• 文献检索
  • 文档翻译
  • 深度研究
  • 学术资讯
  • Suppr Zotero 插件Zotero 插件
  • 邀请有礼
  • 套餐&价格
  • 历史记录
应用&插件
Suppr Zotero 插件Zotero 插件浏览器插件Mac 客户端Windows 客户端微信小程序
定价
高级版会员购买积分包购买API积分包
服务
文献检索文档翻译深度研究API 文档MCP 服务
关于我们
关于 Suppr公司介绍联系我们用户协议隐私条款
关注我们

Suppr 超能文献

核心技术专利:CN118964589B侵权必究
粤ICP备2023148730 号-1Suppr @ 2026

文献检索

告别复杂PubMed语法,用中文像聊天一样搜索,搜遍4000万医学文献。AI智能推荐,让科研检索更轻松。

立即免费搜索

文件翻译

保留排版,准确专业,支持PDF/Word/PPT等文件格式,支持 12+语言互译。

免费翻译文档

深度研究

AI帮你快速写综述,25分钟生成高质量综述,智能提取关键信息,辅助科研写作。

立即免费体验

肉毒杆菌血凝素通过直接结合 E-钙黏蛋白破坏细胞间上皮屏障。

Botulinum hemagglutinin disrupts the intercellular epithelial barrier by directly binding E-cadherin.

机构信息

Laboratory for Infection Cell Biology, International Research Center for Infectious Diseases, Research Institute for Microbial Diseases, Osaka University, Suita, Osaka 565-0871, Japan.

出版信息

J Cell Biol. 2010 May 17;189(4):691-700. doi: 10.1083/jcb.200910119. Epub 2010 May 10.

DOI:10.1083/jcb.200910119
PMID:20457762
原文链接:https://pmc.ncbi.nlm.nih.gov/articles/PMC2872904/
Abstract

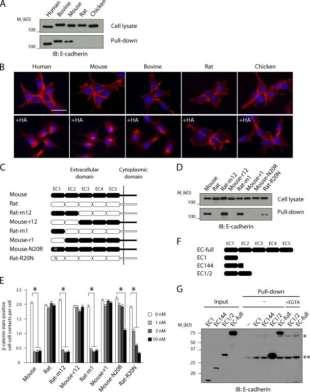
Botulinum neurotoxin is produced by Clostridium botulinum and forms large protein complexes through associations with nontoxic components. We recently found that hemagglutinin (HA), one of the nontoxic components, disrupts the intercellular epithelial barrier; however, the mechanism underlying this phenomenon is not known. In this study, we identified epithelial cadherin (E-cadherin) as a target molecule for HA. HA directly binds E-cadherin and disrupts E-cadherin-mediated cell to cell adhesion. Although HA binds human, bovine, and mouse E-cadherin, it does not bind rat or chicken E-cadherin homologues. HA does not interact with other members of the classical cadherin family such as neural and vascular endothelial cadherin. Expression of rat E-cadherin but not mouse rescues Madin-Darby canine kidney cells from HA-induced tight junction (TJ) disruptions. These data demonstrate that botulinum HA directly binds E-cadherin and disrupts E-cadherin-mediated cell to cell adhesion in a species-specific manner and that the HA-E-cadherin interaction is essential for the disruption of TJ function.

摘要

肉毒杆菌神经毒素由肉毒梭菌产生,并通过与无毒成分的关联形成大型蛋白质复合物。我们最近发现,其中一种无毒成分血凝素 (HA) 会破坏细胞间上皮屏障;然而,这种现象的机制尚不清楚。在这项研究中,我们确定上皮钙黏蛋白 (E-cadherin) 是 HA 的靶分子。HA 可直接与 E-cadherin 结合并破坏 E-cadherin 介导的细胞间粘附。尽管 HA 结合人、牛和鼠 E-cadherin,但不结合大鼠或鸡 E-cadherin 同源物。HA 不与经典钙黏蛋白家族的其他成员(如神经和血管内皮钙黏蛋白)相互作用。表达大鼠 E-cadherin 而非小鼠可挽救 Madin-Darby 犬肾细胞免受 HA 诱导的紧密连接 (TJ) 破坏。这些数据表明,肉毒梭菌 HA 以物种特异性的方式直接与 E-cadherin 结合并破坏 E-cadherin 介导的细胞间粘附,并且 HA-E-cadherin 相互作用对于 TJ 功能的破坏是必不可少的。

