• 文献检索
  • 文档翻译
  • 深度研究
  • 学术资讯
  • Suppr Zotero 插件Zotero 插件
  • 邀请有礼
  • 套餐&价格
  • 历史记录
应用&插件
Suppr Zotero 插件Zotero 插件浏览器插件Mac 客户端Windows 客户端微信小程序
定价
高级版会员购买积分包购买API积分包
服务
文献检索文档翻译深度研究API 文档MCP 服务
关于我们
关于 Suppr公司介绍联系我们用户协议隐私条款
关注我们

Suppr 超能文献

核心技术专利:CN118964589B侵权必究
粤ICP备2023148730 号-1Suppr @ 2026

文献检索

告别复杂PubMed语法,用中文像聊天一样搜索,搜遍4000万医学文献。AI智能推荐,让科研检索更轻松。

立即免费搜索

文件翻译

保留排版,准确专业,支持PDF/Word/PPT等文件格式,支持 12+语言互译。

免费翻译文档

深度研究

AI帮你快速写综述,25分钟生成高质量综述,智能提取关键信息,辅助科研写作。

立即免费体验

Leigh病:一名患有亚急性坏死性脑脊髓病的两岁儿童的急性临床病程

Leigh's Disease: The Acute Clinical Course of a Two-Year-Old Child with Subacute Necrotizing Encephalomyelopathy.

作者信息

Zinka Bettina, Buettner Andreas, Graw Matthias

机构信息

Institute of Legal Medicine, University of Munich, Nussbaumstrasse 26, 80336 Munich, Germany.

出版信息

Case Rep Med. 2010;2010:986302. doi: 10.1155/2010/986302. Epub 2010 Jun 10.

DOI:10.1155/2010/986302
PMID:20593000
原文链接:https://pmc.ncbi.nlm.nih.gov/articles/PMC2892709/
Abstract

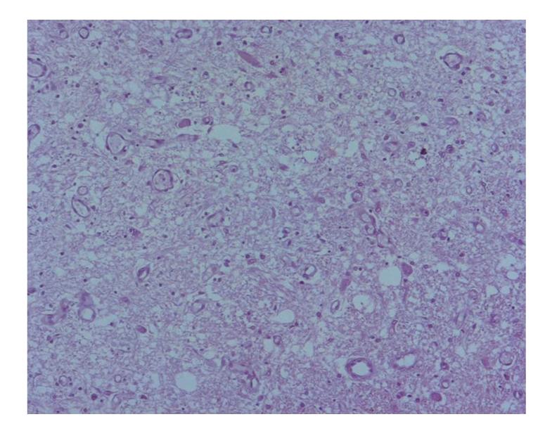
We report the untypical clinical course of a previously healthy two-year-old girl, who died suddenly and unexpectedly after an episode of vomiting. At forensic autopsy no other pathological findings could be diagnosed than multiple reddish, sunken areas in brain stem, mesencephalon, and pons. Histologically they presented as areas of spongiosis of the neuropil with prominent endothelial hyperplasia and vascular proliferation whereas nerve cells were well preserved. On the basis of the characteristic neuropathological findings in combination with the age of the child, we had to take into consideration that the child might have died from subacute necrotizing encephalomyelopathy (Leigh's Disease) despite the untypical, fulminant clinical course.

摘要

我们报告了一名此前健康的两岁女童的非典型临床病程,她在一次呕吐发作后突然意外死亡。法医尸检时,除了脑干、中脑和脑桥出现多个微红、凹陷区域外,未发现其他病理结果。组织学上,这些区域表现为神经纤维海绵状变,伴有显著的内皮细胞增生和血管增殖,而神经细胞保存完好。基于这些特征性的神经病理学发现以及患儿的年龄,尽管临床病程不典型且呈暴发性,我们仍不得不考虑该患儿可能死于亚急性坏死性脑脊髓病( Leigh病)。

https://cdn.ncbi.nlm.nih.gov/pmc/blobs/3c04/2892709/74a719681444/CRM2010-986302.003.jpg
https://cdn.ncbi.nlm.nih.gov/pmc/blobs/3c04/2892709/2afc6a3a9c12/CRM2010-986302.001.jpg
https://cdn.ncbi.nlm.nih.gov/pmc/blobs/3c04/2892709/55a21a394f14/CRM2010-986302.002.jpg
https://cdn.ncbi.nlm.nih.gov/pmc/blobs/3c04/2892709/74a719681444/CRM2010-986302.003.jpg
https://cdn.ncbi.nlm.nih.gov/pmc/blobs/3c04/2892709/2afc6a3a9c12/CRM2010-986302.001.jpg
https://cdn.ncbi.nlm.nih.gov/pmc/blobs/3c04/2892709/55a21a394f14/CRM2010-986302.002.jpg
https://cdn.ncbi.nlm.nih.gov/pmc/blobs/3c04/2892709/74a719681444/CRM2010-986302.003.jpg

