• 文献检索
  • 文档翻译
  • 深度研究
  • 学术资讯
  • Suppr Zotero 插件Zotero 插件
  • 邀请有礼
  • 套餐&价格
  • 历史记录
应用&插件
Suppr Zotero 插件Zotero 插件浏览器插件Mac 客户端Windows 客户端微信小程序
定价
高级版会员购买积分包购买API积分包
服务
文献检索文档翻译深度研究API 文档MCP 服务
关于我们
关于 Suppr公司介绍联系我们用户协议隐私条款
关注我们

Suppr 超能文献

核心技术专利:CN118964589B侵权必究
粤ICP备2023148730 号-1Suppr @ 2026

文献检索

告别复杂PubMed语法,用中文像聊天一样搜索,搜遍4000万医学文献。AI智能推荐,让科研检索更轻松。

立即免费搜索

文件翻译

保留排版,准确专业,支持PDF/Word/PPT等文件格式,支持 12+语言互译。

免费翻译文档

深度研究

AI帮你快速写综述,25分钟生成高质量综述,智能提取关键信息,辅助科研写作。

立即免费体验

家蚕多核型多角体病毒基因组片段 1 和 3 编码的两个衣壳蛋白的分子特征。

Molecular characterization of genome segments 1 and 3 encoding two capsid proteins of Antheraea mylitta cytoplasmic polyhedrosis virus.

机构信息

Department of Biotechnology, Indian Institute of Technology Kharagpur, Kharagpur, West Bengal, India.

出版信息

Virol J. 2010 Aug 4;7:181. doi: 10.1186/1743-422X-7-181.

DOI:10.1186/1743-422X-7-181
PMID:20684765
原文链接:https://pmc.ncbi.nlm.nih.gov/articles/PMC2927528/
Abstract

BACKGROUND

Antheraea mylitta cytoplasmic polyhedrosis virus (AmCPV), a cypovirus of Reoviridae family, infects Indian non-mulberry silkworm, Antheraea mylitta, and contains 11 segmented double stranded RNA (S1-S11) in its genome. Some of its genome segments (S2 and S6-S11) have been previously characterized but genome segments encoding viral capsid have not been characterized.

RESULTS

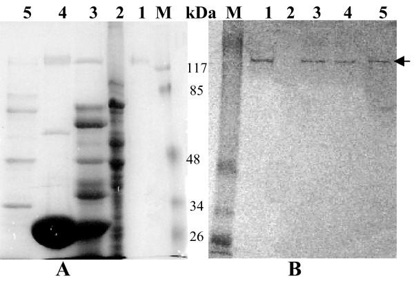
In this study genome segments 1 (S1) and 3 (S3) of AmCPV were converted to cDNA, cloned and sequenced. S1 consisted of 3852 nucleotides, with one long ORF of 3735 nucleotides and could encode a protein of 1245 amino acids with molecular mass of approximately 141 kDa. Similarly, S3 consisted of 3784 nucleotides having a long ORF of 3630 nucleotides and could encode a protein of 1210 amino acids with molecular mass of approximately 137 kDa. BLAST analysis showed 20-22% homology of S1 and S3 sequence with spike and capsid proteins, respectively, of other closely related cypoviruses like Bombyx mori CPV (BmCPV), Lymantria dispar CPV (LdCPV), and Dendrolimus punctatus CPV (DpCPV). The ORFs of S1 and S3 were expressed as 141 kDa and 137 kDa insoluble His-tagged fusion proteins, respectively, in Escherichia coli M15 cells via pQE-30 vector, purified through Ni-NTA chromatography and polyclonal antibodies were raised. Immunoblot analysis of purified polyhedra, virion particles and virus infected mid-gut cells with the raised anti-p137 and anti-p141 antibodies showed specific immunoreactive bands and suggest that S1 and S3 may code for viral structural proteins. Expression of S1 and S3 ORFs in insect cells via baculovirus recombinants showed to produce viral like particles (VLPs) by transmission electron microscopy. Immunogold staining showed that S3 encoded proteins self assembled to form viral outer capsid and VLPs maintained their stability at different pH in presence of S1 encoded protein.

