Department of Neonatology, Wilhelmina Children's Hospital, University Medical Center Utrecht, Utrecht, The Netherlands.
Neuroradiology. 2010 Jun;52(6):567-76. doi: 10.1007/s00234-010-0698-1.
In recent years, intracranial hemorrhage (ICH) with parenchymal involvement has been diagnosed more often in full-term neonates due to improved neuroimaging techniques. The aim of this study is to describe clinical and neuroimaging data in the neonatal period and relate imaging findings to outcome in a hospital-based population admitted to a level 3 neonatal intensive care unit (NICU).
From our neuroimaging database, we retrospectively retrieved records and images of 53 term infants (1991-2008) in whom an imaging diagnosis of ICH with parenchymal involvement was made. Clinical data, including mode of delivery, clinical manifestations, neurological symptoms, extent and site of hemorrhage, neurosurgical intervention, and neurodevelopmental outcomes, were recorded.
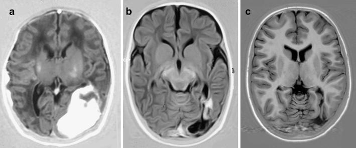
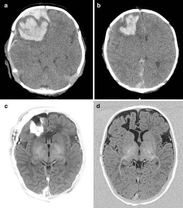
Seventeen of the 53 term infants had infratentorial ICH, 20 had supratentorial ICH, and 16 had a combination of the two. Seizures were the most common presenting symptom (71.7%), another ten infants (18.9%) presented with apneic seizures, and five infants had no clinical signs but were admitted to our NICU because of perinatal asphyxia (n=2), respiratory distress (n=2), and development of posthemorrhagic ventricular dilatation (n=1). Continuous amplitude-integrated electroencephalography recordings were performed in all infants. Clinical or subclinical seizures were seen in 48/53 (90.6%) infants; all received anti-epileptic drugs. Thirteen of all 53 (24.5%) infants died. The lowest mortality rate was seen in infants with supratentorial ICH (10%). Three infants with a midline shift required craniotomy, six infants needed a subcutaneous reservoir due to outflow obstruction, and three subsequently required a ventriculoperitoneal shunt. The group with poor outcome (death or developmental quotient (DQ) <85) had a significantly lower 5-min Apgar score (p=.006). Follow-up data were available for 37/40 survivors aged at least 15 months. Patients were assessed with the Griffiths Mental Developmental Scales, and the mean DQ of all survivors was 97 (SD=12). Six infants (17%) had a DQ below 85 [two of them had cerebral palsy (CP)]. Three infants developed CP (8.6%); one had cerebellar ataxia, and two had hemiplegia.
ICH with parenchymal involvement carries a risk of adverse neurological sequelae with a mortality of 24.5% and development of CP in 8.6%. The high mortality rate could partly be explained by associated perinatal asphyxia. Infants with supratentorial ICH had a lower, although not significant, mortality rate compared with infants with infratentorial ICH and infants with a combination of supratentorial ICH and infratentorial ICH. In spite of often large intraparenchymal lesions, 30 of the 34 survivors without CP (88.2%) had normal neurodevelopmental outcome at 15 months.
近年来,由于神经影像学技术的提高,在足月新生儿中更常诊断出伴有实质受累的颅内出血(ICH)。本研究的目的是描述在接受三级新生儿重症监护病房(NICU)治疗的基于医院人群的新生儿期的临床和神经影像学数据,并将影像学结果与结局相关联。
我们从神经影像学数据库中回顾性地检索了 53 例足月婴儿(1991-2008 年)的记录和图像,这些婴儿的影像学诊断为伴有实质受累的 ICH。记录了临床数据,包括分娩方式、临床表现、神经系统症状、出血的范围和部位、神经外科干预以及神经发育结局。
53 例足月婴儿中,17 例为幕下 ICH,20 例为幕上 ICH,16 例为两者兼有。癫痫发作是最常见的首发症状(71.7%),另有 10 例婴儿(18.9%)表现为呼吸暂停性癫痫发作,5 例婴儿无临床症状,但因围产期窒息(n=2)、呼吸窘迫(n=2)和出血后出现脑室扩张(n=1)而被收治入院。所有婴儿均进行连续振幅整合脑电图记录。53 例婴儿中有 48/53(90.6%)出现临床或亚临床癫痫发作,均接受了抗癫痫药物治疗。所有 53 例婴儿中有 13 例(24.5%)死亡。幕上 ICH 婴儿的死亡率最低(10%)。3 例中线移位婴儿需要开颅手术,6 例因流出道梗阻需要皮下储液器,随后 3 例需要脑室-腹腔分流术。预后不良(死亡或发育商(DQ)<85)的组的 5 分钟 Apgar 评分明显较低(p=.006)。至少 15 个月龄的 40 例存活婴儿的随访数据可用。使用 Griffiths 精神发育量表对患儿进行评估,所有幸存者的平均 DQ 为 97(SD=12)。6 例婴儿(17%)的 DQ 低于 85[其中 2 例患有脑瘫(CP)]。3 例婴儿(8.6%)患有 CP,其中 1 例患有小脑共济失调,2 例患有偏瘫。
伴有实质受累的 ICH 存在不良神经后遗症的风险,死亡率为 24.5%,脑瘫发生率为 8.6%。高死亡率部分可归因于相关的围产期窒息。与幕下 ICH 婴儿和幕上 ICH 与幕下 ICH 并存婴儿相比,幕上 ICH 婴儿的死亡率较低,尽管无统计学意义。尽管常有较大的脑实质病变,但 34 例无 CP 的幸存者中有 30 例(88.2%)在 15 个月时神经发育结局正常。