https://cdn.ncbi.nlm.nih.gov/pmc/blobs/c3e8/2872904/093f6cfdd150/JCB_200910119_RGB_Fig5.jpg
https://cdn.ncbi.nlm.nih.gov/pmc/blobs/c3e8/2872904/72b123c64fc2/JCB_200910119_RGB_Fig1.jpg
https://cdn.ncbi.nlm.nih.gov/pmc/blobs/c3e8/2872904/f957af3cdaee/JCB_200910119_RGB_Fig2.jpg
https://cdn.ncbi.nlm.nih.gov/pmc/blobs/c3e8/2872904/8c77f47d28b8/JCB_200910119_RGB_Fig3.jpg
https://cdn.ncbi.nlm.nih.gov/pmc/blobs/c3e8/2872904/1a86140095e5/JCB_200910119_RGB_Fig4.jpg
https://cdn.ncbi.nlm.nih.gov/pmc/blobs/c3e8/2872904/093f6cfdd150/JCB_200910119_RGB_Fig5.jpg
https://cdn.ncbi.nlm.nih.gov/pmc/blobs/c3e8/2872904/72b123c64fc2/JCB_200910119_RGB_Fig1.jpg
https://cdn.ncbi.nlm.nih.gov/pmc/blobs/c3e8/2872904/f957af3cdaee/JCB_200910119_RGB_Fig2.jpg
https://cdn.ncbi.nlm.nih.gov/pmc/blobs/c3e8/2872904/8c77f47d28b8/JCB_200910119_RGB_Fig3.jpg
https://cdn.ncbi.nlm.nih.gov/pmc/blobs/c3e8/2872904/1a86140095e5/JCB_200910119_RGB_Fig4.jpg
https://cdn.ncbi.nlm.nih.gov/pmc/blobs/c3e8/2872904/093f6cfdd150/JCB_200910119_RGB_Fig5.jpg

相似文献

1
Botulinum hemagglutinin disrupts the intercellular epithelial barrier by directly binding E-cadherin.肉毒杆菌血凝素通过直接结合 E-钙黏蛋白破坏细胞间上皮屏障。
J Cell Biol. 2010 May 17;189(4):691-700. doi: 10.1083/jcb.200910119. Epub 2010 May 10.
2
Molecular engineering of a minimal E-cadherin inhibitor protein derived from Clostridium botulinum hemagglutinin.源自肉毒梭菌血影蛋白的最小 E-钙黏蛋白抑制剂蛋白的分子工程。
J Biol Chem. 2023 Mar;299(3):102944. doi: 10.1016/j.jbc.2023.102944. Epub 2023 Jan 25.
3
Clostridium botulinum type C hemagglutinin affects the morphology and viability of cultured mammalian cells via binding to the ganglioside GM3.C型肉毒梭菌血凝素通过与神经节苷脂GM3结合影响培养的哺乳动物细胞的形态和活力。
FEBS J. 2015 Sep;282(17):3334-47. doi: 10.1111/febs.13346. Epub 2015 Jul 14.
4
Functional Analysis of Botulinum Hemagglutinin (HA).肉毒毒素血凝素(HA)的功能分析。
Methods Mol Biol. 2020;2132:191-200. doi: 10.1007/978-1-0716-0430-4_20.
5
The botulinum toxin complex meets E-cadherin on the way to its destination.肉毒杆菌毒素复合物在前往目的地的途中与 E-钙黏蛋白相遇。
Cell Adh Migr. 2011 Jan-Feb;5(1):34-6. doi: 10.4161/cam.5.1.13574. Epub 2011 Jan 1.
6
Multivalency effects of hemagglutinin component of type B botulinum neurotoxin complex on epithelial barrier disruption.B型肉毒杆菌神经毒素复合物血凝素成分对上皮屏障破坏的多价效应。
Microbiol Immunol. 2018 Feb;62(2):80-89. doi: 10.1111/1348-0421.12565.
7
Botulinum Hemagglutinin: Critical Protein for Adhesion and Absorption of Neurotoxin Complex in Host Intestine.肉毒杆菌血凝素:在宿主肠道中粘附和吸收神经毒素复合物的关键蛋白。
Methods Mol Biol. 2020;2132:183-190. doi: 10.1007/978-1-0716-0430-4_19.
8
[Mechanism of intestinal absorption of botulinum neurotoxin complex].[肉毒杆菌神经毒素复合物的肠道吸收机制]
Nihon Saikingaku Zasshi. 2019;74(3):167-175. doi: 10.3412/jsb.74.167.
9
Molecular basis for disruption of E-cadherin adhesion by botulinum neurotoxin A complex.肉毒神经毒素 A 复合体破坏 E-钙黏蛋白黏附的分子基础。
Science. 2014 Jun 20;344(6190):1405-10. doi: 10.1126/science.1253823.
10
Hemagglutinin gene shuffling among Clostridium botulinum serotypes C and D yields distinct sugar recognition of the botulinum toxin complex.肉毒梭菌C型和D型血清型之间的血凝素基因重排产生了肉毒毒素复合物独特的糖识别特性。
Pathog Dis. 2015 Oct;73(7). doi: 10.1093/femspd/ftv054. Epub 2015 Jul 29.

