Suppr超能文献

因接触棉尘导致的急性肺泡蛋白沉积症。

Acute pulmonary alveolar proteinosis due to exposure to cotton dust.

作者信息

Thind Gurcharan Singh

机构信息

Department of TB and Chest Diseases, Medical College Hospital, Amritsar, India.

出版信息

Lung India. 2009 Oct;26(4):152-4. doi: 10.4103/0970-2113.56355.

Abstract

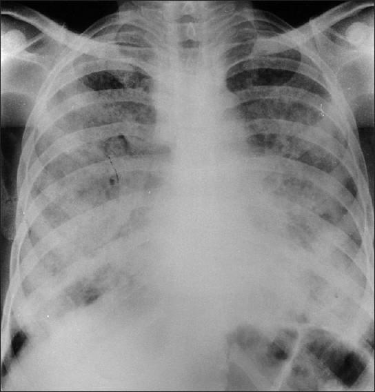
Secondary pulmonary alveolar proteinosis (PAP) is rare but may occur in association with malignancy, certain infections, and exposure to inorganic or organic dust and some toxic fumes. This case report describes the second recorded case of PAP due to exposure to cotton dust. A 24-year-old man developed PAP after working as a spinner for eight years without respiratory protection. He was admitted as an emergency patient with very severe dyspnea for four months and cough for several years. Chest X-ray showed bilateral diffuse alveolar consolidation. He died 16 days later, and a diagnosis of acute pulmonary alveolar proteinosis was made at autopsy. The histopathology demonstrated alveoli and respiratory bronchioles filled with characteristic periodic acid Schiff-positive material, which also revealed birefringent bodies of cotton dust under polarized light. Secondary PAP can be fatal and present with acute respiratory failure. The occupational history and characteristic pathology can alert clinicians to the diagnosis.

摘要

继发性肺泡蛋白沉积症(PAP)较为罕见,但可能与恶性肿瘤、某些感染、接触无机或有机粉尘以及一些有毒烟雾有关。本病例报告描述了因接触棉尘导致的第二例有记录的PAP病例。一名24岁男性在未采取呼吸防护措施的情况下担任纺纱工8年后患上了PAP。他因极度严重的呼吸困难持续4个月且咳嗽数年而作为急诊患者入院。胸部X线显示双侧弥漫性肺泡实变。他于16天后死亡,尸检诊断为急性肺泡蛋白沉积症。组织病理学显示肺泡和呼吸性细支气管充满特征性的过碘酸希夫染色阳性物质,在偏振光下还可见棉尘的双折射体。继发性PAP可能致命,并表现为急性呼吸衰竭。职业病史和特征性病理可提醒临床医生做出诊断。

https://cdn.ncbi.nlm.nih.gov/pmc/blobs/0424/2876706/6fa4e468fd66/LI-26-152-g001.jpg

相似文献

1
Acute pulmonary alveolar proteinosis due to exposure to cotton dust.
Lung India. 2009 Oct;26(4):152-4. doi: 10.4103/0970-2113.56355.
2
Combined-modality therapy for pulmonary alveolar proteinosis in a remote setting: a case report.
BMC Pulm Med. 2019 Mar 12;19(1):61. doi: 10.1186/s12890-019-0822-x.
5
Pulmonary alveolar proteinosis.
Semin Respir Crit Care Med. 2012 Oct;33(5):498-508. doi: 10.1055/s-0032-1325160. Epub 2012 Sep 21.
6
Pulmonary alveolar proteinosis during a 30-year observation. Diagnosis and treatment.
Pneumonol Alergol Pol. 2014;82(3):206-17. doi: 10.5603/PiAP.2014.0028.
7
Alveolar proteinosis in Behçet's disease.
Multidiscip Respir Med. 2010 Aug 31;5(4):264-6. doi: 10.1186/2049-6958-5-4-264.
9
Pulmonary Alveolar Proteinosis: A Rare Cause of Respiratory Failure.
J Coll Physicians Surg Pak. 2015 Jul;25(7):541-2.
10
Pulmonary alveolar proteinosis and first successful whole lung lavage in Sri Lanka: a case report.
J Med Case Rep. 2017 Mar 8;11(1):62. doi: 10.1186/s13256-017-1218-2.

引用本文的文献

1
Pathogenesis-driven treatment of primary pulmonary alveolar proteinosis.
Eur Respir Rev. 2024 Aug 14;33(173). doi: 10.1183/16000617.0064-2024. Print 2024 Jul.
5
Respiratory problems among cotton textile workers.
Lung India. 2016 Mar-Apr;33(2):163-6. doi: 10.4103/0970-2113.177444.
6
Unsuspected pulmonary alveolar proteinosis in a patient with a slow resolving pneumonia: A case report.
Respir Med Case Rep. 2013 Jun 26;10:1-3. doi: 10.1016/j.rmcr.2013.06.001. eCollection 2013.

本文引用的文献

1
Whole lung lavage: the salvage therapy for pulmonary alveolar proteinosis.
Indian J Chest Dis Allied Sci. 2007 Jan-Mar;49(1):41-4.
3
Pulmonary alveolar proteinosis.
N Engl J Med. 2003 Dec 25;349(26):2527-39. doi: 10.1056/NEJMra023226.
4
Pulmonary alveolar proteinosis.
N Engl J Med. 1958 Jun 5;258(23):1123-42. doi: 10.1056/NEJM195806052582301.
5
Pulmonary alveolar proteinosis: progress in the first 44 years.
Am J Respir Crit Care Med. 2002 Jul 15;166(2):215-35. doi: 10.1164/rccm.2109105.
6
Secondary alveolar proteinosis in cancer patients.
Support Care Cancer. 1996 Nov;4(6):420-6. doi: 10.1007/BF01880639.

文献AI研究员

20分钟写一篇综述,助力文献阅读效率提升50倍。

立即体验

用中文搜PubMed

大模型驱动的PubMed中文搜索引擎

马上搜索

文档翻译

学术文献翻译模型,支持多种主流文档格式。

立即体验