• 文献检索
  • 文档翻译
  • 深度研究
  • 学术资讯
  • Suppr Zotero 插件Zotero 插件
  • 邀请有礼
  • 套餐&价格
  • 历史记录
应用&插件
Suppr Zotero 插件Zotero 插件浏览器插件Mac 客户端Windows 客户端微信小程序
定价
高级版会员购买积分包购买API积分包
服务
文献检索文档翻译深度研究API 文档MCP 服务
关于我们
关于 Suppr公司介绍联系我们用户协议隐私条款
关注我们

Suppr 超能文献

核心技术专利:CN118964589B侵权必究
粤ICP备2023148730 号-1Suppr @ 2026

文献检索

告别复杂PubMed语法,用中文像聊天一样搜索,搜遍4000万医学文献。AI智能推荐,让科研检索更轻松。

立即免费搜索

文件翻译

保留排版,准确专业,支持PDF/Word/PPT等文件格式,支持 12+语言互译。

免费翻译文档

深度研究

AI帮你快速写综述,25分钟生成高质量综述,智能提取关键信息,辅助科研写作。

立即免费体验

鞘内注射白三烯 B4 通过刺激致敏大鼠 HPA 轴的 BLT1 受体减轻抗原诱导的哮喘反应。

Intracerebroventricular injection of leukotriene B4 attenuates antigen-induced asthmatic response via BLT1 receptor stimulating HPA-axis in sensitized rats.

机构信息

Zhejiang Respiratory Drugs Research Laboratory of State Food and Drug Administration of China, Medical Science College of Zhejiang University, Hangzhou, China.

出版信息

Respir Res. 2010 Apr 20;11(1):39. doi: 10.1186/1465-9921-11-39.

DOI:10.1186/1465-9921-11-39
PMID:20403205
原文链接:https://pmc.ncbi.nlm.nih.gov/articles/PMC2865448/
Abstract

BACKGROUND

Basic and clinical studies suggest that hypothalamic-pituitary-adrenal (HPA) axis is the neuroendocrine-immune pathway that functionally regulates the chronic inflammatory disease including asthma. Our previous studies showed corresponding changes of cytokines and leukotriene B4 (LTB4) between brain and lung tissues in antigen-challenged asthmatic rats. Here, we investigated how the increased LTB4 level in brain interacts with HPA axis in regulating antigen-induced asthmatic response in sensitized rats.

METHODS

Ovalbumin-sensitized rats were challenged by inhalation of antigen. Rats received vehicle, LTB4 or U75302 (a selective LTB4 BLT1 receptor inhibitor) was given via intracerebroventricular injection (i.c.v) 30 min before challenge. Lung resistance (RL) and dynamic lung compliance (Cdyn) were measured before and after antigen challenge. Inflammatory response in lung tissue was assessed 24 h after challenge. Expression of CRH mRNA and protein in hypothalamus were evaluated by RT-PCR and Western Blot, and plasma levels of adrenocorticotropic hormone (ACTH) and corticosterone (CORT) were measured using the ELISA kits.

RESULTS

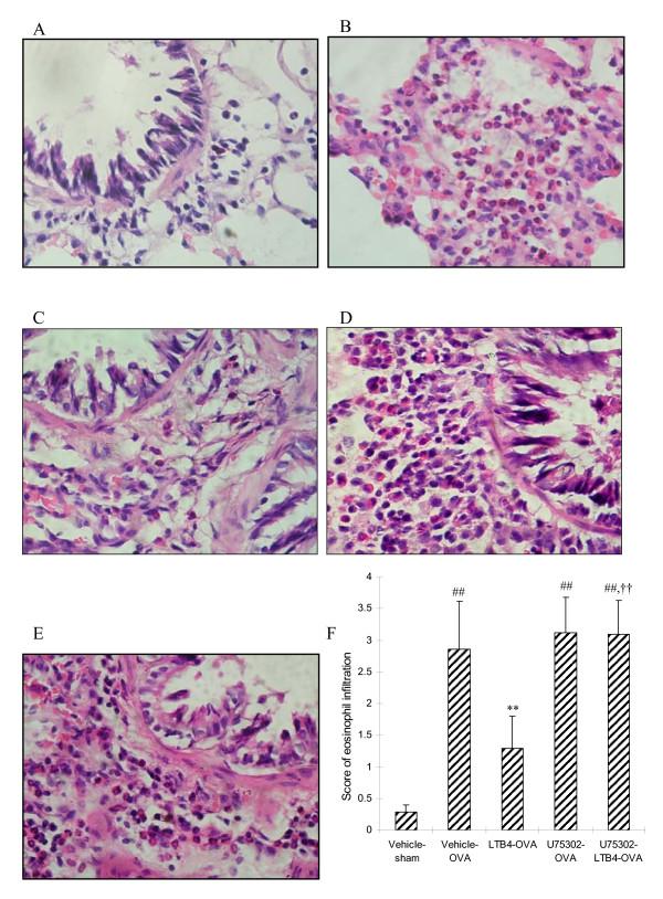
Antigen challenge decreased pulmonary function and induced airway inflammation, evoked HPA axis response in sensitized rats. Administration of LTB4 via i.c.v markedly attenuated airway contraction and inflammation. Meanwhile, LTB4 via i.c.v markedly increased CORT and ACTH level in plasma before antigen challenge, and followed by further increases in CORT and ACTH levels in plasma after antigen challenge in sensitized rats. Expression of CRH mRNA and protein in hypothalamus were also significantly increased by LTB4 via i.c.v in sensitized rats after antigen challenge. These effect were completely blocked by pre-treatment with BLT1 receptor antagonist U75302 (10 ng), but not by BLT2 antagonist LY255283.

