Suppr超能文献

良性和恶性前列腺组织中的 HIF1alpha 异构体及其与神经内分泌分化的相关性。

HIF1alpha isoforms in benign and malignant prostate tissue and their correlation to neuroendocrine differentiation.

机构信息

Department of Laboratory Medicine, Division of Pathology, Lund University Hospital, Sweden.

出版信息

BMC Cancer. 2010 Jul 21;10:385. doi: 10.1186/1471-2407-10-385.

Abstract

BACKGROUND

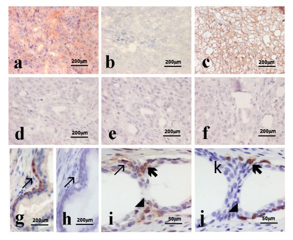
Neuroendocrine (NE) differentiation in prostate cancer has been correlated with a poor prognosis and hormone refractory disease. In a previous report, we demonstrated the presence of immunoreactive cytoplasmic hypoxia inducible factor 1alpha (HIF1alpha), in both benign and malignant NE prostate cells. HIF1alpha and HIF1beta are two subunits of HIF1, a transcription factor important for angiogenesis. The aim of this study was to elucidate whether the cytoplasmic stabilization of HIF1alpha in androgen independent NE differentiated prostate cancer is due to the presence of certain HIF1alpha isoforms.

METHODS

We studied the HIF1alpha isoforms present in 8 cases of benign prostate hyperplasia (BPH) and 43 cases of prostate cancer with and without NE differentiation using RT-PCR, sequencing analysis, immunohistochemistry and in situ hybridization.

RESULTS

We identified multiple isoforms in both benign and malignant prostate tissues. One of these isoforms, HIF1alpha1.2, which was previously reported to be testis specific, was found in 86% of NE-differentiated prostate tumors, 92% of HIF1alpha immunoreactive prostate tumors and 100% of cases of benign prostate hyperplasia. Immunohistochemistry and in situ hybridization results showed that this isoform corresponds to the cytoplasmic HIF1alpha present in androgen-independent NE cells of benign and malignant prostate tissue and co-localizes with immunoreactive cytoplasmic HIF1beta.

CONCLUSION

Our results indicate that the cytoplasmic stabilization of HIF1alpha in NE-differentiated cells in benign and malignant prostate tissue is due to presence of an HIF1alpha isoform, HIF1alpha1.2. Co-localization of this isoform with HIF1beta indicates that the HIF1alpha1.2 isoform might sequester HIF1beta in the cytoplasm.

摘要

背景

前列腺癌中的神经内分泌(NE)分化与预后不良和激素难治性疾病相关。在之前的报告中,我们证明了在良性和恶性 NE 前列腺细胞中都存在免疫反应性细胞质缺氧诱导因子 1alpha(HIF1alpha)。HIF1alpha 和 HIF1beta 是 HIF1 的两个亚基,HIF1 是血管生成的重要转录因子。本研究的目的是阐明雄激素非依赖性 NE 分化前列腺癌中 HIF1alpha 的细胞质稳定是否归因于某些 HIF1alpha 同工型的存在。

方法

我们使用 RT-PCR、测序分析、免疫组织化学和原位杂交研究了 8 例良性前列腺增生(BPH)和 43 例有和无 NE 分化的前列腺癌中存在的 HIF1alpha 同工型。

结果

我们在良性和恶性前列腺组织中鉴定出多种同工型。其中一种同工型 HIF1alpha1.2,以前被报道为睾丸特异性,在 86%的 NE 分化前列腺肿瘤、92%的 HIF1alpha 免疫反应性前列腺肿瘤和 100%的良性前列腺增生中都有发现。免疫组织化学和原位杂交结果表明,该同工型与雄激素非依赖性良性和恶性前列腺组织的 NE 细胞中存在的细胞质 HIF1alpha 相对应,并且与免疫反应性细胞质 HIF1beta 共定位。

结论

我们的结果表明,良性和恶性前列腺组织中 NE 分化细胞中 HIF1alpha 的细胞质稳定是由于存在 HIF1alpha 同工型 HIF1alpha1.2 所致。该同工型与 HIF1beta 的共定位表明,HIF1alpha1.2 同工型可能将 HIF1beta 隔离在细胞质中。

https://cdn.ncbi.nlm.nih.gov/pmc/blobs/3945/2913964/445e6b2a9de0/1471-2407-10-385-1.jpg

文献AI研究员

20分钟写一篇综述,助力文献阅读效率提升50倍。

立即体验

用中文搜PubMed

大模型驱动的PubMed中文搜索引擎

马上搜索

文档翻译

学术文献翻译模型,支持多种主流文档格式。

立即体验