引用本文的文献

1
Gut mucin fucosylation dictates the entry of botulinum toxin complexes.肠道粘蛋白岩藻糖基化决定肉毒杆菌毒素复合物的进入。
bioRxiv. 2025 Aug 30:2025.08.30.672933. doi: 10.1101/2025.08.30.672933.
2
Structure of the complete 14-subunit botulinum neurotoxin B complex reveals a unique anchoring through the narrow central pore of HA70.完整的14亚基肉毒杆菌神经毒素B复合物的结构揭示了通过HA70狭窄中心孔的独特锚定方式。
Sci Adv. 2025 Aug 29;11(35):eadx5058. doi: 10.1126/sciadv.adx5058. Epub 2025 Aug 27.
3
A nut-and-bolt assembly of the bimodular large progenitor botulinum neurotoxin complex.

本文引用的文献

1
Structure and biochemistry of cadherins and catenins.钙黏蛋白和连环蛋白的结构与生物化学。
Cold Spring Harb Perspect Biol. 2009 Sep;1(3):a003053. doi: 10.1101/cshperspect.a003053.
2
Disruption of the epithelial barrier by botulinum haemagglutinin (HA) proteins - differences in cell tropism and the mechanism of action between HA proteins of types A or B, and HA proteins of type C.肉毒杆菌血凝素(HA)蛋白对上皮屏障的破坏——A型或B型HA蛋白与C型HA蛋白在细胞嗜性和作用机制上的差异。
Microbiology (Reading). 2009 Jan;155(Pt 1):35-45. doi: 10.1099/mic.0.021246-0.
3
Conjugated action of two species-specific invasion proteins for fetoplacental listeriosis.
双模块大型肉毒杆菌神经毒素复合体的螺母和螺栓组件。
Sci Adv. 2025 Aug 29;11(35):eadx5831. doi: 10.1126/sciadv.adx5831. Epub 2025 Aug 27.
4
Role of E-cadherin in epithelial barrier dysfunction: implications for bacterial infection, inflammation, and disease pathogenesis.E-钙黏蛋白在上皮屏障功能障碍中的作用:对细菌感染、炎症和疾病发病机制的影响。
Front Cell Infect Microbiol. 2025 Feb 11;15:1506636. doi: 10.3389/fcimb.2025.1506636. eCollection 2025.
5
Histopathological changes of the buccal mucosa and skin after botulinum neurotoxin intramuscular injection in rats (immunohistochemical study).大鼠肌肉注射肉毒杆菌神经毒素后颊黏膜和皮肤的组织病理学变化(免疫组织化学研究)
BMC Oral Health. 2025 Feb 25;25(1):303. doi: 10.1186/s12903-025-05627-w.
6
Botulinum neurotoxins exploit host digestive proteases to boost their oral toxicity via activating OrfXs/P47.肉毒杆菌神经毒素利用宿主消化蛋白酶,通过激活OrfXs/P47来提高其口服毒性。
Nat Struct Mol Biol. 2025 May;32(5):864-875. doi: 10.1038/s41594-024-01479-0. Epub 2025 Jan 21.
7
Cleavage of cell junction proteins as a host invasion strategy in leptospirosis.细胞连接蛋白的裂解作为钩端螺旋体病的宿主入侵策略。
Appl Microbiol Biotechnol. 2024 Dec;108(1):119. doi: 10.1007/s00253-023-12945-y. Epub 2024 Jan 10.
8
Pathogenicity and virulence of . 的致病性和毒力。
