• 文献检索
  • 文档翻译
  • 深度研究
  • 学术资讯
  • Suppr Zotero 插件Zotero 插件
  • 邀请有礼
  • 套餐&价格
  • 历史记录
应用&插件
Suppr Zotero 插件Zotero 插件浏览器插件Mac 客户端Windows 客户端微信小程序
定价
高级版会员购买积分包购买API积分包
服务
文献检索文档翻译深度研究API 文档MCP 服务
关于我们
关于 Suppr公司介绍联系我们用户协议隐私条款
关注我们

Suppr 超能文献

核心技术专利:CN118964589B侵权必究
粤ICP备2023148730 号-1Suppr @ 2026

文献检索

告别复杂PubMed语法,用中文像聊天一样搜索,搜遍4000万医学文献。AI智能推荐,让科研检索更轻松。

立即免费搜索

文件翻译

保留排版,准确专业,支持PDF/Word/PPT等文件格式,支持 12+语言互译。

免费翻译文档

深度研究

AI帮你快速写综述,25分钟生成高质量综述,智能提取关键信息,辅助科研写作。

立即免费体验

在一位生长抑素抵抗性血管活性肠肽瘤患者中,经肝动脉化疗栓塞治疗后症状改善,VIP 水平降低。

Amelioration of symptoms and reduction of VIP levels after hepatic artery chemoembolization in a patient with sandostatin resistant VIPoma.

机构信息

Hospital of Saint Raphael, New Haven, Connecticut, USA.

出版信息

Yale J Biol Med. 2010 Mar;83(1):27-33.

PMID:20351979
原文链接:https://pmc.ncbi.nlm.nih.gov/articles/PMC2844690/
Abstract

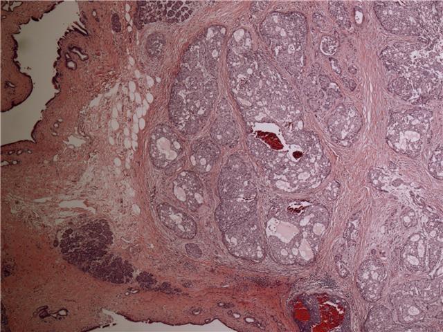
Vasoactive intestinal polypeptide secreting islet cell tumors (VIPomas) are neuroendocrine tumors that secrete excessive amounts of vasoactive intestinal polypeptide (VIP) that cause distinct syndromes characterized by large-volume diarrhea, hypokalemia, and dehydration. The annual incidence of these tumors is estimated to be about one per 10,000,000 individuals in the general population. We report a successful treatment of VIPoma with hepatic chemoembolization of a metastatic hepatic lesion evidenced by a reduction of VIP levels and resolutions of symptoms in a patient with pancreatic VIPoma unresponsive to increased doses of an octreotide analog.

摘要

分泌血管活性肠肽的胰岛细胞瘤(VIPomas)是一种神经内分泌肿瘤,其过度分泌血管活性肠肽(VIP),导致具有特征性的大量腹泻、低钾血症和脱水的综合征。这些肿瘤的年发病率估计在普通人群中约为每 1000 万人中有 1 例。我们报告了一例肝转移病灶的肝动脉化疗栓塞术成功治疗 VIPoma 的病例,VIP 水平降低,并且对奥曲肽类似物增加剂量无反应的胰VIP 瘤患者的症状得到缓解。

https://cdn.ncbi.nlm.nih.gov/pmc/blobs/d178/2844690/577f1bca021f/yjbm_83_1_27_g03.jpg
https://cdn.ncbi.nlm.nih.gov/pmc/blobs/d178/2844690/21bb2164df93/yjbm_83_1_27_g01.jpg
https://cdn.ncbi.nlm.nih.gov/pmc/blobs/d178/2844690/830dd9632619/yjbm_83_1_27_g02.jpg
https://cdn.ncbi.nlm.nih.gov/pmc/blobs/d178/2844690/577f1bca021f/yjbm_83_1_27_g03.jpg
https://cdn.ncbi.nlm.nih.gov/pmc/blobs/d178/2844690/21bb2164df93/yjbm_83_1_27_g01.jpg
https://cdn.ncbi.nlm.nih.gov/pmc/blobs/d178/2844690/830dd9632619/yjbm_83_1_27_g02.jpg
https://cdn.ncbi.nlm.nih.gov/pmc/blobs/d178/2844690/577f1bca021f/yjbm_83_1_27_g03.jpg

