Suppr超能文献

Characterization of the molecular basis of the alpha 1-antitrypsin F allele.

作者信息

Okayama H, Brantly M, Holmes M, Crystal R G

机构信息

Pulmonary Branch, National Heart, Lung, and Blood Institute, National Institutes of Health, Bethesda, MD 20892.

出版信息

Am J Hum Genet. 1991 Jun;48(6):1154-8.

Abstract

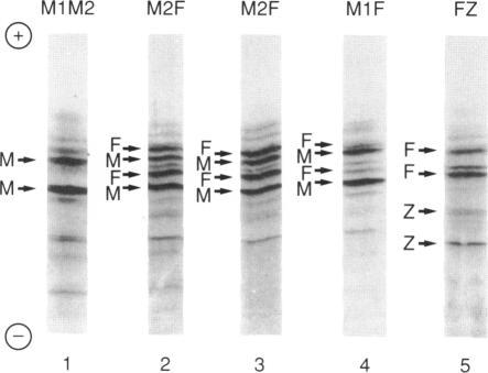
alpha 1-Antitrypsin (alpha 1AT), the major serum inhibitor of neutrophil elastase, is a highly polymorphic serum protein associated with characteristic isoelectric-focusing (IEF) patterns for most variants. To characterize the molecular basis of the anodal F variant, the DNA sequence of the coding exons of an FZ individual was determined. The F allele differed from the normal M1(Val213) alpha 1AT allele by a single nucleotide transversion of cytosine to thymidine, which results in the amino acid substitution Arg223 CGT----Cys TGT. Inheritance of the F mutation was confirmed by family analysis using allele-specific amplification. In the context that the normal alpha 1AT molecule has only one cysteine residue, a mutation resulting in the addition of a second cysteine may influence the three-dimensional form of the protein and/or permit interaction with other plasma proteins with free-SH groups and may be responsible for the observation that the major F alpha 1AT bands often migrate as doublets in IEF gels.

摘要
https://cdn.ncbi.nlm.nih.gov/pmc/blobs/10e6/1683089/ac6d3c4bf06a/ajhg00090-0141-a.jpg

文献检索

告别复杂PubMed语法,用中文像聊天一样搜索,搜遍4000万医学文献。AI智能推荐,让科研检索更轻松。

立即免费搜索

文件翻译

保留排版,准确专业,支持PDF/Word/PPT等文件格式,支持 12+语言互译。

免费翻译文档

深度研究

AI帮你快速写综述,25分钟生成高质量综述,智能提取关键信息,辅助科研写作。

立即免费体验