• 文献检索
  • 文档翻译
  • 深度研究
  • 学术资讯
  • Suppr Zotero 插件Zotero 插件
  • 邀请有礼
  • 套餐&价格
  • 历史记录
应用&插件
Suppr Zotero 插件Zotero 插件浏览器插件Mac 客户端Windows 客户端微信小程序
定价
高级版会员购买积分包购买API积分包
服务
文献检索文档翻译深度研究API 文档MCP 服务
关于我们
关于 Suppr公司介绍联系我们用户协议隐私条款
关注我们

Suppr 超能文献

核心技术专利:CN118964589B侵权必究
粤ICP备2023148730 号-1Suppr @ 2026

文献检索

告别复杂PubMed语法,用中文像聊天一样搜索,搜遍4000万医学文献。AI智能推荐,让科研检索更轻松。

立即免费搜索

文件翻译

保留排版,准确专业,支持PDF/Word/PPT等文件格式,支持 12+语言互译。

免费翻译文档

深度研究

AI帮你快速写综述,25分钟生成高质量综述,智能提取关键信息,辅助科研写作。

立即免费体验

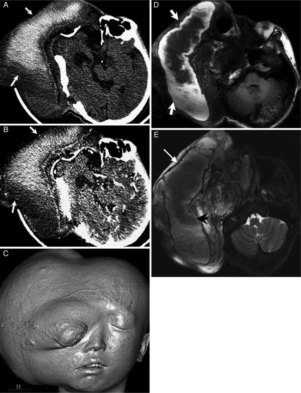
头面部巨大丛状神经纤维瘤伴出血的 CT 和 MRI 表现。

Giant plexiform neurofibroma with hemorrhage in cranio-maxillofacial region as depicted on CT and MRI.

机构信息

Department of Radiology, West China Hospital of Sichuan University, 37# Guo Xue Xiang, Chengdu, Sichuan 610041, China.

出版信息

Eur J Med Res. 2010 Feb 26;15(2):84-7. doi: 10.1186/2047-783x-15-2-84.

DOI:10.1186/2047-783x-15-2-84
PMID:20452890
原文链接:https://pmc.ncbi.nlm.nih.gov/articles/PMC3352051/
Abstract

Plexiform neurofibroma (PN) is a rare benign tumor and a special subtype of neurofibromatosis type 1 (NF1). Though the incidence is low, giant PN of the craniomaxillofacial region could result in severe hemifacial hypertrophy which is known as a typical manifestation of NF1 in young children. Here, we retrospectively reported a giant plexiform neurofibroma with hemorrhage in the cranio-maxillofacial region detected by CT and MRI. In addition, a brief review of the relevant literature is presented.

摘要

丛状神经纤维瘤(PN)是一种罕见的良性肿瘤,也是神经纤维瘤病 1 型(NF1)的特殊亚型。尽管发病率较低,但发生于颅颌面区域的巨大丛状神经纤维瘤可导致严重的半侧面部肥大,这是 NF1 在幼儿中的一个典型表现。在此,我们回顾性报告了一例 CT 和 MRI 检查发现的颅颌面区域巨大丛状神经纤维瘤伴出血病例,并对相关文献进行了简要复习。

https://cdn.ncbi.nlm.nih.gov/pmc/blobs/c7a7/3352051/f453daa425d3/2047-783X-15-2-84-2.jpg
https://cdn.ncbi.nlm.nih.gov/pmc/blobs/c7a7/3352051/cc80c3d8cf89/2047-783X-15-2-84-1.jpg
https://cdn.ncbi.nlm.nih.gov/pmc/blobs/c7a7/3352051/f453daa425d3/2047-783X-15-2-84-2.jpg
https://cdn.ncbi.nlm.nih.gov/pmc/blobs/c7a7/3352051/cc80c3d8cf89/2047-783X-15-2-84-1.jpg
https://cdn.ncbi.nlm.nih.gov/pmc/blobs/c7a7/3352051/f453daa425d3/2047-783X-15-2-84-2.jpg