相似文献

1
Amelioration of symptoms and reduction of VIP levels after hepatic artery chemoembolization in a patient with sandostatin resistant VIPoma.在一位生长抑素抵抗性血管活性肠肽瘤患者中,经肝动脉化疗栓塞治疗后症状改善,VIP 水平降低。
Yale J Biol Med. 2010 Mar;83(1):27-33.
2
Vasoactive intestinal polypeptide-secreting tumor (VIPoma) with liver metastases: dramatic and durable symptomatic benefit from hepatic artery embolization, a case report.伴有肝转移的血管活性肠肽分泌瘤(VIPoma):肝动脉栓塞术带来显著且持久的症状改善,病例报告
Med Oncol. 2002;19(3):181-7. doi: 10.1385/MO:19:3:181.
3
Sporadic pancreatic vasoactive intestinal peptide-producing tumor (VIPoma) in a 47-year-old male.一名47岁男性的散发性胰腺血管活性肠肽瘤(VIPoma)。
Hematol Oncol Stem Cell Ther. 2014 Sep;7(3):109-15. doi: 10.1016/j.hemonc.2014.03.002. Epub 2014 Apr 29.
4
[Vipoma in an adolescent: treatment with a delayed-action somatostatin analog, octreotide or SMS 201-995, and surgical removal].[青少年血管活性肠肽瘤:使用长效生长抑素类似物奥曲肽或SMS 201-995治疗及手术切除]
Acta Gastroenterol Belg. 1990 Mar-Apr;53(2):188-97.
5
Diagnosis and treatment of VIPoma in a female patient.一名女性患者血管活性肠肽瘤的诊断与治疗
Eur J Gastroenterol Hepatol. 2006 Jan;18(1):93-9. doi: 10.1097/00042737-200601000-00017.
6
Clinicopathological data and treatment modalities for pancreatic vipomas: a systematic review.胰腺血管活性肠肽瘤的临床病理数据及治疗方式:一项系统评价
J BUON. 2019 Mar-Apr;24(2):415-423.
7
VIPoma with expression of both VIP and VPAC1 receptors in a patient with WDHA syndrome.WDHA综合征患者中同时表达血管活性肠肽(VIP)和血管活性肠肽1型受体(VPAC1)的血管活性肠肽瘤
Endocrine. 2009 Apr;35(2):143-6. doi: 10.1007/s12020-009-9146-6. Epub 2009 Jan 30.
8
[Vasoactive polypeptide-producing pancreatic carcinoma].[产生血管活性多肽的胰腺癌]
Orv Hetil. 1995 Sep 10;136(37):2009-11.
9
Percutaneous Irreversible Electroporation for Pancreatic VIPoma: A Case Report.经皮不可逆电穿孔治疗胰腺血管活性肠肽瘤:病例报告
Pancreas. 2017 Jan;46(1):135-137. doi: 10.1097/MPA.0000000000000698.
10
Surgical treatment of pancreatic cholera: a case report.胰腺霍乱的外科治疗:一例报告。
Can J Surg. 1996 Apr;39(2):155-8.