CONCLUSION

Our results of cloning, sequencing and functional analysis of AmCPV S1 and S3 indicate that S3 encoded viral structural proteins can self assemble to form viral outer capsid and S1 encoded protein remains associated with it as inner capsid to maintain the stability. Further studies will help to understand the molecular mechanism of capsid formation during cypovirus replication.

摘要

背景

野桑蚕质型多角体病毒(AmCPV)是呼肠孤病毒科的质型多角体病毒,感染印度非桑蚕野桑蚕,基因组中含有 11 个分段双链 RNA(S1-S11)。其部分基因组片段(S2 和 S6-S11)已被鉴定,但编码病毒衣壳的基因组片段尚未被鉴定。

结果

本研究将野桑蚕质型多角体病毒的基因组片段 1(S1)和 3(S3)转化为 cDNA,进行克隆和测序。S1 由 3852 个核苷酸组成,具有一个长的 ORF(3735 个核苷酸),可编码 1245 个氨基酸的蛋白质,分子量约为 141kDa。同样,S3 由 3784 个核苷酸组成,具有一个长的 ORF(3630 个核苷酸),可编码 1210 个氨基酸的蛋白质,分子量约为 137kDa。BLAST 分析显示,S1 和 S3 序列与其他密切相关的质型多角体病毒(如家蚕质型多角体病毒(BmCPV)、舞毒蛾质型多角体病毒(LdCPV)和马尾松毛虫质型多角体病毒(DpCPV)的刺突和衣壳蛋白分别具有 20-22%的同源性。通过 pQE-30 载体在大肠杆菌 M15 细胞中表达 S1 和 S3 的 ORF,分别表达为不溶性 His 标记融合蛋白 141kDa 和 137kDa,通过 Ni-NTA 层析纯化,并制备多克隆抗体。用制备的抗 p137 和抗 p141 抗体对纯化的多角体、病毒粒子和病毒感染的中肠细胞进行免疫印迹分析,显示出特异性的免疫反应条带,表明 S1 和 S3 可能编码病毒结构蛋白。通过杆状病毒重组体在昆虫细胞中表达 S1 和 S3 的 ORF,通过透射电子显微镜显示产生病毒样颗粒(VLPs)。免疫金染色显示,S3 编码的蛋白自我组装形成病毒外壳,VLPs 在 S1 编码蛋白存在的情况下,在不同 pH 值下保持稳定。

结论

我们对野桑蚕质型多角体病毒 S1 和 S3 的克隆、测序和功能分析结果表明,S3 编码的病毒结构蛋白可以自我组装形成病毒外壳,而 S1 编码的蛋白作为内壳与之结合以保持其稳定性。进一步的研究将有助于了解质型多角体病毒复制过程中衣壳形成的分子机制。

https://cdn.ncbi.nlm.nih.gov/pmc/blobs/4770/2927528/975e324a2779/1743-422X-7-181-7.jpg
https://cdn.ncbi.nlm.nih.gov/pmc/blobs/4770/2927528/8a7c90e44c9e/1743-422X-7-181-1.jpg
https://cdn.ncbi.nlm.nih.gov/pmc/blobs/4770/2927528/3df2d7e50ee6/1743-422X-7-181-2.jpg
https://cdn.ncbi.nlm.nih.gov/pmc/blobs/4770/2927528/76e6077af8dd/1743-422X-7-181-3.jpg
https://cdn.ncbi.nlm.nih.gov/pmc/blobs/4770/2927528/199a4ecdd2b5/1743-422X-7-181-4.jpg
https://cdn.ncbi.nlm.nih.gov/pmc/blobs/4770/2927528/4102c6c55702/1743-422X-7-181-5.jpg
https://cdn.ncbi.nlm.nih.gov/pmc/blobs/4770/2927528/9bf3927e48b8/1743-422X-7-181-6.jpg
https://cdn.ncbi.nlm.nih.gov/pmc/blobs/4770/2927528/975e324a2779/1743-422X-7-181-7.jpg
https://cdn.ncbi.nlm.nih.gov/pmc/blobs/4770/2927528/8a7c90e44c9e/1743-422X-7-181-1.jpg
https://cdn.ncbi.nlm.nih.gov/pmc/blobs/4770/2927528/3df2d7e50ee6/1743-422X-7-181-2.jpg
https://cdn.ncbi.nlm.nih.gov/pmc/blobs/4770/2927528/76e6077af8dd/1743-422X-7-181-3.jpg
https://cdn.ncbi.nlm.nih.gov/pmc/blobs/4770/2927528/199a4ecdd2b5/1743-422X-7-181-4.jpg
https://cdn.ncbi.nlm.nih.gov/pmc/blobs/4770/2927528/4102c6c55702/1743-422X-7-181-5.jpg
https://cdn.ncbi.nlm.nih.gov/pmc/blobs/4770/2927528/9bf3927e48b8/1743-422X-7-181-6.jpg
https://cdn.ncbi.nlm.nih.gov/pmc/blobs/4770/2927528/975e324a2779/1743-422X-7-181-7.jpg

