Suppr超能文献

一例罕见的腘静脉动脉瘤病例。

A rare case of popliteal venous aneurysm.

作者信息

Fiori Roberto, Chiappa Roberto, Gaspari Eleonora, Simonetti Giovanni

机构信息

Department of Diagnostic Imaging, Molecular Imaging, Interventional Radiology and Radiation Therapy, University Hospital "Tor Vergata", 81 Oxford Street, 00133 Rome, Italy.

出版信息

Case Rep Med. 2010;2010:579256. doi: 10.1155/2010/579256. Epub 2010 Mar 10.

Abstract

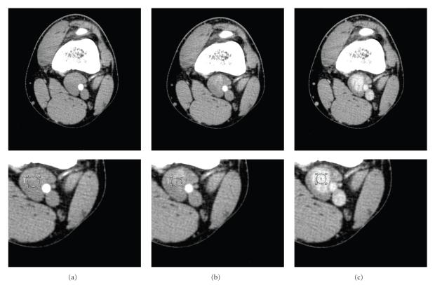
We report a case of a 21-year-old man with a popliteal venous aneurysm of the left popliteal fossa, with local symptoms and pain during palpation. Early diagnosis is fundamental in order to prevent the thromboembolic events or other major complications. Duplex scanning, Computed Tomography scanning, and Magnetic Resonance imaging are considered to be important non-invasive diagnostic methods for the diagnosis of PVA. The Angio Computed Tomography acquisition confirmed a 36 mm x 17 mm oval mass in the left popliteal fossa continuous with the popliteal veins. This lesion had presented contrast enhancement only in delayed acquisition (180 sec) and so appeared to be a true venous aneurysm and no arterial. The PVA was repaired surgically via a posterior approach to the popliteal fossa. A 4 x 2 aneurysm was identified. In the same time open tangential aneurysmectomy and lateral vein reconstruction were realised. This case is interesting because the Angio Computed Tomography study, in delayed acquisition, has allowed a correct diagnostic assessment of PVA and the surgical treatment.

摘要

我们报告一例21岁男性患者,其左腘窝患有腘静脉瘤,伴有局部症状及触诊疼痛。早期诊断对于预防血栓栓塞事件或其他严重并发症至关重要。双功扫描、计算机断层扫描和磁共振成像被认为是诊断腘静脉瘤的重要无创诊断方法。血管计算机断层扫描成像证实左腘窝有一个36毫米×17毫米的椭圆形肿块,与腘静脉相连。该病变仅在延迟采集(180秒)时出现对比增强,因此似乎是一个真正的静脉瘤而非动脉瘤。通过腘窝后方入路对腘静脉瘤进行了手术修复。发现一个4×2的动脉瘤。同时进行了开放性切线动脉瘤切除术和外侧静脉重建。该病例很有意思,因为血管计算机断层扫描研究在延迟采集时能够对腘静脉瘤进行正确的诊断评估并指导手术治疗。

https://cdn.ncbi.nlm.nih.gov/pmc/blobs/a32e/2836132/9be30d6c98a2/CRM2010-579256.001.jpg

文献检索

告别复杂PubMed语法,用中文像聊天一样搜索,搜遍4000万医学文献。AI智能推荐,让科研检索更轻松。

立即免费搜索

文件翻译

保留排版,准确专业,支持PDF/Word/PPT等文件格式,支持 12+语言互译。

免费翻译文档

深度研究

AI帮你快速写综述,25分钟生成高质量综述,智能提取关键信息,辅助科研写作。

立即免费体验