相似文献

1
Giant plexiform neurofibroma with hemorrhage in cranio-maxillofacial region as depicted on CT and MRI.头面部巨大丛状神经纤维瘤伴出血的 CT 和 MRI 表现。
Eur J Med Res. 2010 Feb 26;15(2):84-7. doi: 10.1186/2047-783x-15-2-84.
2
Diagnostic delay of NF1 in hemifacial hypertrophy due to plexiform neurofibromas.因丛状神经纤维瘤导致半侧面部肥大的1型神经纤维瘤病的诊断延迟
Brain Dev. 2006 Jun;28(5):275-80. doi: 10.1016/j.braindev.2005.10.001. Epub 2006 Feb 14.
3
Endovascular embolization of spontaneous massive hemorrhage of a facial plexiform neurofibroma: case report and literature review.内镜下血管内栓塞治疗面部丛状神经纤维瘤自发性大出血:病例报告及文献复习。
Brain Inj. 2022 May 12;36(6):810-816. doi: 10.1080/02699052.2022.2077986. Epub 2022 May 23.
4
Single-stage total endoscopic resection of a plexiform neurofibroma of the maxillary sinus in a child with type 1 neurofibromatosis.1型神经纤维瘤病患儿上颌窦丛状神经纤维瘤的单阶段全内镜切除术
Int J Pediatr Otorhinolaryngol. 2010 Apr;74(4):426-9. doi: 10.1016/j.ijporl.2009.12.012. Epub 2010 Jan 13.
5
Neurofibromatosis Type 1 with a Giant Diffuse Plexiform Neurofibroma Invading the Liver.神经纤维瘤病 1 型伴巨大弥漫性丛状神经纤维瘤侵犯肝脏。
Intern Med. 2023 Oct 15;62(20):2971-2975. doi: 10.2169/internalmedicine.1372-22. Epub 2023 Feb 15.
6
Congenital giant plexiform neurofibroma with occipital calvarial dysplasia in association with meningoencephalocele in neurofibromatosis Type 1 and segmental neurofibromatosis: report of 2 cases.1型神经纤维瘤病和节段性神经纤维瘤病中伴有枕骨颅骨发育异常及脑膜脑膨出的先天性巨大丛状神经纤维瘤:2例报告
J Neurosurg Pediatr. 2013 Nov;12(5):458-64. doi: 10.3171/2013.8.PEDS12624. Epub 2013 Sep 13.
7
Giant plexiform neurofibroma causing asymptomatic cervical spinal cord compression in a child with neurofibromatosis type 1.巨大丛状神经纤维瘤导致1型神经纤维瘤病患儿出现无症状性颈段脊髓受压。
BMJ Case Rep. 2013 Apr 25;2013:bcr2013009799. doi: 10.1136/bcr-2013-009799.
8
Spontaneous hemorrhage simulating rapid growth of a benign subperiosteal plexiform neurofibroma.模拟良性骨膜下丛状神经纤维瘤快速生长的自发性出血。
Pediatr Radiol. 2007 Sep;37(9):925-8. doi: 10.1007/s00247-007-0535-9. Epub 2007 Jul 12.
9
Periportal Plexiform Neurofibromatosis; a rare intra-abdominal manifestation of NF1.肝门周围丛状神经纤维瘤病;NF1 的一种罕见腹腔内表现。
J Pak Med Assoc. 2020 Mar;70(3):557-558.
10
[Plexiform cervical neurofibroma: about a case].[丛状颈部神经纤维瘤:病例报告]
Pan Afr Med J. 2018 May 17;30:41. doi: 10.11604/pamj.2018.30.41.14446. eCollection 2018.

引用本文的文献

1
[Emergency management and perioperative strategies for intra-tumoral hemorrhage in neurofibromatosis type 1-related giant plexiform neurofibroma].1型神经纤维瘤病相关巨大丛状神经纤维瘤瘤内出血的急诊处理及围手术期策略
Zhongguo Xiu Fu Chong Jian Wai Ke Za Zhi. 2024 Oct 15;38(10):1180-1185. doi: 10.7507/1002-1892.202406074.
2
Facial hematoma induced spontaneously or by minimal trauma in a facial plexiform neurofibroma: a case report and literature review.面部丛状神经纤维瘤自发或因轻微创伤引起的面部血肿:一例报告及文献综述
J Korean Assoc Oral Maxillofac Surg. 2023 Jun 30;49(3):152-156. doi: 10.5125/jkaoms.2023.49.3.152.
3

