Suppr超能文献

在多个传播季节中,候选疫苗疟原虫裂殖子表面蛋白-6 的变异有限。

Limited variation in vaccine candidate Plasmodium falciparum Merozoite Surface Protein-6 over multiple transmission seasons.

机构信息

William C Gorgas Center for Geographic Medicine, Division of Infectious Diseases, Department of Medicine, University of Alabama at Birmingham, Birmingham, AL 35294-2170, USA.

出版信息

Malar J. 2010 May 24;9:138. doi: 10.1186/1475-2875-9-138.

Abstract

BACKGROUND

Plasmodium falciparum Merozoite Surface Protein-6 (PfMSP6) is a component of the complex proteinacious coat that surrounds P. falciparum merozoites. This location, and the presence of anti-PfMSP6 antibodies in P. falciparum-exposed individuals, makes PfMSP6 a potential blood stage vaccine target. However, genetic diversity has proven to be a major hurdle for vaccines targeting other blood stage P. falciparum antigens, and few endemic field studies assessing PfMSP6 gene diversity have been conducted. This study follows PfMSP6 diversity in the Peruvian Amazon from 2003 to 2006 and is the first longitudinal assessment of PfMSP6 sequence dynamics.

METHODS

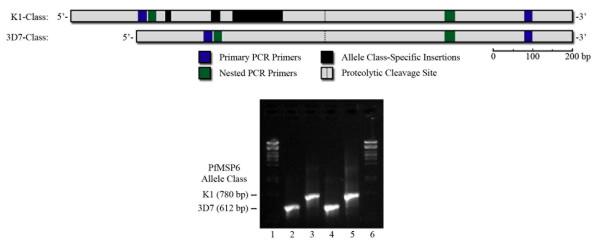
Parasite DNA was extracted from 506 distinct P. falciparum infections spanning the transmission seasons from 2003 to 2006 as part of the Malaria Immunology and Genetics in the Amazon (MIGIA) cohort study near Iquitos, Peru. PfMSP6 was amplified from each sample using a nested PCR protocol, genotyped for allele class by agarose gel electrophoresis, and sequenced to detect diversity. Allele frequencies were analysed using JMP v.8.0.1.0 and correlated with clinical and epidemiological data collected as part of the MIGIA project.

RESULTS

Both PfMSP6 allele classes, K1-like and 3D7-like, were detected at the study site, confirming that both are globally distributed. Allele frequencies varied significantly between transmission seasons, with 3D7-class alleles dominating and K1-class alleles nearly disappearing in 2005 and 2006. There was a significant association between allele class and village location (p-value = 0.0008), but no statistically significant association between allele class and age, sex, or symptom status. No intra-allele class sequence diversity was detected.

CONCLUSIONS

Both PfMSP6 allele classes are globally distributed, and this study shows that allele frequencies can fluctuate significantly between communities separated by only a few kilometres, and over time in the same community. By contrast, PfMSP6 was highly stable at the sequence level, with no SNPs detected in the 506 samples analysed. This limited diversity supports further investigation of PfMSP6 as a blood stage vaccine candidate, with the clear caveat that any such vaccine must either contain both alleles or generate cross-protective responses that react against both allele classes. Detailed immunoepidemiology studies are needed to establish the viability of these approaches before PfMSP6 advances further down the vaccine development pipeline.

摘要

背景

恶性疟原虫裂殖子表面蛋白 6(PfMSP6)是恶性疟原虫裂殖子复杂蛋白包膜的组成部分。PfMSP6 所处的位置,以及在感染恶性疟原虫的个体中存在抗 PfMSP6 抗体,使 PfMSP6 成为一种有潜力的血期疫苗靶点。然而,遗传多样性已被证明是针对其他血期恶性疟原虫抗原疫苗的主要障碍,并且很少有针对 PfMSP6 基因多样性的地方性实地研究。本研究对 2003 年至 2006 年秘鲁亚马逊地区的 PfMSP6 多样性进行了研究,这是对 PfMSP6 序列动态的首次纵向评估。

方法

作为秘鲁伊基托斯附近的疟疾免疫遗传学和遗传学亚马逊(MIGIA)队列研究的一部分,从 2003 年至 2006 年的传播季节中提取了 506 个不同的恶性疟原虫感染的寄生虫 DNA。使用巢式 PCR 方案从每个样本中扩增 PfMSP6,通过琼脂糖凝胶电泳对等位基因进行基因型分析,并进行测序以检测多样性。使用 JMP v.8.0.1.0 分析等位基因频率,并将其与作为 MIGIA 项目一部分收集的临床和流行病学数据相关联。

结果

在研究地点均检测到 PfMSP6 的两种等位基因类别,K1 样和 3D7 样,证实两者均在全球分布。等位基因频率在传播季节之间差异显著,2005 年和 2006 年 3D7 类等位基因占主导地位,而 K1 类等位基因几乎消失。等位基因类与村庄位置之间存在显著相关性(p 值=0.0008),但与年龄、性别或症状状态之间无统计学显著相关性。未检测到等位基因内的序列多样性。

结论

PfMSP6 的两种等位基因均在全球分布,本研究表明,在相隔仅几公里的社区之间,以及在同一社区内,等位基因频率可能会发生显著波动。相比之下,PfMSP6 在序列水平上非常稳定,在分析的 506 个样本中未检测到 SNP。这种有限的多样性支持进一步研究 PfMSP6 作为血期疫苗候选物,但有一个明确的警告,即任何此类疫苗必须包含两种等位基因,或产生针对两种等位基因类的交叉保护反应。在 PfMSP6 进一步推进疫苗开发管道之前,需要进行详细的免疫流行病学研究,以确定这些方法的可行性。

https://cdn.ncbi.nlm.nih.gov/pmc/blobs/de06/2881939/f8ed4ad093ed/1475-2875-9-138-1.jpg

文献AI研究员

20分钟写一篇综述,助力文献阅读效率提升50倍。

立即体验

用中文搜PubMed

大模型驱动的PubMed中文搜索引擎

马上搜索

文档翻译

学术文献翻译模型,支持多种主流文档格式。

立即体验