Suppr超能文献

右束支传导阻滞的结构原因——值得深入研究?

Structural causes of right bundle branch block-time for a closer look?

作者信息

Ker James

机构信息

Department of Physiology, University of Pretoria, Pretoria, South Africa, PO Box 24318, Gesina, Pretoria, South Africa, 0031.

出版信息

Open Cardiovasc Med J. 2010 Mar 9;4:105-9. doi: 10.2174/1874192401004010105.

Abstract

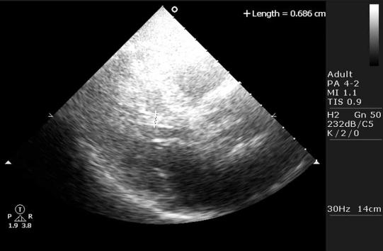
Right bundle branch block is an electrocardiographic phenomenon with specific criteria.Currently, two specific forms of right bundle branch block are acknowledged, a proximal and a distal variant. A vast array of pathologies can cause proximal, distal or even combined forms of right bundle branch block.IN THIS STUDY IT IS SUGGESTED THAT A THIRD TYPE OF RIGHT BUNDLE BRANCH BLOCK EXIST: one caused by a subaortic muscular tendon in the left ventricle, leading to an increased velocity of conduction in the left ventricle, with a resultant "relative" right bundle branch block. It is concluded that it is necessary (and time) to take a closer look at endoventricular structures in the assessment of structural causes of right bundle branch block.

摘要

右束支传导阻滞是一种具有特定标准的心电图现象。目前,公认右束支传导阻滞有两种特定形式,即近端型和远端型。大量病理情况可导致近端型、远端型甚至混合型右束支传导阻滞。本研究提示存在第三种类型的右束支传导阻滞:由左心室主动脉下肌性腱引起,导致左心室传导速度加快,继而出现“相对”性右束支传导阻滞。得出的结论是,在评估右束支传导阻滞的结构原因时,有必要(且时机已到)更仔细地观察心室内结构。

https://cdn.ncbi.nlm.nih.gov/pmc/blobs/186c/2852122/55eda513c156/TOCMJ-4-105_F1.jpg

文献AI研究员

20分钟写一篇综述,助力文献阅读效率提升50倍。

立即体验

用中文搜PubMed

大模型驱动的PubMed中文搜索引擎

马上搜索

文档翻译

学术文献翻译模型,支持多种主流文档格式。

立即体验