本文引用的文献

1
Health supervision for children with neurofibromatosis.神经纤维瘤病患儿的健康监督
Pediatrics. 2008 Mar;121(3):633-42. doi: 10.1542/peds.2007-3364.
2
Diagnostic delay of NF1 in hemifacial hypertrophy due to plexiform neurofibromas.因丛状神经纤维瘤导致半侧面部肥大的1型神经纤维瘤病的诊断延迟
Brain Dev. 2006 Jun;28(5):275-80. doi: 10.1016/j.braindev.2005.10.001. Epub 2006 Feb 14.
3
CT features of plexiform neurofibroma of the submandibular gland.下颌下腺丛状神经纤维瘤的CT特征
A Case of Neurofibromatosis Type 1 Diagnosed after Idiopathic Rupture of Superficial Temporal Artery Pseudoaneurysm Requiring Endovascular Treatment.
1例1型神经纤维瘤病在颞浅动脉假性动脉瘤特发性破裂后确诊,需行血管内治疗
NMC Case Rep J. 2023 May 17;10:125-130. doi: 10.2176/jns-nmc.2022-0349. eCollection 2023.
4
Management of neurofibromatosis type 1-associated plexiform neurofibromas.1 型神经纤维瘤病相关丛状神经纤维瘤的治疗管理。
Neuro Oncol. 2022 Nov 2;24(11):1827-1844. doi: 10.1093/neuonc/noac146.
5
Imaging diagnosis of plexiform neurofibroma- unravelling the confounding features: A report of two cases.丛状神经纤维瘤的影像学诊断——解析复杂特征:两例报告
Radiol Case Rep. 2021 Jul 17;16(9):2824-2833. doi: 10.1016/j.radcr.2021.06.025. eCollection 2021 Sep.
6
Multidimensional Ultrasound and Computed Tomography Imaging Support in Bleeding Plexiform Neurofibromatosis of the Scalp: A Case Report and Literature Review.头皮丛状神经纤维瘤出血的多维超声和计算机断层扫描成像支持:病例报告及文献综述
Indian J Dermatol. 2015 Jul-Aug;60(4):421. doi: 10.4103/0019-5154.160522.
AJNR Am J Neuroradiol. 2006 Jan;27(1):126-8.
4
Symptoms associated with malignancy of peripheral nerve sheath tumours: a retrospective study of 69 patients with neurofibromatosis 1.与外周神经鞘瘤恶性肿瘤相关的症状:对69例1型神经纤维瘤病患者的回顾性研究
Br J Dermatol. 2005 Jul;153(1):79-82. doi: 10.1111/j.1365-2133.2005.06558.x.
5
Management issues in massive pediatric facial plexiform neurofibroma with neurofibromatosis type 1.1型神经纤维瘤病伴巨大儿童面部丛状神经纤维瘤的管理问题
Head Neck. 2002 Feb;24(2):207-11. doi: 10.1002/hed.10001.
6
Plexiform neurofibroma of the submandibular salivary gland in a child.一名儿童下颌下唾液腺的丛状神经纤维瘤。
Can J Gastroenterol. 2001 Dec;15(12):835-7. doi: 10.1155/2001/675485.
7
Neurofibromatosis type 1: a diagnostic mimicker at CT.1型神经纤维瘤病:CT检查中的诊断模仿者。
Radiographics. 2001 May-Jun;21(3):601-12. doi: 10.1148/radiographics.21.3.g01ma05601.
8
Plexiform neurofibroma of the liver: findings on mr imaging, angiography, and CT portography.肝脏丛状神经纤维瘤:磁共振成像、血管造影及CT门静脉造影表现
AJR Am J Roentgenol. 2001 Feb;176(2):493-5. doi: 10.2214/ajr.176.2.1760493.
9
Cross-sectional imaging of peripheral nerve sheath tumors: characteristic signs on CT, MR imaging, and sonography.周围神经鞘瘤的横断面成像:CT、磁共振成像及超声检查的特征性表现
AJR Am J Roentgenol. 2001 Jan;176(1):75-82. doi: 10.2214/ajr.176.1.1760075.
10
Clinic-based study of plexiform neurofibromas in neurofibromatosis 1.1型神经纤维瘤病中丛状神经纤维瘤的基于临床的研究。
Am J Med Genet. 2000 May 15;92(2):132-5.