引用本文的文献

1
Prevalence of Diagnostic Methods and Treatment Modalities in Vipoma Patients: A Rare Cause of Hormone-Mediated Diarrhea.血管活性肠肽瘤患者的诊断方法和治疗方式的患病率:激素介导性腹泻的罕见病因
Indian J Endocrinol Metab. 2019 May-Jun;23(3):318-325. doi: 10.4103/ijem.IJEM_105_19.
2
Treatment of symptomatic neuroendocrine tumor syndromes: recent advances and controversies.有症状神经内分泌肿瘤综合征的治疗:最新进展与争议
Expert Opin Pharmacother. 2016 Nov;17(16):2191-2205. doi: 10.1080/14656566.2016.1236916. Epub 2016 Sep 23.
3
Surgical resection of vasoactive intestinal peptideoma with hepatic metastasis aids symptom palliation: A case report.

本文引用的文献

1
Surgery and radiofrequency ablation for treatment of liver metastases from midgut and foregut carcinoids and endocrine pancreatic tumors.手术及射频消融治疗中肠和前肠类癌及内分泌胰腺肿瘤的肝转移灶。
World J Surg. 2008 May;32(5):930-8. doi: 10.1007/s00268-008-9510-3.
2
Treatment with combined streptozotocin and liposomal doxorubicin in metastatic endocrine pancreatic tumors.联合链脲佐菌素和脂质体阿霉素治疗转移性内分泌胰腺肿瘤。
Neuroendocrinology. 2008;88(1):53-8. doi: 10.1159/000117575. Epub 2008 Feb 18.
3
The place of somatostatin analogs in the diagnosis and treatment of the neuoroendocrine glands tumors.
手术切除伴有肝转移的血管活性肠肽瘤有助于缓解症状:一例报告
Exp Ther Med. 2016 Mar;11(3):783-787. doi: 10.3892/etm.2016.3019. Epub 2016 Jan 22.
生长抑素类似物在神经内分泌肿瘤诊断和治疗中的地位。
Recent Pat Anticancer Drug Discov. 2006 Jun;1(2):237-54. doi: 10.2174/157489206777442197.
4
Temozolomide as monotherapy is effective in treatment of advanced malignant neuroendocrine tumors.替莫唑胺单药治疗对晚期恶性神经内分泌肿瘤有效。
Clin Cancer Res. 2007 May 15;13(10):2986-91. doi: 10.1158/1078-0432.CCR-06-2053.
5
Surgery on neuroendocrine tumours.神经内分泌肿瘤手术
Best Pract Res Clin Endocrinol Metab. 2007 Mar;21(1):87-109. doi: 10.1016/j.beem.2006.12.004.
6
Hepatic arterial embolization and chemoembolization for the treatment of patients with metastatic neuroendocrine tumors: variables affecting response rates and survival.肝动脉栓塞和化疗栓塞治疗转移性神经内分泌肿瘤患者:影响缓解率和生存率的变量
Cancer. 2005 Oct 15;104(8):1590-602. doi: 10.1002/cncr.21389.
7
[Jejunal vipoma].空肠血管活性肠肽瘤
Gastroenterol Clin Biol. 2004 Aug-Sep;28(8-9):797-800. doi: 10.1016/s0399-8320(04)95130-5.
8
Diagnosis and treatment of VIPoma in China: (case report and 31 cases review) diagnosis and treatment of VIPoma.中国血管活性肠肽瘤的诊断与治疗:(病例报告及31例病例回顾)血管活性肠肽瘤的诊断与治疗
Pancreas. 2004 Jan;28(1):93-7. doi: 10.1097/00006676-200401000-00015.
9
Vasoactive intestinal polypeptide-secreting tumor (VIPoma) with liver metastases: dramatic and durable symptomatic benefit from hepatic artery embolization, a case report.伴有肝转移的血管活性肠肽分泌瘤(VIPoma):肝动脉栓塞术带来显著且持久的症状改善,病例报告
Med Oncol. 2002;19(3):181-7. doi: 10.1385/MO:19:3:181.
10
Chemotherapy and biotherapy in the treatment of neuroendocrine tumours.化疗和生物疗法在神经内分泌肿瘤治疗中的应用
Ann Oncol. 2001;12 Suppl 2:S111-4. doi: 10.1093/annonc/12.suppl_2.s111.