相似文献

1
Leigh's Disease: The Acute Clinical Course of a Two-Year-Old Child with Subacute Necrotizing Encephalomyelopathy.Leigh病:一名患有亚急性坏死性脑脊髓病的两岁儿童的急性临床病程
Case Rep Med. 2010;2010:986302. doi: 10.1155/2010/986302. Epub 2010 Jun 10.
2
Neuronal degeneration in subacute necrotizing encephalomyelopathy (Leigh's disease). Case report.亚急性坏死性脑脊髓病(利氏病)中的神经元变性。病例报告。
APMIS. 1995 Jan;103(1):54-8. doi: 10.1111/j.1699-0463.1995.tb01079.x.
3
[An adult case of Leigh's subacute necrotizing encephalomyelopathy].[一例成人 Leigh 亚急性坏死性脑脊髓病病例]
Rev Neurol (Paris). 1988;144(4):259-65.
4
[Leigh's subacute necrotizing encephalomyelopathy due to decreased activity of the pyruvate dehydrogenase complex].丙酮酸脱氢酶复合体活性降低所致 Leigh 亚急性坏死性脑脊髓病
Monatsschr Kinderheilkd. 1987 Dec;135(12):821-6.
5
Subacute necrotizing encephalomyelopathy (Leigh's disease): report of a case.
J Formos Med Assoc. 1990 Sep;89(9):799-802.
6
[Subacute necrotizing encephalomyelopathy (Leigh's disease) (author's transl)].
Monatsschr Kinderheilkd (1902). 1975 Feb;123(2):84-90.
7
Juvenile Leigh's encephalomyelopathy with peripheral neuropathy, myopathy, and cardiomyopathy.伴有周围神经病、肌病和心肌病的青少年 Leigh 脑脊髓病
J Child Neurol. 1991 Apr;6(2):159-63. doi: 10.1177/088307389100600214.
8
Biochemical study in 28 children with lactic acidosis, in relation to Leigh's encephalomyelopathy.对28例患有乳酸酸中毒且与 Leigh 脑脊髓病相关的儿童进行的生化研究。
Eur J Pediatr. 1985 Mar;143(4):278-83. doi: 10.1007/BF00442301.
9
Subacute necrotizing encephalomyelopathy (Leigh's disease): clinical correlations with computerized tomography in the diagnosis of the juvenile and adult forms.
Acta Neurol Scand. 1987 Mar;75(3):214-7. doi: 10.1111/j.1600-0404.1987.tb07920.x.
10
X-linked Leigh's syndrome.X连锁 Leigh 综合征
Hum Genet. 1982;62(1):52-9. doi: 10.1007/BF00295603.

引用本文的文献

1
Leigh Syndrome Mimicking Wernicke's Encephalopathy: A Case Report.酷似韦尼克脑病的 Leigh 综合征:一例报告
Taehan Yongsang Uihakhoe Chi. 2020 Nov;81(6):1478-1485. doi: 10.3348/jksr.2019.0197. Epub 2020 Sep 1.
2
Defined neuronal populations drive fatal phenotype in a mouse model of Leigh syndrome.特定神经元群体驱动 Leigh 综合征小鼠模型中的致死表型。
Elife. 2019 Aug 12;8:e47163. doi: 10.7554/eLife.47163.

本文引用的文献

1
MtDNA mutations are a common cause of severe disease phenotypes in children with Leigh syndrome.线粒体DNA(MtDNA)突变是患有 Leigh 综合征儿童出现严重疾病表型的常见原因。
Biochim Biophys Acta. 2009 May;1787(5):484-90. doi: 10.1016/j.bbabio.2008.11.014. Epub 2008 Dec 6.
2
[Mitochondrial diseases in children including Leigh syndrome--biochemical and molecular background].[儿童线粒体疾病,包括 Leigh 综合征——生化与分子背景]
Postepy Biochem. 2008;54(2):161-8.
3
Atypical presentations of leigh syndrome: a case series and review.Leigh综合征的非典型表现:病例系列及综述
Pediatr Neurol. 2005 May;32(5):334-40. doi: 10.1016/j.pediatrneurol.2004.12.009.
4
Leigh's syndrome.Leigh综合征
Indian J Pediatr. 2004 Nov;71(11):1029-33. doi: 10.1007/BF02828121.
5
Subacute necrotizing encephalomyelopathy in an infant.一名婴儿的亚急性坏死性脑脊髓病
J Neurol Neurosurg Psychiatry. 1951 Aug;14(3):216-21. doi: 10.1136/jnnp.14.3.216.
6
A new mitochondrial DNA mutation in ND3 gene causing severe Leigh syndrome with early lethality.ND3基因中的一种新的线粒体DNA突变导致严重的 Leigh 综合征并伴有早期致死性。
Pediatr Res. 2004 May;55(5):842-6. doi: 10.1203/01.PDR.0000117844.73436.68. Epub 2004 Feb 5.
7
Cytochrome c oxidase partial deficiency-associated Leigh disease presenting as an extrapyramidal syndrome.表现为锥体外系综合征的细胞色素c氧化酶部分缺乏相关的 Leigh 病
J Child Neurol. 2001 Aug;16(8):616-9. doi: 10.1177/088307380101600818.
8
Leigh disease: clinical, neuroradiologic, and biochemical study of three new cases with cytochrome c oxidase deficiency.
J Child Neurol. 2001 Aug;16(8):608-13. doi: 10.1177/088307380101600816.
9
[Newborn infant with cerebral symptoms. Leigh disease].[患有脑部症状的新生儿。 Leigh 病]
Radiologe. 1996 Jul;36(7):591-2. doi: 10.1007/s001170050115.
10
[Adult Leigh syndrome. A rare differential diagnosis of central respiratory insufficiency].[成人 Leigh 综合征。中枢性呼吸功能不全的一种罕见鉴别诊断]
Nervenarzt. 1995 Feb;66(2):144-9.