Suppr超能文献

16 岁女孩的根尖周病变牙的牙髓和修复治疗。

Endodontic and prosthetic treatment of teeth with periapical lesions in a 16-year-old-girl.

机构信息

Department of Pedodontics, Faculty of Dentistry, Dicle University, Diyarbakir, Turkey.

出版信息

J Appl Oral Sci. 2010 Mar-Apr;18(2):201-6. doi: 10.1590/s1678-77572010000200016.

Abstract

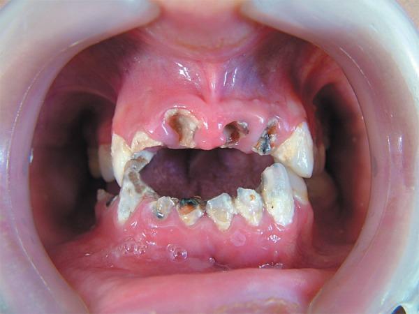
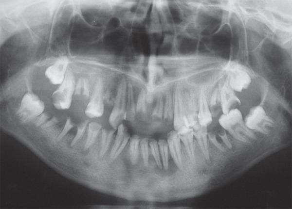
This paper reports the nonsurgical endodontic therapy using calcium hydroxide intracanal dressing and prosthetic treatment of 9 teeth with periapical lesions in a 16-year-old female patient. The periodontal treatment plan included oral hygiene instructions, mechanical debridement and gingivectomy in the maxillary incisors to improve gingival contouring. Root canal treatment was indicated for teeth 11-13, 21, 22, 42-45. After successive changes of a calcium hydroxide intracanal dressing during 6 weeks, the size of the periapical radiolucencies decreased and lesion remission occurred after root canal obturation. The endodontically treated teeth received a bondable polyethylene reinforcement fiber (Ribbond) in the prepared canal space and crown buildup was done with composite resin. Prosthetic rehabilitation was planned with single-unit metal-ceramic crowns and fixed partial dentures. Clinical and radiographic evaluation after 6 months showed successful results. The outcomes of this case showed that chronic periapical lesions can respond favorably to nonsurgical endodontic treatment in adolescent patients and that, with proper indication, polyethylene fibers can provide an effective conservative and esthetic option for reinforcing endodontically treated teeth undergoing prosthetic rehabilitation.

摘要

本文报告了一例 16 岁女性患者,9 颗有根尖病变的牙齿接受了非手术根管内氢氧化钙封药治疗和修复治疗。牙周治疗计划包括口腔卫生指导、上颌切牙的机械清创和牙龈切除术,以改善牙龈轮廓。11-13、21、22、42-45 号牙需要根管治疗。经过 6 周的多次更换氢氧化钙根管内封药,根尖的放射性透影区缩小,根管充填后病变缓解。经过根管治疗的牙齿在预备好的根管空间内使用可粘结的聚乙烯增强纤维(Ribbond),并用复合树脂进行牙冠修复。计划采用单冠金属陶瓷冠和固定局部义齿进行修复。6 个月后的临床和影像学评估显示治疗成功。该病例的结果表明,青少年患者的慢性根尖病变可以通过非手术根管治疗获得良好的效果,并且在适当的适应证下,聚乙烯纤维可以为接受修复治疗的根管治疗后牙齿提供一种有效的保守和美观选择。

https://cdn.ncbi.nlm.nih.gov/pmc/blobs/ed72/5349758/16774107f842/jaos-18-02-0201-g01.jpg

相似文献

1
Endodontic and prosthetic treatment of teeth with periapical lesions in a 16-year-old-girl.
J Appl Oral Sci. 2010 Mar-Apr;18(2):201-6. doi: 10.1590/s1678-77572010000200016.
2
Clinical outcome of the endodontic treatment of teeth with apical periodontitis using an antimicrobial protocol.
Oral Surg Oral Med Oral Pathol Oral Radiol Endod. 2008 Nov;106(5):757-62. doi: 10.1016/j.tripleo.2008.06.007. Epub 2008 Aug 20.
5
Responses of immature permanent teeth with infected necrotic pulp tissue and apical periodontitis/abscess to revascularization procedures.
Int Endod J. 2012 Mar;45(3):294-305. doi: 10.1111/j.1365-2591.2011.01978.x. Epub 2011 Nov 14.
6
One- versus two-visit endodontic treatment of teeth with apical periodontitis: a histobacteriologic study.
J Endod. 2012 Aug;38(8):1040-52. doi: 10.1016/j.joen.2012.04.010. Epub 2012 Jun 12.
8
A 5-year review of teeth filled with the noninstrumentation technology.
Int Endod J. 2009 Jul;42(7):639-48. doi: 10.1111/j.1365-2591.2009.01573.x. Epub 2009 May 8.
10

引用本文的文献

本文引用的文献

1
A systematic review of single crowns on endodontically treated teeth.
J Dent. 2007 Oct;35(10):761-7. doi: 10.1016/j.jdent.2007.07.004. Epub 2007 Sep 5.
2
Nonsurgical endodontic treatments in molar teeth with large periapical lesions in children: 2-year follow-up.
Oral Surg Oral Med Oral Pathol Oral Radiol Endod. 2007 Jul;104(1):e60-5. doi: 10.1016/j.tripleo.2007.01.022. Epub 2007 May 11.
3
Reinforcement effect of polyethylene fibre in root-filled teeth: comparison of two restoration techniques.
Int Endod J. 2006 Feb;39(2):136-42. doi: 10.1111/j.1365-2591.2006.01057.x.
4
Periapical cyst repair after nonsurgical endodontic therapy--case report.
Braz Dent J. 2005;16(3):254-8. doi: 10.1590/s0103-64402005000300016. Epub 2006 Jan 12.
6
A review of the management of endodontically treated teeth. Post, core and the final restoration.
J Am Dent Assoc. 2005 May;136(5):611-9. doi: 10.14219/jada.archive.2005.0232.
8
Fracture resistance of endodontically treated teeth restored with composite posts.
J Prosthet Dent. 2003 Apr;89(4):360-7. doi: 10.1067/mpr.2003.75.
10
Periapical lesions accidentally filled with calcium hydroxide.
Int Endod J. 2002 Nov;35(11):946-58. doi: 10.1046/j.1365-2591.2002.00597.x.

文献AI研究员

20分钟写一篇综述,助力文献阅读效率提升50倍。

立即体验

用中文搜PubMed

大模型驱动的PubMed中文搜索引擎

马上搜索

文档翻译

学术文献翻译模型,支持多种主流文档格式。

立即体验