Virulence. 2023 Dec;14(1):2205251. doi: 10.1080/21505594.2023.2205251.
9
Crystal structures of OrfX1, OrfX2 and the OrfX1-OrfX3 complex from the orfX gene cluster of botulinum neurotoxin E1.来自肉毒神经毒素 E1 的 orfX 基因簇的 OrfX1、OrfX2 和 OrfX1-OrfX3 复合物的晶体结构。
FEBS Lett. 2023 Feb;597(4):524-537. doi: 10.1002/1873-3468.14576. Epub 2023 Jan 27.
10
Membrane Vesicles Derived From and Related Clostridial Species Induce Innate Immune Responses MyD88/TRIF Signaling .源自梭菌属及相关菌种的膜泡诱导先天性免疫反应:MyD88/TRIF信号通路
Front Microbiol. 2022 Feb 3;13:720308. doi: 10.3389/fmicb.2022.720308. eCollection 2022.
两种物种特异性侵袭蛋白对胎盘李斯特菌病的协同作用。
Nature. 2008 Oct 23;455(7216):1114-8. doi: 10.1038/nature07303. Epub 2008 Sep 17.
4
Comparative characterization of mouse rectum CMT93-I and -II cells by expression of claudin isoforms and tight junction morphology and function.通过紧密连接蛋白异构体的表达以及紧密连接的形态和功能对小鼠直肠CMT93-I和-II细胞进行比较表征。
Histochem Cell Biol. 2008 Feb;129(2):223-32. doi: 10.1007/s00418-007-0360-0. Epub 2007 Nov 22.
5
Receptor-mediated transcytosis of botulinum neurotoxin A through intestinal cell monolayers.肉毒杆菌神经毒素A通过肠细胞单层的受体介导转胞吞作用。
Cell Microbiol. 2008 Feb;10(2):375-87. doi: 10.1111/j.1462-5822.2007.01051.x. Epub 2007 Sep 28.
6
The HA proteins of botulinum toxin disrupt intestinal epithelial intercellular junctions to increase toxin absorption.肉毒杆菌毒素的血凝素(HA)蛋白会破坏肠道上皮细胞间连接,以增加毒素吸收。
Cell Microbiol. 2008 Feb;10(2):355-64. doi: 10.1111/j.1462-5822.2007.01048.x. Epub 2007 Sep 14.
7
Cleavage of E-cadherin: a mechanism for disruption of the intestinal epithelial barrier by Candida albicans.E-钙黏蛋白的裂解:白色念珠菌破坏肠道上皮屏障的一种机制。
Transl Res. 2007 Apr;149(4):211-22. doi: 10.1016/j.trsl.2006.11.006.
8
Mucosal tissue invasion by Candida albicans is associated with E-cadherin degradation, mediated by transcription factor Rim101p and protease Sap5p.白色念珠菌对黏膜组织的侵袭与转录因子Rim101p和蛋白酶Sap5p介导的E-钙黏蛋白降解有关。
Infect Immun. 2007 May;75(5):2126-35. doi: 10.1128/IAI.00054-07. Epub 2007 Mar 5.
9
Als3 is a Candida albicans invasin that binds to cadherins and induces endocytosis by host cells.Als3是一种白色念珠菌入侵蛋白,它与钙黏蛋白结合并诱导宿主细胞进行内吞作用。
PLoS Biol. 2007 Mar;5(3):e64. doi: 10.1371/journal.pbio.0050064.
10
Basal-to-apical cadherin flow at cell junctions.细胞连接处从基底到顶端的钙黏蛋白流动。
Nat Cell Biol. 2007 Jan;9(1):92-8. doi: 10.1038/ncb1520. Epub 2006 Dec 10.