Suppr超能文献

大鼠心脏脂肪酸结合蛋白定位与个体发生的免疫组织化学研究

Immunohistochemical studies on the localisation and ontogeny of heart fatty acid binding protein in the rat.

作者信息

Watanabe M, Ono T, Kondo H

机构信息

Department of Anatomy, School of Medicine, Tohoku University, Sendai, Japan.

出版信息

J Anat. 1991 Feb;174:81-95.

Abstract

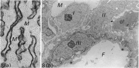
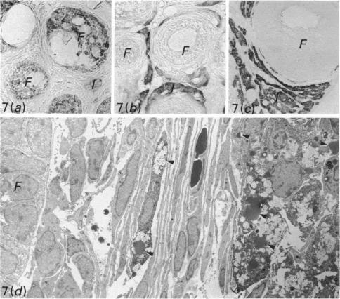
The localisation and ontogenic expression of heart fatty acid binding protein (H-FABP) were immunochemically examined in the entire body of the rat. In muscles, H-FABP immunoreactivity was observed not only in cardiac muscle cells but also in red skeletal muscles, where gold particles indicating the immunoreaction sites are distributed evenly in the sarcoplasm except for the interior of membranous organelles. In the urogenital system, the immunoreactivity was preferentially demonstrated in the distal tubular epithelial cells in the kidney, and in the superficial epithelial cells in the urinary bladder. The H-FABP immunoreactivity was further found in cells characterised by numerous lipid droplets, such as interstitial cells of the theca interna in the ovary and those of Leydig in the testis, and cell Element III in the placenta. In the digestive system, parietal cells in the stomach and pancreatic beta-cells were immunoreactive to H-FABP. In addition, capillary endothelial cells were immunostained in the cardiac and red skeletal muscles, the exocrine pancreas, digestive tract and thymus. From the rather wide distribution of H-FABP, it is suggested that H-FABP plays some fundamental roles in the active metabolism of fatty acids in the body. The present findings also indicate that H-FABP is a useful marker for the morphological study of interstitial cells in the ovary and testis and parietal cells in the stomach.

摘要

采用免疫化学方法对大鼠全身心脏脂肪酸结合蛋白(H-FABP)的定位及个体发生表达进行了研究。在肌肉中,不仅在心肌细胞中观察到H-FABP免疫反应性,在红色骨骼肌中也观察到了,除膜性细胞器内部外,表明免疫反应位点的金颗粒均匀分布于肌浆中。在泌尿生殖系统中,免疫反应性优先出现在肾脏远曲小管上皮细胞和膀胱表层上皮细胞中。在以大量脂滴为特征的细胞中也进一步发现了H-FABP免疫反应性,如卵巢内泡膜间质细胞、睾丸间质细胞以及胎盘的细胞成分III。在消化系统中,胃壁细胞和胰腺β细胞对H-FABP呈免疫反应性。此外,在心肌、红色骨骼肌、外分泌胰腺、消化道和胸腺的毛细血管内皮细胞也被免疫染色。鉴于H-FABP分布相当广泛,提示其在机体脂肪酸的活跃代谢中发挥着某些基本作用。本研究结果还表明,H-FABP是卵巢和睾丸间质细胞以及胃壁细胞形态学研究的有用标志物。

https://cdn.ncbi.nlm.nih.gov/pmc/blobs/8365/1256044/d8bee80ee95d/janat00036-0093-a.jpg

文献检索

告别复杂PubMed语法,用中文像聊天一样搜索,搜遍4000万医学文献。AI智能推荐,让科研检索更轻松。

立即免费搜索

文件翻译

保留排版,准确专业,支持PDF/Word/PPT等文件格式,支持 12+语言互译。

免费翻译文档

深度研究

AI帮你快速写综述,25分钟生成高质量综述,智能提取关键信息,辅助科研写作。

立即免费体验