。

免费翻译文档

深度研究

AI帮你快速写综述,25分钟生成高质量综述,智能提取关键信息,辅助科研写作。

立即免费体验

中性粒细胞弹性蛋白酶下调天然 G-CSFR 的表达和粒细胞-巨噬细胞集落形成。

Neutrophil elastase downmodulates native G-CSFR expression and granulocyte-macrophage colony formation.

机构信息

The Davis Heart and Lung Research Institute, The Ohio State University, Columbus, 43210, OH, USA.

出版信息

J Inflamm (Lond). 2010 Jan 21;7(1):5. doi: 10.1186/1476-9255-7-5.

DOI:10.1186/1476-9255-7-5
PMID:20205821
原文链接:https://pmc.ncbi.nlm.nih.gov/articles/PMC2824667/
Abstract

BACKGROUND

The granulocyte colony-stimulating factor receptor (G-CSFR) plays a critical role in maintaining homeostatic levels of circulating neutrophils (PMN). The mechanisms modulating G-CSFR surface expression to prevent chronic neutrophilia are poorly understood. Here, we report that neutrophil elastase (NE) proteolytically cleaves the G-CSFR on human PMN and blocks G-CSFR-mediated granulopoiesis in vitro.

METHODS

Human peripheral blood PMN isolated from healthy donors were incubated with NE. Expression of the G-CSFR was analyzed by flow cytometry and western blot analyses. Detection of G-CSFR cleavage products from the culture supernatants was also performed. Human bone marrow mononuclear cells were also cultured in the presence or absence of NE to determine its effects on the proliferation of granulocyte-macrophage colony forming units (CFU-GM).

RESULTS

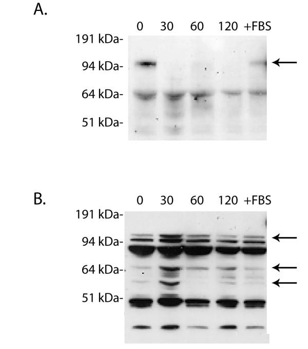
Treatment of PMN with NE induced a time-dependent decrease in G-CSFR expression that correlated with its degradation and the appearance of proteolytic cleavage fragments in conditioned media. Immunoblot analysis confirmed the G-CSFR was cleaved at its amino-terminus. Treatment of progenitor cells with NE prior to culture inhibited the growth of granulocyte-macrophage colony forming units.

CONCLUSIONS

These findings indicate that in addition to transcriptional controls and ligand-induced internalization, direct proteolytic cleavage of the G-CSFR by NE also downregulates G-CSFR expression and inhibits G-CSFR-mediated granulopoiesis in vitro. Our results suggest that NE negatively regulates granulopoiesis through a novel negative feedback loop.

摘要

背景

粒细胞集落刺激因子受体(G-CSFR)在维持循环中性粒细胞(PMN)的稳态水平中起着关键作用。调节 G-CSFR 表面表达以防止慢性中性粒细胞增多的机制尚不清楚。在这里,我们报告中性粒细胞弹性蛋白酶(NE)可在体外对人 PMN 上的 G-CSFR 进行蛋白水解切割,并阻断 G-CSFR 介导的粒细胞生成。

方法

从健康供体中分离出人外周血 PMN,并用 NE 孵育。通过流式细胞术和 Western blot 分析来分析 G-CSFR 的表达。还从培养上清液中检测 G-CSFR 切割产物。也在存在或不存在 NE 的情况下培养人骨髓单核细胞,以确定其对粒细胞-巨噬细胞集落形成单位(CFU-GM)增殖的影响。

结果

PMN 用 NE 处理会导致 G-CSFR 表达的时间依赖性下降,这与 G-CSFR 的降解及其在条件培养基中出现的蛋白水解切割片段相关。免疫印迹分析证实 G-CSFR 在其氨基末端被切割。在培养前用 NE 处理祖细胞会抑制粒细胞-巨噬细胞集落形成单位的生长。

结论

这些发现表明,除了转录控制和配体诱导的内化之外,NE 还通过直接蛋白水解切割 G-CSFR 来下调 G-CSFR 表达并抑制体外 G-CSFR 介导的粒细胞生成。我们的结果表明,NE 通过新的负反馈环负调节粒细胞生成。

https://cdn.ncbi.nlm.nih.gov/pmc/blobs/3fe1/2824667/7d4f9dd30b27/1476-9255-7-5-4.jpg
https://cdn.ncbi.nlm.nih.gov/pmc/blobs/3fe1/2824667/1d5104fad63b/1476-9255-7-5-1.jpg
https://cdn.ncbi.nlm.nih.gov/pmc/blobs/3fe1/2824667/331be38d71a4/1476-9255-7-5-2.jpg
https://cdn.ncbi.nlm.nih.gov/pmc/blobs/3fe1/2824667/95c8183dbae8/1476-9255-7-5-3.jpg
https://cdn.ncbi.nlm.nih.gov/pmc/blobs/3fe1/2824667/7d4f9dd30b27/1476-9255-7-5-4.jpg
https://cdn.ncbi.nlm.nih.gov/pmc/blobs/3fe1/2824667/1d5104fad63b/1476-9255-7-5-1.jpg
https://cdn.ncbi.nlm.nih.gov/pmc/blobs/3fe1/2824667/331be38d71a4/1476-9255-7-5-2.jpg
https://cdn.ncbi.nlm.nih.gov/pmc/blobs/3fe1/2824667/95c8183dbae8/1476-9255-7-5-3.jpg
https://cdn.ncbi.nlm.nih.gov/pmc/blobs/3fe1/2824667/7d4f9dd30b27/1476-9255-7-5-4.jpg