CONCLUSIONS

LTB4 administered via i.c.v down-regulates the airway contraction response and inflammation through activation of the HPA axis via its BLT1 receptor. This study expands our concept of the regulatory role of intracranial inflammatory mediators in inflammatory diseases including asthma. The favourable effects of LTB4 on the HPA axis may help to explain the phenomenon of self-relief after an asthmatic attack.

摘要

背景

基础和临床研究表明,下丘脑-垂体-肾上腺(HPA)轴是一种神经内分泌免疫途径,可调节包括哮喘在内的慢性炎症性疾病。我们之前的研究表明,在抗原攻击的哮喘大鼠中,大脑和肺组织之间的细胞因子和白三烯 B4(LTB4)会发生相应变化。在这里,我们研究了大脑中增加的 LTB4 水平如何与 HPA 轴相互作用,从而调节致敏大鼠中抗原诱导的哮喘反应。

方法

卵清蛋白致敏大鼠通过吸入抗原进行攻击。在攻击前 30 分钟,大鼠通过脑室内注射(i.c.v)接受载体、LTB4 或 U75302(一种选择性 LTB4 BLT1 受体抑制剂)。在抗原攻击前后测量肺阻力(RL)和动态肺顺应性(Cdyn)。在攻击后 24 小时评估肺组织中的炎症反应。通过 RT-PCR 和 Western Blot 评估下丘脑 CRH mRNA 和蛋白的表达,使用 ELISA 试剂盒测量血浆中促肾上腺皮质激素(ACTH)和皮质酮(CORT)的水平。

结果

抗原攻击降低了肺功能并诱导了气道炎症,引发了致敏大鼠的 HPA 轴反应。通过 i.c.v 给予 LTB4 可明显减轻气道收缩和炎症。同时,LTB4 通过 i.c.v 显著增加了致敏大鼠抗原攻击前的血浆皮质醇和 ACTH 水平,随后在致敏大鼠抗原攻击后进一步增加了血浆皮质醇和 ACTH 水平。LTB4 通过 i.c.v 还显著增加了致敏大鼠抗原攻击后下丘脑 CRH mRNA 和蛋白的表达。这些作用完全被 BLT1 受体拮抗剂 U75302(10 ng)预处理阻断,但不是由 BLT2 拮抗剂 LY255283 阻断。

结论

通过 i.c.v 给予 LTB4 通过其 BLT1 受体激活 HPA 轴,下调气道收缩反应和炎症。本研究扩展了我们对包括哮喘在内的炎症性疾病中颅内炎症介质调节作用的认识。LTB4 对 HPA 轴的有利影响可能有助于解释哮喘发作后自我缓解的现象。

