Suppr超能文献

促卵泡激素受体在男性及大鼠输出小管和附睾中的免疫表达:促卵泡激素对大鼠附睾上皮细胞体外形态及类固醇生成活性的影响

The immunoexpression of FSH-R in the ductuli efferentes and the epididymis of men and rat: effect of FSH on the morphology and steroidogenic activity of rat epididymal epithelial cells in vitro.

作者信息

Swider-Al-Amawi Małgorzata, Kolasa Agnieszka, Sikorski Andrzej, Marchlewicz Mariola, Baranowska-Bosiacka Irena, Wiszniewska Barbara

机构信息

Department of Histology and Embryology, Pomeranian Medical University, 72 Powstańców Wlkp. Street, 70-111 Szczecin, Poland.

出版信息

J Biomed Biotechnol. 2010;2010:506762. doi: 10.1155/2010/506762. Epub 2010 May 12.

Abstract

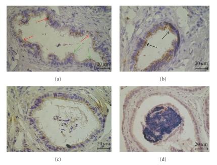
The Sertoli cells were regarded as the only target for FSH in male reproductive system. The expression of FSH receptor (FSH-R) was detected also in epithelial cells of the caput epididymis of rat and monkey. We showed in the immunohistochemistry study the expression of FSH-R in rat and human ductuli efferentes and the caput, corpus, and cauda epididymis, moreover, by Western blot analysis in the caput and cauda epididymis of rat. Additionally, we presented that the morphology of rat epididymal epithelial cells in vitro was affected by FSH, and FSH stimulation resulted in the increase of 17beta-estradiol synthesis by rat caput epididymal cells in dose-depended manner. In conclusion, the identification of FSH receptors in human and rat epididymides supports our results that the epididymis is a target organ not only for LH but additionally for FSH. On the basis of the results we showed for the first time that morphology of epididymal epithelial cells and epididymal steroidogenesis can be regulated by FSH.

摘要

在雄性生殖系统中,支持细胞被认为是促卵泡激素(FSH)的唯一靶细胞。在大鼠和猴子的附睾头上皮细胞中也检测到了FSH受体(FSH-R)的表达。我们在免疫组织化学研究中显示,FSH-R在大鼠和人类的输出小管以及附睾头、体和尾中均有表达,此外,通过蛋白质免疫印迹分析在大鼠的附睾头和尾中也检测到了FSH-R。另外,我们还发现体外培养的大鼠附睾上皮细胞的形态受FSH影响,且FSH刺激可使大鼠附睾头细胞的17β-雌二醇合成呈剂量依赖性增加。总之,在人类和大鼠附睾中鉴定出FSH受体支持了我们的研究结果,即附睾不仅是促黄体生成素(LH)的靶器官,也是FSH的靶器官。基于这些结果,我们首次表明FSH可调节附睾上皮细胞的形态和附睾的类固醇生成。

https://cdn.ncbi.nlm.nih.gov/pmc/blobs/b762/2868980/21b984ea8da0/JBB2010-506762.001.jpg

文献AI研究员

20分钟写一篇综述,助力文献阅读效率提升50倍。

立即体验

用中文搜PubMed

大模型驱动的PubMed中文搜索引擎

马上搜索

文档翻译

学术文献翻译模型,支持多种主流文档格式。

立即体验