• 文献检索
  • 文档翻译
  • 深度研究
  • 学术资讯
  • Suppr Zotero 插件Zotero 插件
  • 邀请有礼
  • 套餐&价格
  • 历史记录
应用&插件
Suppr Zotero 插件Zotero 插件浏览器插件Mac 客户端Windows 客户端微信小程序
定价
高级版会员购买积分包购买API积分包
服务
文献检索文档翻译深度研究API 文档MCP 服务
关于我们
关于 Suppr公司介绍联系我们用户协议隐私条款
关注我们

Suppr 超能文献

核心技术专利:CN118964589B侵权必究
粤ICP备2023148730 号-1Suppr @ 2026

文献检索

告别复杂PubMed语法,用中文像聊天一样搜索,搜遍4000万医学文献。AI智能推荐,让科研检索更轻松。

立即免费搜索

文件翻译

保留排版,准确专业,支持PDF/Word/PPT等文件格式,支持 12+语言互译。

免费翻译文档

深度研究

AI帮你快速写综述,25分钟生成高质量综述,智能提取关键信息,辅助科研写作。

立即免费体验

在线粒体中,二聚体 F(1)F(o)-ATP 合酶的逐步组装涉及小 F(o)-亚基 k 和 i。

Stepwise assembly of dimeric F(1)F(o)-ATP synthase in mitochondria involves the small F(o)-subunits k and i.

机构信息

Institut für Biochemie und Molekularbiologie, Freiburg, Germany.

出版信息

Mol Biol Cell. 2010 May 1;21(9):1494-504. doi: 10.1091/mbc.e09-12-1023. Epub 2010 Mar 10.

DOI:10.1091/mbc.e09-12-1023
PMID:20219971
原文链接:https://pmc.ncbi.nlm.nih.gov/articles/PMC2861609/
Abstract

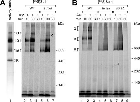
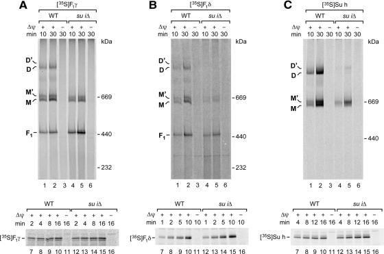
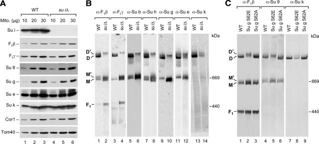
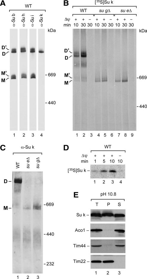
F(1)F(o)-ATP synthase is a key enzyme of oxidative phosphorylation that is localized in the inner membrane of mitochondria. It uses the energy stored in the proton gradient across the inner mitochondrial membrane to catalyze the synthesis of ATP from ADP and phosphate. Dimeric and higher oligomeric forms of ATP synthase have been observed in mitochondria from various organisms. Oligomerization of ATP synthase is critical for the morphology of the inner mitochondrial membrane because it supports the generation of tubular cristae membrane domains. Association of individual F(1)F(o)-ATP synthase complexes is mediated by the membrane-embedded F(o)-part. Several subunits were mapped to monomer-monomer-interfaces of yeast ATP synthase complexes, but only Su e (Atp21) and Su g (Atp20) have so far been identified as crucial for the formation of stable dimers. We show that two other small F(o)-components, Su k (Atp19) and Su i (Atp18) are involved in the stepwise assembly of F(1)F(o)-ATP synthase dimers and oligomers. We have identified an intermediate form of the ATP synthase dimer, which accumulates in the absence of Su i. Moreover, our data indicate that Su i facilitates the incorporation of newly synthesized subunits into ATP synthase complexes.