https://cdn.ncbi.nlm.nih.gov/pmc/blobs/c081/2865448/ca5a919d197f/1465-9921-11-39-5.jpg
https://cdn.ncbi.nlm.nih.gov/pmc/blobs/c081/2865448/fd762bd8c9bb/1465-9921-11-39-1.jpg
https://cdn.ncbi.nlm.nih.gov/pmc/blobs/c081/2865448/f6105a664a58/1465-9921-11-39-2.jpg
https://cdn.ncbi.nlm.nih.gov/pmc/blobs/c081/2865448/dfdac3bbfb1d/1465-9921-11-39-3.jpg
https://cdn.ncbi.nlm.nih.gov/pmc/blobs/c081/2865448/5b7e9f94e38f/1465-9921-11-39-4.jpg
https://cdn.ncbi.nlm.nih.gov/pmc/blobs/c081/2865448/ca5a919d197f/1465-9921-11-39-5.jpg
https://cdn.ncbi.nlm.nih.gov/pmc/blobs/c081/2865448/fd762bd8c9bb/1465-9921-11-39-1.jpg
https://cdn.ncbi.nlm.nih.gov/pmc/blobs/c081/2865448/f6105a664a58/1465-9921-11-39-2.jpg
https://cdn.ncbi.nlm.nih.gov/pmc/blobs/c081/2865448/dfdac3bbfb1d/1465-9921-11-39-3.jpg
https://cdn.ncbi.nlm.nih.gov/pmc/blobs/c081/2865448/5b7e9f94e38f/1465-9921-11-39-4.jpg
https://cdn.ncbi.nlm.nih.gov/pmc/blobs/c081/2865448/ca5a919d197f/1465-9921-11-39-5.jpg

相似文献

1
Intracerebroventricular injection of leukotriene B4 attenuates antigen-induced asthmatic response via BLT1 receptor stimulating HPA-axis in sensitized rats.鞘内注射白三烯 B4 通过刺激致敏大鼠 HPA 轴的 BLT1 受体减轻抗原诱导的哮喘反应。
Respir Res. 2010 Apr 20;11(1):39. doi: 10.1186/1465-9921-11-39.
2
Leukotriene B4, administered via intracerebroventricular injection, attenuates the antigen-induced asthmatic response in sensitized guinea pigs.白三烯 B4 通过脑室内注射给药,可减轻致敏豚鼠的抗原诱导的哮喘反应。
J Neuroinflammation. 2010 Feb 11;7:12. doi: 10.1186/1742-2094-7-12.
3
Blocking the leukotriene B4 receptor 1 inhibits late-phase airway responses in established disease.阻断白三烯 B4 受体 1 可抑制已建立疾病的晚期气道反应。
Am J Respir Cell Mol Biol. 2011 Oct;45(4):851-7. doi: 10.1165/rcmb.2010-0455OC. Epub 2011 Mar 18.
4
Alterations in hypothalamic-pituitary-adrenal axis activity and in levels of proopiomelanocortin and corticotropin-releasing hormone-receptor 1 mRNAs in the pituitary and hypothalamus of the rat during chronic 'binge' cocaine and withdrawal.慢性“暴饮暴食”可卡因及戒断期间大鼠下丘脑 - 垂体 - 肾上腺轴活动以及垂体和下丘脑内阿片促黑素皮质素原和促肾上腺皮质激素释放激素受体1 mRNA水平的变化。
Brain Res. 2003 Feb 28;964(2):187-99. doi: 10.1016/s0006-8993(02)03929-x.
5
EETs Attenuate Ox-LDL-Induced LTB4 Production and Activity by Inhibiting p38 MAPK Phosphorylation and 5-LO/BLT1 Receptor Expression in Rat Pulmonary Arterial Endothelial Cells.环氧二十碳三烯酸通过抑制大鼠肺动脉内皮细胞中p38丝裂原活化蛋白激酶磷酸化以及5-脂氧合酶/白三烯B4受体1表达,减轻氧化型低密度脂蛋白诱导的白三烯B4生成及活性。
PLoS One. 2015 Jun 2;10(6):e0128278. doi: 10.1371/journal.pone.0128278. eCollection 2015.
6
Acute glucocorticoid pretreatment suppresses stress-induced hypothalamic-pituitary-adrenal axis hormone secretion and expression of corticotropin-releasing hormone hnRNA but does not affect c-fos mRNA or fos protein expression in the paraventricular nucleus of the hypothalamus.急性糖皮质激素预处理可抑制应激诱导的下丘脑-垂体-肾上腺轴激素分泌及促肾上腺皮质激素释放激素hnRNA的表达,但不影响下丘脑室旁核中c-fos mRNA或fos蛋白的表达。
J Neuroendocrinol. 2003 Nov;15(11):1075-83. doi: 10.1046/j.1365-2826.2003.01100.x.
7
Leukotriene B4 receptor BLT2 negatively regulates allergic airway eosinophilia.白三烯 B4 受体 BLT2 负向调节过敏性气道嗜酸性粒细胞增多。
FASEB J. 2013 Aug;27(8):3306-14. doi: 10.1096/fj.12-217000. Epub 2013 Apr 19.
8
Centrally administered murine-leptin stimulates the hypothalamus-pituitary- adrenal axis through arginine-vasopressin.中枢给予的小鼠瘦素通过精氨酸加压素刺激下丘脑-垂体-肾上腺轴。
Neuroendocrinology. 2000 Jun;71(6):366-74. doi: 10.1159/000054557.
9
Central 5-alpha reduction of testosterone is required for testosterone's inhibition of the hypothalamo-pituitary-adrenal axis response to restraint stress in adult male rats.睾酮的中枢 5-α 还原对于睾酮抑制成年雄性大鼠束缚应激时下丘脑-垂体-肾上腺轴反应是必需的。
Brain Res. 2013 Sep 5;1529:74-82. doi: 10.1016/j.brainres.2013.07.021. Epub 2013 Jul 21.
10
Substance P is involved in terminating the hypothalamo- pituitary-adrenal axis response to acute stress through centrally located neurokinin-1 receptors.P物质通过位于中枢的神经激肽-1受体参与终止下丘脑-垂体-肾上腺轴对急性应激的反应。
Stress. 2000 May;3(3):209-20. doi: 10.3109/10253890009001125.

