Suppr超能文献

当前基于抗体的免疫分析算法未能确诊中国的三例晚期艾滋病病例:病例报告。

Current antibody-based immunoassay algorithm failed to confirm three late-stage AIDS cases in China: case report.

机构信息

Guangzhou Center for Disease Control and Prevention, Guangdong, PR China.

出版信息

Virol J. 2010 Mar 15;7:58. doi: 10.1186/1743-422X-7-58.

Abstract

BACKGROUND

Immunoassays composed of screening and confirmation are the established algorithm to confirm HIV infection in China, with a Western blot result as the final diagnosis.

CASE PRESENTATION

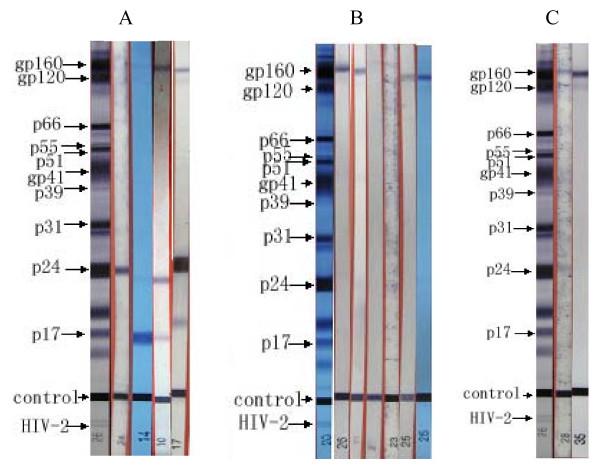
In this report, three late-stage AIDS patients were initially tested HIV antibody positive using multiple screening kits, but tested indeterminate using Western blot. HIV infection diagnosis was confirmed based on nucleic acid assays, clinic manifestations and epidemiological history. Case A was identified positive at 30 months, using Western blot, Case B at 8 months, and case C remained indeterminate until he died of Kaposi's sarcoma 4 months after HAART.

CONCLUSION

The report indicates that current antibody-based testing algorithms may miss late-stage AIDS patients and therefore miss the opportunity for preventing these cases from further transmission. The report also implies that viral load assays is not easy to be universely applicated in developing country like China although it is helpful in diagnosing complicated cases of HIV infection, so the counselling before and after testing is imperative to the diagnosis of HIV infection and risk behavior survey on the examinee should be as detailed as possible.

摘要

背景

免疫分析由筛选和确认组成,是中国确认 HIV 感染的既定算法,Western blot 结果为最终诊断。

病例介绍

在本报告中,三名晚期艾滋病患者最初使用多种筛选试剂盒检测 HIV 抗体阳性,但 Western blot 检测结果不确定。根据核酸检测、临床表现和流行病学史,确诊为 HIV 感染。病例 A 在 30 个月时通过 Western blot 检测为阳性,病例 B 在 8 个月时检测为阳性,病例 C 在接受高效抗逆转录病毒治疗 (HAART) 4 个月后因卡波西肉瘤去世时仍不确定。

结论

本报告表明,目前基于抗体的检测算法可能会漏诊晚期艾滋病患者,从而错失预防这些患者进一步传播的机会。本报告还表明,虽然病毒载量检测有助于诊断复杂的 HIV 感染病例,但在像中国这样的发展中国家,它不容易普及,因此检测前后的咨询对于 HIV 感染的诊断和对受检者的风险行为调查至关重要,应尽可能详细。

https://cdn.ncbi.nlm.nih.gov/pmc/blobs/7910/2850901/583c89ae1a45/1743-422X-7-58-1.jpg

文献AI研究员

20分钟写一篇综述,助力文献阅读效率提升50倍。

立即体验

用中文搜PubMed

大模型驱动的PubMed中文搜索引擎

马上搜索

文档翻译

学术文献翻译模型,支持多种主流文档格式。

立即体验