摘要

F(1)F(o)-ATP 合酶是一种位于线粒体内膜的氧化磷酸化的关键酶。它利用跨线粒体内膜的质子梯度中的能量,催化 ADP 和磷酸合成 ATP。已经在来自各种生物体的线粒体中观察到二聚体和更高的寡聚体形式的 ATP 合酶。ATP 合酶的寡聚化对于线粒体内膜的形态至关重要,因为它支持管状嵴膜结构域的生成。单个 F(1)F(o)-ATP 合酶复合物的缔合是通过膜嵌入的 F(o)-部分介导的。已经将几个亚基映射到酵母 ATP 合酶复合物的单体-单体界面,但迄今为止只有 Su e(Atp21)和 Su g(Atp20)被确定为形成稳定二聚体的关键。我们表明,另外两个小的 F(o)-成分 Su k(Atp19)和 Su i(Atp18)参与 F(1)F(o)-ATP 合酶二聚体和寡聚体的逐步组装。我们已经鉴定出 ATP 合酶二聚体的中间形式,它在没有 Su i 的情况下积累。此外,我们的数据表明 Su i 促进了新合成的亚基掺入 ATP 合酶复合物。

https://cdn.ncbi.nlm.nih.gov/pmc/blobs/c063/2861609/f24d56eef87d/zmk0091094260009.jpg
https://cdn.ncbi.nlm.nih.gov/pmc/blobs/c063/2861609/80b0f073378f/zmk0091094260001.jpg
https://cdn.ncbi.nlm.nih.gov/pmc/blobs/c063/2861609/4ec8cb0eedcd/zmk0091094260002.jpg
https://cdn.ncbi.nlm.nih.gov/pmc/blobs/c063/2861609/0a4ce9f89c39/zmk0091094260003.jpg
https://cdn.ncbi.nlm.nih.gov/pmc/blobs/c063/2861609/ae6cfc6aa0ce/zmk0091094260004.jpg
https://cdn.ncbi.nlm.nih.gov/pmc/blobs/c063/2861609/2b5af5314ae3/zmk0091094260005.jpg
https://cdn.ncbi.nlm.nih.gov/pmc/blobs/c063/2861609/ebbe0b43608a/zmk0091094260006.jpg
https://cdn.ncbi.nlm.nih.gov/pmc/blobs/c063/2861609/725dfefce423/zmk0091094260007.jpg
https://cdn.ncbi.nlm.nih.gov/pmc/blobs/c063/2861609/1ca7b28a6be4/zmk0091094260008.jpg
https://cdn.ncbi.nlm.nih.gov/pmc/blobs/c063/2861609/f24d56eef87d/zmk0091094260009.jpg
https://cdn.ncbi.nlm.nih.gov/pmc/blobs/c063/2861609/80b0f073378f/zmk0091094260001.jpg
https://cdn.ncbi.nlm.nih.gov/pmc/blobs/c063/2861609/4ec8cb0eedcd/zmk0091094260002.jpg
https://cdn.ncbi.nlm.nih.gov/pmc/blobs/c063/2861609/0a4ce9f89c39/zmk0091094260003.jpg
https://cdn.ncbi.nlm.nih.gov/pmc/blobs/c063/2861609/ae6cfc6aa0ce/zmk0091094260004.jpg
https://cdn.ncbi.nlm.nih.gov/pmc/blobs/c063/2861609/2b5af5314ae3/zmk0091094260005.jpg
https://cdn.ncbi.nlm.nih.gov/pmc/blobs/c063/2861609/ebbe0b43608a/zmk0091094260006.jpg
https://cdn.ncbi.nlm.nih.gov/pmc/blobs/c063/2861609/725dfefce423/zmk0091094260007.jpg
https://cdn.ncbi.nlm.nih.gov/pmc/blobs/c063/2861609/1ca7b28a6be4/zmk0091094260008.jpg
https://cdn.ncbi.nlm.nih.gov/pmc/blobs/c063/2861609/f24d56eef87d/zmk0091094260009.jpg