相似文献

1
Neutrophil elastase downmodulates native G-CSFR expression and granulocyte-macrophage colony formation.中性粒细胞弹性蛋白酶下调天然 G-CSFR 的表达和粒细胞-巨噬细胞集落形成。
J Inflamm (Lond). 2010 Jan 21;7(1):5. doi: 10.1186/1476-9255-7-5.
2
Proteolytic cleavage of granulocyte colony-stimulating factor and its receptor by neutrophil elastase induces growth inhibition and decreased cell surface expression of the granulocyte colony-stimulating factor receptor.中性粒细胞弹性蛋白酶对粒细胞集落刺激因子及其受体的蛋白水解切割可诱导生长抑制并降低粒细胞集落刺激因子受体的细胞表面表达。
Am J Hematol. 2003 Nov;74(3):149-55. doi: 10.1002/ajh.10434.
3
G-CSF and GM-CSF concentrations and receptor expression in peripheral blood leukemic cells from patients with chronic myelogenous leukemia.慢性粒细胞白血病患者外周血白血病细胞中粒细胞集落刺激因子(G-CSF)和粒细胞-巨噬细胞集落刺激因子(GM-CSF)的浓度及受体表达
Ann Clin Lab Sci. 2008 Autumn;38(4):331-7.
4
Defects of granulopoiesis in patients with severe congenital neutropenia.严重先天性中性粒细胞减少症患者的粒细胞生成缺陷。
Hiroshima J Med Sci. 2002 Sep;51(3):63-74.
5
Granulocyte colony-stimulating factor/granulocyte colony-stimulating factor receptor biological axis promotes survival and growth of bladder cancer cells.粒细胞集落刺激因子/粒细胞集落刺激因子受体生物学轴促进膀胱癌细胞的存活和生长。
Urology. 2007 Jun;69(6):1210-5. doi: 10.1016/j.urology.2007.02.035.
6
Growth and differentiation signals mediated by different regions in the cytoplasmic domain of granulocyte colony-stimulating factor receptor.粒细胞集落刺激因子受体胞质结构域不同区域介导的生长和分化信号
Cell. 1993 Sep 24;74(6):1079-87. doi: 10.1016/0092-8674(93)90729-a.
7
A secreted proform of neutrophil proteinase 3 regulates the proliferation of granulopoietic progenitor cells.
Blood. 1999 Feb 1;93(3):849-56.
8
Role of the proteasome in modulating native G-CSFR expression.蛋白酶体在调节天然粒细胞集落刺激因子受体(G-CSFR)表达中的作用。
Cytokine. 2008 Aug;43(2):114-23. doi: 10.1016/j.cyto.2008.04.015. Epub 2008 Jun 12.
9
A functional granulocyte colony-stimulating factor receptor is required for normal chemoattractant-induced neutrophil activation.正常趋化因子诱导的中性粒细胞激活需要功能性粒细胞集落刺激因子受体。
J Clin Invest. 1999 Mar;103(6):825-32. doi: 10.1172/JCI5191.
10
High-frequency granuloid colony-forming ability of G-CSF receptor possessing CD34 antigen positive human umbilical cord blood hematopoietic progenitors.
Exp Hematol. 1995 Mar;23(3):226-8.

引用本文的文献

1
In-silico analysis of myeloid cells across the animal kingdom reveals neutrophil evolution by colony-stimulating factors.对动物王国中髓样细胞的计算机分析揭示了集落刺激因子对中性粒细胞的进化作用。
Elife. 2020 Nov 25;9:e60214. doi: 10.7554/eLife.60214.
2
Neutrophil elastase from myeloid cells promotes TSC2-null tumor growth.髓细胞弹性蛋白酶促进 TSC2 缺失型肿瘤生长。
Endocr Relat Cancer. 2020 Apr;27(4):261-274. doi: 10.1530/ERC-19-0431.
3
Neutrophil Extracellular Traps Reprogram IL-4/GM-CSF-Induced Monocyte Differentiation to Anti-inflammatory Macrophages.

