Department of Veterinary Pathology, Small Animal Tumor Diagnostic Center, College of Veterinary Medicine, Konkuk University, 1 Hwayang-dong, Kwangjin-gu, Seoul 143-701, Korea.
BMC Cancer. 2010 May 28;10:243. doi: 10.1186/1471-2407-10-243.
Human seminoma is classified as classical seminoma (SE) and spermatocytic seminoma (SS). Human SE is known to be more malignant and metastasizing more frequently than SS. Tumor angiogenesis is highly related with tumor progression and metastasis, with microvessel density (MVD) being an important parameter of metastatic potential. Canine seminoma is not yet well-established as SE or SS type including correlation with angiogenesis. We classified canine SE and SS, and then compared them to tumor associated vessels.
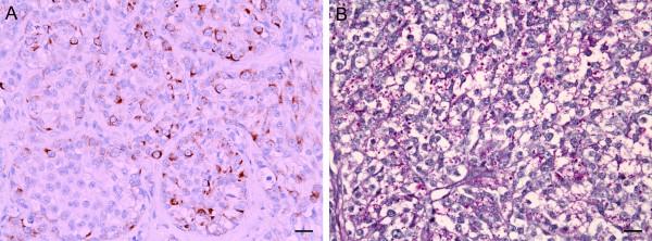
Twenty-three cases of canine seminomas (2 intratubular, 9 diffuse, and 12 intratubular/diffuse seminomas showing both intratubular and diffuse patterns) were classified as SE or SS by immunohistochemistry (IHC) using monoclonal antibody against PLAP and by PAS stain. The histopathological data were then compared to see if there was a correlation with SE or SS. Angiogenesis of seminomas were evaluated by immunohistochemical assay using polyclonal antibody against Von Willebrand factor (vWF) and by calculating the means of MVD, vessels area and perimeters using computerized image analysis. Statistical Package for Social Sciences (SPSS) program was used for various statistical analyses.
The numbers of PLAP+/PAS+ canine SEs were 8/23 (34.8%) and PLAP-/PAS- SSs were 15/23 (61.2%). All SE cases (8/8, 100%) were intratubular/diffuse types. SS types included 2 intratubular (2/15, 13.3%), 9 diffuse (9/15, 60%), and 4 intratubular/diffuse (4/15, 26.7%) types. MVD and vascular parameters in SEs were significantly higher than in SSs, showing the highest value in the intratubular/diffuse type. Seminomas observed with neoplastic cells invasion of vessels presented higher perimeter and area values than seminomas without conformed neoplastic cells invasion.
In this study, we demonstrated a positive relationship between canine SE and tumor angiogenesis. Furthermore, we also showed that a tumor cells invasion of vessels were a correlated vascular parameter. Although metastasis of canine seminomas has rarely been reported, our results support that canine SE could have high metastatic potential similar to the human counterpart. Further studies are required to clarify the relationship between canine SE and clinical data with metastatic factors.
人类精原细胞瘤分为经典精原细胞瘤(SE)和精原细胞瘤(SS)。与 SS 相比,人类 SE 被认为具有更高的恶性和更频繁的转移。肿瘤血管生成与肿瘤进展和转移高度相关,微血管密度(MVD)是转移潜能的重要参数。犬精原细胞瘤尚未被明确分类为 SE 或 SS 类型,包括与血管生成的关系。我们对犬 SE 和 SS 进行分类,然后将其与肿瘤相关血管进行比较。
通过使用针对 PLAP 的单克隆抗体和 PAS 染色的免疫组织化学(IHC)对 23 例犬精原细胞瘤(2 例管内型,9 例弥漫型,12 例管内/弥漫型同时具有管内和弥漫型)进行 SE 或 SS 分类。然后将组织病理学数据与 SE 或 SS 进行比较,以观察是否存在相关性。通过使用针对血管性血友病因子(vWF)的多克隆抗体的免疫组织化学检测和使用计算机图像分析计算 MVD、血管面积和周长的平均值来评估精原细胞瘤的血管生成。使用社会科学统计软件包(SPSS)程序进行各种统计分析。
PLAP+/PAS+犬 SE 的数量为 8/23(34.8%),PLAP-/PAS- SS 的数量为 15/23(61.2%)。所有 SE 病例(8/8,100%)均为管内/弥漫型。SS 类型包括 2 例管内型(2/15,13.3%)、9 例弥漫型(9/15,60%)和 4 例管内/弥漫型(4/15,26.7%)。SE 的 MVD 和血管参数明显高于 SS,其中管内/弥漫型最高。观察到肿瘤细胞侵犯血管的精原细胞瘤的周长和面积值高于没有确认肿瘤细胞侵犯的精原细胞瘤。
在这项研究中,我们证明了犬 SE 与肿瘤血管生成之间存在正相关关系。此外,我们还表明,肿瘤细胞侵犯血管是一个相关的血管参数。虽然犬精原细胞瘤的转移很少见报道,但我们的结果支持犬 SE 可能具有与人类精原细胞瘤相似的高转移潜能。需要进一步的研究来阐明犬 SE 与具有转移因素的临床数据之间的关系。