引用本文的文献

1
Paradoxical Effect of LTB on the Regulation of Stress-Induced Corticosterone Production.白三烯B4对压力诱导的皮质酮生成调节的反常效应
Front Behav Neurosci. 2019 Apr 16;13:73. doi: 10.3389/fnbeh.2019.00073. eCollection 2019.
2
Resolvin E1/E2 ameliorate lipopolysaccharide-induced depression-like behaviors via ChemR23.解析素 E1/E2 通过 ChemR23 改善脂多糖诱导的抑郁样行为。
Psychopharmacology (Berl). 2018 Jan;235(1):329-336. doi: 10.1007/s00213-017-4774-7. Epub 2017 Oct 31.

本文引用的文献

1
An update on the role of leukotrienes in asthma.哮喘中白三烯作用的最新研究进展。
Curr Opin Allergy Clin Immunol. 2010 Feb;10(1):60-6. doi: 10.1097/ACI.0b013e32833489c3.
2
Infection, immunity and the neuroendocrine response.感染、免疫与神经内分泌反应。
Vet Immunol Immunopathol. 2009 Aug 15;130(3-4):141-62. doi: 10.1016/j.vetimm.2009.01.013. Epub 2009 Feb 4.
3
Neuroimmune regulation in immunocompetence, acute illness, and healing.免疫能力、急性疾病及愈合过程中的神经免疫调节
Ann N Y Acad Sci. 2009 Feb;1153:220-39. doi: 10.1111/j.1749-6632.2008.03975.x.
4
Dysregulation of the stress response in asthmatic children.哮喘儿童应激反应失调。
Allergy. 2009 Jan;64(1):18-31. doi: 10.1111/j.1398-9995.2008.01948.x.
5
Oral administration of allergen extracts from Dermatophagoides farinae desensitizes specific allergen-induced inflammation and airway hyperresponsiveness in rats.经口给予粉尘螨变应原提取物可使大鼠特异性变应原诱导的炎症和气道高反应性脱敏。
Int Immunopharmacol. 2008 Dec 10;8(12):1639-45. doi: 10.1016/j.intimp.2008.07.015. Epub 2008 Aug 20.
6
Leukotrienes.白三烯
N Engl J Med. 2007 Nov 1;357(18):1841-54. doi: 10.1056/NEJMra071371.
7
Neurohormonal-cytokine interactions: implications for inflammation, common human diseases and well-being.神经激素-细胞因子相互作用:对炎症、常见人类疾病及健康的影响。
Neurochem Int. 2008 Jan;52(1-2):40-51. doi: 10.1016/j.neuint.2007.06.037. Epub 2007 Jul 10.
8
Nasal provocation of patients with allergic rhinitis and the hypothalamic-pituitary-adrenal axis.变应性鼻炎患者的鼻激发试验与下丘脑-垂体-肾上腺轴
Ann Allergy Asthma Immunol. 2007 Mar;98(3):269-73. doi: 10.1016/S1081-1206(10)60717-X.
9
Chemokines and chemokine receptors in the brain: implication in neuroendocrine regulation.大脑中的趋化因子与趋化因子受体:对神经内分泌调节的影响
J Mol Endocrinol. 2007 Mar;38(3):355-63. doi: 10.1677/JME-06-0035.
10
Protein hormones and immunity.蛋白质激素与免疫
Brain Behav Immun. 2007 May;21(4):384-92. doi: 10.1016/j.bbi.2006.11.010. Epub 2007 Jan 2.