Department of Obstetrics and Gynecology, Shengjing Hospital of China Medical University, Shenyang 110004, China.
J Exp Clin Cancer Res. 2010 Jun 30;29(1):85. doi: 10.1186/1756-9966-29-85.
To determine the expression of bone morphogenetic protein-2 (BMP-2) and its receptors BMPRIA, BMPRIB, and BMPRII in epithelial ovarian cancer (EOC) and to analyze their influence on the prognosis of ovarian cancer patients.
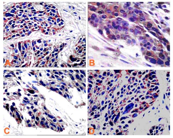
Semi-quantitative RT-PCR and western blot were applied to detect the expression of BMP-2 and its receptors BMPRIA, BMPRIB, and BMPRII in EOC, benign ovarian tumors, and normal ovarian tissue at the mRNA and protein levels. Immunohistochemistry was used to determine the expression of BMP-2 and its receptors in 100 patients with EOC to analyze their influence on the five-year survival rate and survival time of ovarian cancer patients.
(1) The mRNA and protein expression levels of BMP-2, BMPRIB, and BMPRII in ovarian cancer tissue were remarkably lower than those in benign ovarian tumors and normal ovarian tissue, while no significant differences in BMPRIA expression level was found among the three kinds of tissues. (2) The five-year survival rate and the average survival time after surgery of EOC patients with positive expression of BMP-2, BMPRIB, and BMPRII were remarkably higher than those of patients with negative expression of BMP-2, BMPRIB, and BMPRII. BMPRIA expression was not associated with the five-year survival rate or with the average survival time of ovarian cancer patients.
BMP-2, BMPRIB, and BMPRII exhibited low expression in EOC tissue, and variation or loss of expression may indicate poor prognosis for ovarian cancer patients.
为了确定骨形态发生蛋白-2(BMP-2)及其受体 BMPRIA、BMPRIB 和 BMPRII 在卵巢上皮性癌(EOC)中的表达,并分析它们对卵巢癌患者预后的影响。
采用半定量 RT-PCR 和 Western blot 法检测 BMP-2 及其受体 BMPRIA、BMPRIB 和 BMPRII 在 EOC、良性卵巢肿瘤和正常卵巢组织中的 mRNA 和蛋白表达水平。免疫组化法检测 100 例 EOC 患者中 BMP-2 及其受体的表达,分析其对卵巢癌患者 5 年生存率和生存时间的影响。
(1)BMP-2、BMPRIB 和 BMPRII 在卵巢癌组织中的 mRNA 和蛋白表达水平明显低于良性卵巢肿瘤和正常卵巢组织,而 BMPRIA 表达水平在三种组织中无显著差异。(2)BMP-2、BMPRIB 和 BMPRII 阳性表达的 EOC 患者的 5 年生存率和术后平均生存时间明显高于 BMP-2、BMPRIB 和 BMPRII 阴性表达的患者。BMPRIA 表达与卵巢癌患者的 5 年生存率或平均生存时间无关。
BMP-2、BMPRIB 和 BMPRII 在 EOC 组织中低表达,其表达的改变或缺失可能预示着卵巢癌患者预后不良。