Suppr超能文献

前列腺癌中 ERG 癌基因蛋白的表达:ERG 阳性肿瘤细胞的克隆演进及基于 ERG 的分层潜能。

ERG oncoprotein expression in prostate cancer: clonal progression of ERG-positive tumor cells and potential for ERG-based stratification.

机构信息

Department of Genitourinary Pathology, Armed Forces Institute of Pathology, Washington, DC, USA.

出版信息

Prostate Cancer Prostatic Dis. 2010 Sep;13(3):228-37. doi: 10.1038/pcan.2010.23. Epub 2010 Jun 29.

Abstract

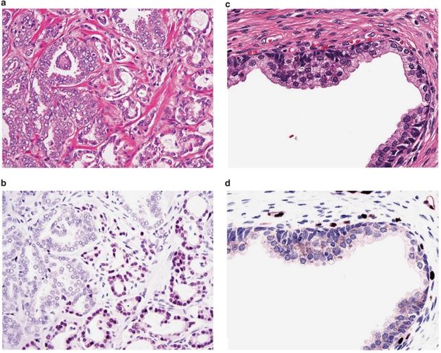
Gene fusions prevalent in prostate cancer (CaP) lead to the elevated expression of the ERG proto-oncogene. ERG activation present in 50-70% of prostate tumors underscores one of the most common oncogenic alterations in CaP. Despite numerous reports of gene fusions and mRNA expression, ERG oncoprotein status in CaP still remains to be defined. Furthermore, development of ERG protein-based assays may provide a new dimension to evaluation of gene fusions involving diverse androgen-regulated promoters and the ERG protein-coding sequence. Through exhaustive evaluations of 132 whole-mount prostates (261 tumor foci and over 200 000 benign glands) for the ERG oncoprotein nuclear expression, we demonstrated 99.9% specificity for detecting prostate tumor cells using a highly specific anti-ERG monoclonal antibody. The ERG oncoprotein expression correlated well with fusion transcript or gene fusion in randomly selected specimens. Strong concordance of ERG-positive foci of prostatic intraepithelial neoplasia (PIN) with ERG-positive carcinoma (82 out of 85 sections with PIN, 96.5%) affirms the biological role of ERG in clonal selection of prostate tumors in 65% (86 out of 132) of patients. Conversely, ERG negative PINs were associated with ERG-negative carcinoma. Taken together, the homogeneous and strong ERG expression detected in individual tumors establishes the potential for ERG oncoprotein-based stratification of CaP.

摘要

前列腺癌(CaP)中常见的基因融合导致 ERG 原癌基因的表达升高。ERG 在 50-70%的前列腺肿瘤中的激活强调了 CaP 中最常见的致癌改变之一。尽管有大量关于基因融合和 mRNA 表达的报道,但 CaP 中的 ERG 癌蛋白状态仍有待确定。此外,开发基于 ERG 蛋白的检测方法可能为评估涉及多种雄激素调节启动子和 ERG 蛋白编码序列的基因融合提供新的维度。通过对 132 个全层前列腺(261 个肿瘤灶和 200,000 多个良性腺体)进行 ERG 癌蛋白核表达的详尽评估,我们使用高度特异性的抗-ERG 单克隆抗体证明了检测前列腺肿瘤细胞的 99.9%特异性。ERG 癌蛋白表达与随机选择的标本中的融合转录本或基因融合密切相关。前列腺上皮内瘤变(PIN)的 ERG 阳性病灶与 ERG 阳性癌(85 个 PIN 中有 82 个,96.5%)具有很强的一致性,这证实了 ERG 在 65%(132 个中有 86 个)患者中对前列腺肿瘤克隆选择的生物学作用。相反,ERG 阴性的 PIN 与 ERG 阴性的癌相关。总的来说,在单个肿瘤中检测到的同质和强 ERG 表达为基于 ERG 癌蛋白对 CaP 进行分层奠定了基础。

https://cdn.ncbi.nlm.nih.gov/pmc/blobs/3024/3010744/760ed91641ac/pcan201023f1.jpg

文献AI研究员

20分钟写一篇综述,助力文献阅读效率提升50倍。

立即体验

用中文搜PubMed

大模型驱动的PubMed中文搜索引擎

马上搜索

文档翻译

学术文献翻译模型,支持多种主流文档格式。

立即体验