Thosre Deepika, Mulay Sanjyot
Department of Conservative Dentistry, Endodontics and Aesthetic Dentistry, Dr. D. Y. Patil Dental College and Hospital, Pimpri, Pune - 411 018, India.
J Conserv Dent. 2009 Oct;12(4):164-8. doi: 10.4103/0972-0707.58342.
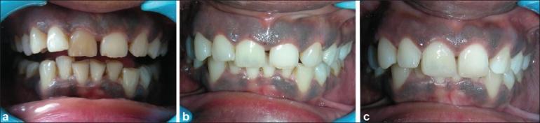
This article presents clinical cases in which different bleaching modalities have been used to successfully treat unsightly teeth. Depending upon the type and severity of discoloration, in-office vital and nonvital bleaching procedures were carried out. Discoloration of a single tooth has been managed using nonvital bleaching alone or with a combination of other minimally invasive modalities for an acceptable esthetic outcome. The case selection was done by considering the patient's needs and expectations, the type and cause of discoloration and patient economics. Moreover, prime importance was given to the conservation of the existing tooth structure and acquiring a complete change in the shade of teeth, which was comparable to that of the adjacent teeth. The desire to have a bright smile has become an important esthetic need of patients. The article explores various forms of bleaching and their successful usage in day-to-day clinical practice.
本文介绍了使用不同漂白方式成功治疗牙齿美观问题的临床案例。根据变色的类型和严重程度,进行了诊室活髓和非活髓漂白程序。单颗牙齿的变色已通过单独使用非活髓漂白或与其他微创方式联合使用来实现可接受的美学效果。病例选择是通过考虑患者的需求和期望、变色的类型和原因以及患者的经济状况来进行的。此外,首要重点是保留现有的牙齿结构,并使牙齿颜色发生与相邻牙齿相当的完全变化。拥有灿烂笑容的愿望已成为患者重要的美学需求。本文探讨了各种漂白形式及其在日常临床实践中的成功应用。