Suppr超能文献

Double aortic arches, esophageal atresia and tracheal compression.

作者信息

Majid Yameen, Warade Monali, Aziz Zarina, Karthik G A

机构信息

Department of Radiodiagnosis, Narayana Hrudayalaya, Institute of Medical Sciences, Bangalore, India.

出版信息

J Indian Assoc Pediatr Surg. 2009 Apr;14(2):70-2. doi: 10.4103/0971-9261.55157.

Abstract

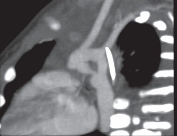
We report a case of double aortic arch in a 12-month-old male infant well delineated on 64 slice computed tomography scan. It formed a complete vascular ring around the trachea compressing it. The symptoms resolved after surgical division of the ring.

摘要
https://cdn.ncbi.nlm.nih.gov/pmc/blobs/fa74/2905536/c50f25af3afc/JIAPS-14-70-g001.jpg

文献AI研究员

20分钟写一篇综述,助力文献阅读效率提升50倍。

立即体验

用中文搜PubMed

大模型驱动的PubMed中文搜索引擎

马上搜索

文档翻译

学术文献翻译模型,支持多种主流文档格式。

立即体验