相似文献

1
Stepwise assembly of dimeric F(1)F(o)-ATP synthase in mitochondria involves the small F(o)-subunits k and i.在线粒体中,二聚体 F(1)F(o)-ATP 合酶的逐步组装涉及小 F(o)-亚基 k 和 i。
Mol Biol Cell. 2010 May 1;21(9):1494-504. doi: 10.1091/mbc.e09-12-1023. Epub 2010 Mar 10.
2
Mitochondrial F1Fo-ATP synthase: the small subunits e and g associate with monomeric complexes to trigger dimerization.线粒体F1Fo-ATP合酶:小亚基e和g与单体复合物结合以触发二聚化。
J Mol Biol. 2009 Oct 2;392(4):855-61. doi: 10.1016/j.jmb.2009.07.059. Epub 2009 Jul 25.
3
Functional analysis of subunit e of the F1Fo-ATP synthase of the yeast Saccharomyces cerevisiae: importance of the N-terminal membrane anchor region.酿酒酵母F1Fo - ATP合酶亚基e的功能分析:N端膜锚定区域的重要性
Eukaryot Cell. 2005 Feb;4(2):346-55. doi: 10.1128/EC.4.2.346-355.2005.
4
Formation of the yeast F1F0-ATP synthase dimeric complex does not require the ATPase inhibitor protein, Inh1.酵母F1F0 - ATP合酶二聚体复合物的形成不需要ATP酶抑制剂蛋白Inh1。
J Biol Chem. 2002 Oct 18;277(42):39289-95. doi: 10.1074/jbc.M205720200. Epub 2002 Aug 6.
5
Formation of cristae and crista junctions in mitochondria depends on antagonism between Fcj1 and Su e/g.线粒体中嵴和嵴连接的形成取决于Fcj1和Su e/g之间的拮抗作用。
J Cell Biol. 2009 Jun 15;185(6):1047-63. doi: 10.1083/jcb.200811099.
6
High-Conductance Channel Formation in Yeast Mitochondria is Mediated by F-ATP Synthase e and g Subunits.酵母线粒体中高电导通道的形成由F-ATP合酶的e和g亚基介导。
Cell Physiol Biochem. 2018;50(5):1840-1855. doi: 10.1159/000494864. Epub 2018 Nov 13.
7
ATP synthase of yeast mitochondria. Isolation of subunit j and disruption of the ATP18 gene.酵母线粒体的ATP合酶。亚基j的分离及ATP18基因的破坏。
J Biol Chem. 1999 Jan 1;274(1):36-40. doi: 10.1074/jbc.274.1.36.
8
ATP synthase oligomerization: from the enzyme models to the mitochondrial morphology.ATP 合酶寡聚化:从酶模型到线粒体形态。
Int J Biochem Cell Biol. 2013 Jan;45(1):99-105. doi: 10.1016/j.biocel.2012.05.017. Epub 2012 Jun 1.
9
Arg-8 of yeast subunit e contributes to the stability of F-ATP synthase dimers and to the generation of the full-conductance mitochondrial megachannel.酵母亚基 e 的 Arg-8 有助于 F-ATP 合酶二聚体的稳定性和全电导线粒体巨型通道的产生。
J Biol Chem. 2019 Jul 12;294(28):10987-10997. doi: 10.1074/jbc.RA119.008775. Epub 2019 Jun 3.
10
Yeast mitochondrial F1F0-ATP synthase exists as a dimer: identification of three dimer-specific subunits.酵母线粒体F1F0 - ATP合酶以二聚体形式存在:三种二聚体特异性亚基的鉴定。
EMBO J. 1998 Dec 15;17(24):7170-8. doi: 10.1093/emboj/17.24.7170.

引用本文的文献

1
An alternative mechanism by which If1 prevents ATP hydrolysis by the ATP synthase subcomplex in S. cerevisiae.在酿酒酵母中,If1阻止ATP合酶亚复合体水解ATP的另一种机制。
EMBO Rep. 2025 Jun 9. doi: 10.1038/s44319-025-00430-8.
2
A Novel Mitochondrial Targeted Compound Phosundoxin Showing Potent Antifungal Activity against Common Clinical Pathogenic Fungi.一种新型线粒体靶向化合物磷辛毒素对常见临床致病真菌显示出强大的抗真菌活性。
J Fungi (Basel). 2023 Dec 31;10(1):28. doi: 10.3390/jof10010028.
3
Rotation of the c-Ring Promotes the Curvature Sorting of Monomeric ATP Synthases.

