Suppr超能文献

成年男性在儿童期具有身体攻击性的大脑 5-羟色胺合成:一项 21 年的纵向研究。

Brain serotonin synthesis in adult males characterized by physical aggression during childhood: a 21-year longitudinal study.

机构信息

Department of Psychiatry, McGill University, Montreal, Canada.

出版信息

PLoS One. 2010 Jun 22;5(6):e11255. doi: 10.1371/journal.pone.0011255.

Abstract

BACKGROUND

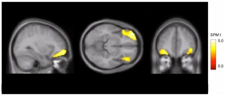
Adults exhibiting severe impulsive and aggressive behaviors have multiple indices of low serotonin (5-HT) neurotransmission. It remains unclear though whether low 5-HT mediates the behavior or instead reflects a pre-existing vulnerability trait.

METHODOLOGY/PRINCIPAL FINDINGS: In the present study, positron emission tomography with the tracer alpha-[(11)C]methyl-L-tryptophan ((11)C-AMT) was used to compare 5-HT synthesis capacity in two groups of adult males from a 21-year longitudinal study (mean age +/- SD: 27.1+/-0.7): individuals with a history of childhood-limited high physical aggression (C-LHPA; N = 8) and individuals with normal (low) patterns of physical aggression (LPA; N = 18). The C-LHPA males had significantly lower trapping of (11)C-AMT bilaterally in the orbitofrontal cortex and self-reported more impulsiveness. Despite this, in adulthood there were no group differences in plasma tryptophan levels, genotyping, aggression, emotional intelligence, working memory, computerized measures of impulsivity, psychosocial functioning/adjustment, and personal and family history of mood and substance abuse disorders.

CONCLUSIONS/SIGNIFICANCE: These results force a re-examination of the low 5-HT hypothesis as central in the biology of violence. They suggest that low 5-HT does not mediate current behavior and should be considered a vulnerability factor for impulsive-aggressive behavior that may or may not be expressed depending on other biological factors, experience, and environmental support during development.

摘要

背景

表现出严重冲动和攻击性行为的成年人有多个低血清素(5-HT)神经传递的指标。不过,低 5-HT 是否介导行为,还是反映了预先存在的脆弱特质,目前还不清楚。

方法/主要发现:在本研究中,使用正电子发射断层扫描与示踪剂 alpha-[(11)C]甲基-L-色氨酸 ((11)C-AMT) 比较了来自 21 年纵向研究的两组成年男性的 5-HT 合成能力(平均年龄 +/- SD:27.1+/-0.7):有儿童期有限高身体攻击史的个体(C-LHPA;N=8)和正常(低)身体攻击模式的个体(LPA;N=18)。C-LHPA 男性双侧眶额皮质对 (11)C-AMT 的捕获明显较低,并且自我报告的冲动性更高。尽管如此,在成年期,两组在血浆色氨酸水平、基因分型、攻击性、情绪智力、工作记忆、冲动性的计算机测量、心理社会功能/适应、个人和家庭的情绪和物质滥用障碍史方面没有差异。

结论/意义:这些结果迫使重新审视低 5-HT 假说作为暴力生物学的核心。它们表明,低 5-HT 并不介导当前的行为,应被视为冲动攻击行为的脆弱因素,这种行为可能表现出来,也可能不表现出来,这取决于其他生物因素、经验以及在发育过程中的环境支持。

https://cdn.ncbi.nlm.nih.gov/pmc/blobs/08a8/2889822/fde452255003/pone.0011255.g001.jpg

文献AI研究员

20分钟写一篇综述,助力文献阅读效率提升50倍。

立即体验

用中文搜PubMed

大模型驱动的PubMed中文搜索引擎

马上搜索

文档翻译

学术文献翻译模型,支持多种主流文档格式。

立即体验