本文引用的文献

1
Proteolytic cleavage of granulocyte colony-stimulating factor and its receptor by neutrophil elastase induces growth inhibition and decreased cell surface expression of the granulocyte colony-stimulating factor receptor.中性粒细胞弹性蛋白酶对粒细胞集落刺激因子及其受体的蛋白水解切割可诱导生长抑制并降低粒细胞集落刺激因子受体的细胞表面表达。
Am J Hematol. 2003 Nov;74(3):149-55. doi: 10.1002/ajh.10434.
2
Mutations associated with neutropenia in dogs and humans disrupt intracellular transport of neutrophil elastase.与犬类和人类中性粒细胞减少症相关的突变会破坏中性粒细胞弹性蛋白酶的细胞内运输。
Nat Genet. 2003 Sep;35(1):90-6. doi: 10.1038/ng1224. Epub 2003 Aug 3.
3
中性粒细胞胞外诱捕网将白细胞介素-4/粒细胞-巨噬细胞集落刺激因子诱导的单核细胞分化重编程为抗炎性巨噬细胞。
Front Immunol. 2017 May 17;8:523. doi: 10.3389/fimmu.2017.00523. eCollection 2017.
4
Pharmacokinetics and pharmacodynamics of pegfilgrastim.培非格司亭的药代动力学和药效学。
Clin Pharmacokinet. 2011 May;50(5):295-306. doi: 10.2165/11586040-000000000-00000.
5
sRAGE induces human monocyte survival and differentiation.sRAGE 诱导人单核细胞存活和分化。
J Immunol. 2010 Aug 1;185(3):1822-35. doi: 10.4049/jimmunol.0903398. Epub 2010 Jun 23.
Pivotal role of granulocyte colony-stimulating factor in the development of progenitors in the common myeloid pathway.
粒细胞集落刺激因子在常见髓系途径祖细胞发育中的关键作用。
Blood. 2003 Nov 15;102(10):3562-8. doi: 10.1182/blood-2003-02-0593. Epub 2003 Jul 31.
4
Granulocyte colony-stimulating factor induces the release in the bone marrow of proteases that cleave c-KIT receptor (CD117) from the surface of hematopoietic progenitor cells.粒细胞集落刺激因子可诱导骨髓中蛋白酶的释放,这些蛋白酶能从造血祖细胞表面裂解c-KIT受体(CD117)。
Exp Hematol. 2003 Feb;31(2):109-17. doi: 10.1016/s0301-472x(02)01028-7.
5
Disruption of the CXCR4/CXCL12 chemotactic interaction during hematopoietic stem cell mobilization induced by GCSF or cyclophosphamide.在粒细胞集落刺激因子(GCSF)或环磷酰胺诱导的造血干细胞动员过程中,CXCR4/CXCL12趋化相互作用的破坏。
J Clin Invest. 2003 Jan;111(2):187-96. doi: 10.1172/JCI15994.
6
Neutrophil elastase enzymatically antagonizes the in vitro action of G-CSF: implications for the regulation of granulopoiesis.中性粒细胞弹性蛋白酶可酶解拮抗粒细胞集落刺激因子(G-CSF)的体外作用:对粒细胞生成调节的影响。
Blood. 2003 Mar 1;101(5):1752-8. doi: 10.1182/blood-2002-06-1734. Epub 2002 Oct 17.
7
Proteolytic enzyme levels are increased during granulocyte colony-stimulating factor-induced hematopoietic stem cell mobilization in human donors but do not predict the number of mobilized stem cells.在粒细胞集落刺激因子诱导人类供体造血干细胞动员过程中,蛋白水解酶水平升高,但无法预测动员的干细胞数量。
J Hematother Stem Cell Res. 2002 Jun;11(3):513-21. doi: 10.1089/15258160260090979.
8
G-CSF induces stem cell mobilization by decreasing bone marrow SDF-1 and up-regulating CXCR4.粒细胞集落刺激因子通过降低骨髓基质细胞衍生因子-1并上调CXC趋化因子受体4来诱导干细胞动员。
Nat Immunol. 2002 Jul;3(7):687-94. doi: 10.1038/ni813. Epub 2002 Jun 17.
9
Leukocyte elastase negatively regulates Stromal cell-derived factor-1 (SDF-1)/CXCR4 binding and functions by amino-terminal processing of SDF-1 and CXCR4.白细胞弹性蛋白酶通过对基质细胞衍生因子-1(SDF-1)和CXC趋化因子受体4(CXCR4)进行氨基末端加工,对SDF-1/CXCR4的结合及功能产生负向调节作用。
J Biol Chem. 2002 May 3;277(18):15677-89. doi: 10.1074/jbc.M111388200. Epub 2002 Feb 26.
10
Vascular cell adhesion molecule-1 (CD106) is cleaved by neutrophil proteases in the bone marrow following hematopoietic progenitor cell mobilization by granulocyte colony-stimulating factor.在粒细胞集落刺激因子动员造血祖细胞后,血管细胞黏附分子-1(CD106)在骨髓中被中性粒细胞蛋白酶切割。
Blood. 2001 Sep 1;98(5):1289-97. doi: 10.1182/blood.v98.5.1289.