Suppr超能文献

[肺胸膜母细胞瘤:临床病理分析]

[Pleuropulmonary blastoma: a clinicopathological analysis].

作者信息

Chen Shigao, Wang Shifeng, Gao Jun, Zhang Shangfu

机构信息

Department of Pathology, West China Hospital of Sichuan University, Chengdu 610041, China.

出版信息

Zhongguo Fei Ai Za Zhi. 2010 May;13(5):550-3. doi: 10.3779/j.issn.1009-3419.2010.05.31.

Abstract

BACKGROUND AND OBJECTIVE

Pleuropulmonary blastoma (PPB) is a rare malignant tumor with unique clinicopathological features. The aim of this study is to investigate the clinicopathological features, the diagnosis and differential diagnosis of pleuropulmonary blastoma.

METHODS

Five cases of PPB were analyzed by light microscopy, immunohistochemistry and their clinical data, and the relative literatures were reviewed.

RESULTS

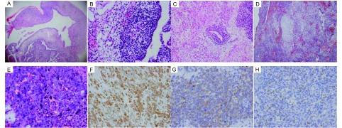
Five cases of patients suffered from PPB were aged from 21 to 47 months (mean 32.8 months). Most of the masses were located in the thoracic cavities and 4 cases accompanied with pleural effusions. Histologically, these tumors included 1 case of type I PPB which showed pure cystic architecture; 2 cases were type II PPB which showed cystic and solid masses accompanied with rhabdomyoblastic differentiation and nodules of cartilage; the other 2 cases were type III PPB and characterized by absolute solid masses with anaplastic undifferentiated sarcomatous components. Immunohistochemical studies showed that tumor cells were positive for Vimentin and some for Desmin and Myogenin, the nodules of cartilage were positive for S-100. The tumor cells were negative for PCK, EMA and CD99.

CONCLUSION

Pleuropulmonary blastoma is a rare and highly aggressive malignancy arising in the lung and pleural of infancy and early childhood. The type I, II and III PPB have unique clinicopathological features respectively. This kind of tumor should be distinguished from some benign and malignant diseases such as congenital cystic adenomatoid malformation (CCAM) and embryonal rhabdomyosarcoma.

摘要

背景与目的

胸膜肺母细胞瘤(PPB)是一种具有独特临床病理特征的罕见恶性肿瘤。本研究旨在探讨胸膜肺母细胞瘤的临床病理特征、诊断及鉴别诊断。

方法

对5例PPB患者进行光镜、免疫组化分析及临床资料分析,并复习相关文献。

结果

5例PPB患者年龄为21至47个月(平均32.8个月)。多数肿块位于胸腔,4例伴有胸腔积液。组织学上,这些肿瘤包括1例I型PPB,表现为单纯囊性结构;2例为II型PPB,表现为囊性和实性肿块,伴有横纹肌母细胞分化及软骨结节;另外2例为III型PPB,特征为完全实性肿块,伴有间变性未分化肉瘤成分。免疫组化研究显示,肿瘤细胞波形蛋白阳性,部分结蛋白和肌细胞生成素阳性,软骨结节S-100阳性。肿瘤细胞细胞角蛋白、上皮膜抗原和CD99阴性。

结论

胸膜肺母细胞瘤是一种罕见的、具有高度侵袭性的恶性肿瘤,发生于婴幼儿的肺和胸膜。I型、II型和III型PPB分别具有独特的临床病理特征。这种肿瘤应与一些良性和恶性疾病如先天性囊性腺瘤样畸形(CCAM)和胚胎性横纹肌肉瘤相鉴别。

https://cdn.ncbi.nlm.nih.gov/pmc/blobs/801c/6000696/7260984f575c/zgfazz-13-5-550-1.jpg

文献检索

告别复杂PubMed语法,用中文像聊天一样搜索,搜遍4000万医学文献。AI智能推荐,让科研检索更轻松。

立即免费搜索

文件翻译

保留排版,准确专业,支持PDF/Word/PPT等文件格式,支持 12+语言互译。

免费翻译文档

深度研究

AI帮你快速写综述,25分钟生成高质量综述,智能提取关键信息,辅助科研写作。

立即免费体验