Suppr超能文献

弥漫性大B细胞淋巴瘤的灰色地带。基于在法国波尔多举行的欧洲血液病理学协会第十四届会议和血液病理学协会研讨会得出的结论。

Gray zones around diffuse large B cell lymphoma. Conclusions based on the workshop of the XIV meeting of the European Association for Hematopathology and the Society of Hematopathology in Bordeaux, France.

作者信息

Quintanilla-Martinez Leticia, de Jong Daphne, de Mascarel Antoine, Hsi Eric D, Kluin Philip, Natkunam Yaso, Parrens Marie, Pileri Stefano, Ott German

出版信息

J Hematop. 2009 Dec 22;2(4):211-36. doi: 10.1007/s12308-009-0053-9.

Abstract

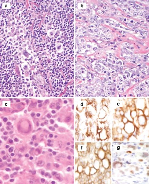
The term "gray-zone" lymphoma has been used to denote a group of lymphomas with overlapping histological, biological, and clinical features between various types of lymphomas. It has been used in the context of Hodgkin lymphomas (HL) and non-Hodgkin lymphomas (NHL), including classical HL (CHL), and primary mediastinal large B cell lymphoma, cases with overlapping features between nodular lymphocyte predominant Hodgkin lymphoma and T-cell/histiocyte-rich large B cell lymphoma, CHL, and Epstein-Barr-virus-positive lymphoproliferative disorders, and peripheral T cell lymphomas simulating CHL. A second group of gray-zone lymphomas includes B cell NHL with intermediate features between diffuse large B cell lymphoma and classical Burkitt lymphoma. In order to review controversial issues in gray-zone lymphomas, a joint Workshop of the European Association for Hematopathology and the Society for Hematopathology was held in Bordeaux, France, in September 2008. The panel members reviewed and discussed 145 submitted cases and reached consensus diagnoses. This Workshop summary is focused on the most controversial aspects of gray-zone lymphomas and describes the panel's proposals regarding diagnostic criteria, terminology, and new prognostic and diagnostic parameters.

摘要

“灰色地带”淋巴瘤这一术语用于指代一组在组织学、生物学和临床特征上介于各类淋巴瘤之间且相互重叠的淋巴瘤。它被用于霍奇金淋巴瘤(HL)和非霍奇金淋巴瘤(NHL)的范畴,包括经典型霍奇金淋巴瘤(CHL)、原发性纵隔大B细胞淋巴瘤、结节性淋巴细胞为主型霍奇金淋巴瘤与富于T细胞/组织细胞的大B细胞淋巴瘤之间具有重叠特征的病例、CHL以及爱泼斯坦-巴尔病毒阳性淋巴增殖性疾病,还有模拟CHL的外周T细胞淋巴瘤。第二类灰色地带淋巴瘤包括具有弥漫性大B细胞淋巴瘤和经典伯基特淋巴瘤之间中间特征的B细胞NHL。为了回顾灰色地带淋巴瘤中的争议问题,欧洲血液病理学协会和血液病理学协会于2008年9月在法国波尔多联合举办了一次研讨会。专家组成员对提交的145例病例进行了回顾和讨论,并达成了共识诊断。本研讨会总结聚焦于灰色地带淋巴瘤最具争议的方面,并描述了专家组关于诊断标准、术语以及新的预后和诊断参数的提议。

https://cdn.ncbi.nlm.nih.gov/pmc/blobs/6f8a/2798939/f0caf561230f/12308_2009_53_Fig1_HTML.jpg

文献AI研究员

20分钟写一篇综述,助力文献阅读效率提升50倍。

立即体验

用中文搜PubMed

大模型驱动的PubMed中文搜索引擎

马上搜索

文档翻译

学术文献翻译模型,支持多种主流文档格式。

立即体验