本文引用的文献

1
Importing mitochondrial proteins: machineries and mechanisms.导入线粒体蛋白:机制与原理
Cell. 2009 Aug 21;138(4):628-44. doi: 10.1016/j.cell.2009.08.005.
2
Mitochondrial F1Fo-ATP synthase: the small subunits e and g associate with monomeric complexes to trigger dimerization.线粒体F1Fo-ATP合酶:小亚基e和g与单体复合物结合以触发二聚化。
J Mol Biol. 2009 Oct 2;392(4):855-61. doi: 10.1016/j.jmb.2009.07.059. Epub 2009 Jul 25.
3
Formation of cristae and crista junctions in mitochondria depends on antagonism between Fcj1 and Su e/g.
c 环的旋转促进单体 ATP 合酶的曲率分选。
Adv Sci (Weinh). 2023 Nov;10(31):e2301606. doi: 10.1002/advs.202301606. Epub 2023 Sep 13.
4
ATP synthase interactome analysis identifies a new subunit l as a modulator of permeability transition pore in yeast.三磷酸腺苷合酶相互作用组分析鉴定出一个新的亚基 l 作为酵母渗透性转变孔的调节剂。
Sci Rep. 2023 Mar 7;13(1):3839. doi: 10.1038/s41598-023-30966-5.
5
The mitochondrial Hsp70 controls the assembly of the FF-ATP synthase.线粒体 Hsp70 控制 FF-ATP 合酶的组装。
Nat Commun. 2023 Jan 3;14(1):39. doi: 10.1038/s41467-022-35720-5.
6
Dual role of Mic10 in mitochondrial cristae organization and ATP synthase-linked metabolic adaptation and respiratory growth.Mic10 在线粒体嵴组织和与 ATP 合酶相关的代谢适应及呼吸生长中的双重作用。
Cell Rep. 2022 Jan 25;38(4):110290. doi: 10.1016/j.celrep.2021.110290.
7
Current understanding of structure, function and biogenesis of yeast mitochondrial ATP synthase.酵母线粒体 ATP 合酶的结构、功能和生物发生的当前认识。
J Bioenerg Biomembr. 2019 Oct;51(5):315-328. doi: 10.1007/s10863-019-09809-4. Epub 2019 Aug 16.
8
Impact of F1Fo-ATP-synthase dimer assembly factors on mitochondrial function and organismic aging.F1Fo-ATP合酶二聚体组装因子对线粒体功能及机体衰老的影响
Microb Cell. 2018 Jan 30;5(4):198-207. doi: 10.15698/mic2018.04.625.
9
Assembling the mitochondrial ATP synthase.组装线粒体ATP合酶。
Proc Natl Acad Sci U S A. 2018 Mar 20;115(12):2850-2852. doi: 10.1073/pnas.1801697115. Epub 2018 Mar 7.
10
The Yin & Yang of Mitochondrial Architecture - Interplay of MICOS and FF-ATP synthase in cristae formation.线粒体结构的阴阳之道——MICOS与FF-ATP合酶在嵴形成中的相互作用
Microb Cell. 2017 Aug 7;4(8):236-239. doi: 10.15698/mic2017.08.583.
线粒体中嵴和嵴连接的形成取决于Fcj1和Su e/g之间的拮抗作用。
J Cell Biol. 2009 Jun 15;185(6):1047-63. doi: 10.1083/jcb.200811099.
4
Supramolecular organization of ATP synthase and respiratory chain in mitochondrial membranes.线粒体膜中ATP合酶与呼吸链的超分子组织
Biochim Biophys Acta. 2009 Jun;1787(6):672-80. doi: 10.1016/j.bbabio.2008.12.016. Epub 2009 Jan 8.
5
Respiratory active mitochondrial supercomplexes.呼吸活性线粒体超复合物
Mol Cell. 2008 Nov 21;32(4):529-39. doi: 10.1016/j.molcel.2008.10.021.
6
Supercomplex organization of the oxidative phosphorylation enzymes in yeast mitochondria.酵母线粒体中氧化磷酸化酶的超复合体组织
J Bioenerg Biomembr. 2008 Oct;40(5):411-7. doi: 10.1007/s10863-008-9168-4. Epub 2008 Oct 7.
7
Features and applications of blue-native and clear-native electrophoresis.蓝色非变性和清亮非变性电泳的特点与应用
Proteomics. 2008 Oct;8(19):3974-90. doi: 10.1002/pmic.200800017.
8
Cristae formation-linking ultrastructure and function of mitochondria.嵴的形成——连接线粒体的超微结构与功能
Biochim Biophys Acta. 2009 Jan;1793(1):5-19. doi: 10.1016/j.bbamcr.2008.06.013. Epub 2008 Jun 20.
9
Supramolecular organization of protein complexes in the mitochondrial inner membrane.线粒体内膜中蛋白质复合物的超分子组织
Biochim Biophys Acta. 2009 Jan;1793(1):117-24. doi: 10.1016/j.bbamcr.2008.05.019. Epub 2008 Jun 3.
10
Unique rotary ATP synthase and its biological diversity.独特的旋转式ATP合酶及其生物多样性。
Annu Rev Biophys. 2008;37:43-64. doi: 10.1146/annurev.biophys.37.032807.130018.