Department of Pediatrics, Cincinnati Children's Hospital Medical Center, University of Cincinnati, Cincinnati, OH, USA.
Respir Res. 2010 May 24;11(1):62. doi: 10.1186/1465-9921-11-62.
Allergic asthma is on the rise in developed countries. A common characteristic of allergens is that they contain intrinsic protease activity, and many have been shown to activate protease-activated receptor (PAR)-2 in vitro. The role for PAR-2 in mediating allergic airway inflammation has not been assessed using a real world allergen.
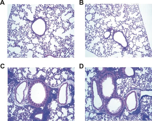
Mice (wild type or PAR-2-deficient) were sensitized to German cockroach (GC) feces (frass) or protease-depleted GC frass by either mucosal exposure or intraperitoneal injection and measurements of airway inflammation (IL-5, IL-13, IL-17A, and IFNgamma levels in the lung, serum IgE levels, cellular infiltration, mucin production) and airway hyperresponsiveness were performed.
Following systemic sensitization, GC frass increased airway hyperresponsiveness, Th2 cytokine release, serum IgE levels, cellular infiltration and mucin production in wild type mice. Interestingly, PAR-2-deficient mice had similar responses as wild type mice. Since these data were in direct contrast to our finding that mucosal sensitization with GC frass proteases regulated airway hyperresponsiveness and mucin production in BALB/c mice (Page et. al. 2007 Resp Res 8:91), we backcrossed the PAR-2-deficient mice into the BALB/c strain. Sensitization to GC frass could now occur via the more physiologically relevant method of intratracheal inhalation. PAR-2-deficient mice had significantly reduced airway hyperresponsiveness, Th2 and Th17 cytokine release, serum IgE levels, and cellular infiltration compared to wild type mice when sensitization to GC frass occurred through the mucosa. To confirm the importance of mucosal exposure, mice were systemically sensitized to GC frass or protease-depleted GC frass via intraperitoneal injection. We found that removal of proteases from GC frass had no effect on airway inflammation when administered systemically.
We showed for the first time that allergen-derived proteases in GC frass elicit allergic airway inflammation via PAR-2, but only when allergen was administered through the mucosa. Importantly, our data suggest the importance of resident airway cells in the initiation of allergic airway disease, and could make allergen-derived proteases attractive therapeutic targets.
在发达国家,过敏性哮喘的发病率正在上升。过敏原的一个共同特征是它们含有内在的蛋白酶活性,并且已经证明许多过敏原在体外激活蛋白酶激活受体 (PAR)-2。尚未使用真实过敏原评估 PAR-2 在介导过敏性气道炎症中的作用。
通过粘膜暴露或腹腔内注射,将野生型或 PAR-2 缺陷型小鼠敏化至德国蟑螂 (GC) 粪便 (粪便) 或蛋白酶耗尽的 GC 粪便,并测量气道炎症(肺中的 IL-5、IL-13、IL-17A 和 IFNgamma 水平、血清 IgE 水平、细胞浸润、粘蛋白产生)和气道高反应性。
全身性致敏后,GC 粪便增加了野生型小鼠的气道高反应性、Th2 细胞因子释放、血清 IgE 水平、细胞浸润和粘蛋白产生。有趣的是,PAR-2 缺陷型小鼠的反应与野生型小鼠相似。由于这些数据与我们的发现直接矛盾,即粘膜致敏用 GC 粪便蛋白酶调节 BALB/c 小鼠的气道高反应性和粘蛋白产生(Page 等人,2007 年 Resp Res 8:91),我们将 PAR-2 缺陷型小鼠回交至 BALB/c 品系。现在,通过气管内吸入更生理相关的方法,可以致敏 GC 粪便。与野生型小鼠相比,当通过粘膜致敏 GC 粪便时,PAR-2 缺陷型小鼠的气道高反应性、Th2 和 Th17 细胞因子释放、血清 IgE 水平和细胞浸润明显降低。为了确认粘膜暴露的重要性,通过腹腔内注射将小鼠系统敏化至 GC 粪便或蛋白酶耗尽的 GC 粪便。我们发现,当全身给予 GC 粪便时,从 GC 粪便中去除蛋白酶对气道炎症没有影响。
我们首次表明,GC 粪便中的过敏原衍生蛋白酶通过 PAR-2 引发过敏性气道炎症,但仅当过敏原通过粘膜给予时。重要的是,我们的数据表明气道常驻细胞在启动过敏性气道疾病中的重要性,并且过敏原衍生的蛋白酶可能成为有吸引力的治疗靶点。