相似文献

1
Molecular characterization of genome segments 1 and 3 encoding two capsid proteins of Antheraea mylitta cytoplasmic polyhedrosis virus.家蚕多核型多角体病毒基因组片段 1 和 3 编码的两个衣壳蛋白的分子特征。
Virol J. 2010 Aug 4;7:181. doi: 10.1186/1743-422X-7-181.
2
Genome segment 5 of Antheraea mylitta cytoplasmic polyhedrosis virus encodes a bona fide guanylyltransferase.野桑蚕细胞质多角体病毒基因组片段 5 编码一个真正的鸟苷酸转移酶。
Virol J. 2014 Mar 21;11:53. doi: 10.1186/1743-422X-11-53.
3
Molecular cloning and characterization of Antheraea mylitta cytoplasmic polyhedrosis virus genome segment 9.柞蚕细胞质型多角体病毒基因组第9节段的分子克隆与特性分析
J Gen Virol. 2002 Jun;83(Pt 6):1483-1491. doi: 10.1099/0022-1317-83-6-1483.
4
Molecular cloning and characterization of Antheraea mylitta cytoplasmic polyhedrosis virus polyhedrin gene and its variant forms.蓖麻蚕细胞质多角体病毒多角体蛋白基因及其变异形式的分子克隆与特性分析
Biochem Biophys Res Commun. 2005 Jul 8;332(3):710-8. doi: 10.1016/j.bbrc.2005.05.011.
5
Molecular characterization of genome segment 2 encoding RNA dependent RNA polymerase of Antheraea mylitta cytoplasmic polyhedrosis virus.家蚕多核型多角体病毒基因组片段 2 编码 RNA 依赖性 RNA 聚合酶的分子特征。
Virology. 2010 Aug 15;404(1):21-31. doi: 10.1016/j.virol.2010.04.019. Epub 2010 May 20.
6
Genomic and biological characterization of a new cypovirus isolated from Dendrolimus punctatus.从马尾松毛虫中分离出的一种新型质型多角体病毒的基因组和生物学特性
PLoS One. 2014 Nov 24;9(11):e113201. doi: 10.1371/journal.pone.0113201. eCollection 2014.
7
Molecular cloning, sequence analysis and expression of genome segment 7 (S7) of Antheraea mylitta cypovirus (AmCPV) that encodes a viral structural protein.柞蚕质型多角体病毒(AmCPV)基因组片段7(S7)的分子克隆、序列分析及表达,该片段编码一种病毒结构蛋白。
Virus Genes. 2007 Oct;35(2):433-41. doi: 10.1007/s11262-006-0070-z. Epub 2007 Jan 26.
8
Genome segment 6 of Antheraea mylitta cypovirus encodes a structural protein with ATPase activity.柞蚕质型多角体病毒的基因组片段6编码一种具有ATP酶活性的结构蛋白。
Virology. 2008 Jul 20;377(1):7-18. doi: 10.1016/j.virol.2008.03.038. Epub 2008 May 16.
9
Molecular characterization of segments 7-10 of Dendrolimus punctatus cytoplasmic polyhedrosis virus provides the complete genome.马尾松毛虫质型多角体病毒7-10片段的分子特征分析提供了完整基因组。
Virus Res. 2003 Jul;94(1):17-23. doi: 10.1016/s0168-1702(03)00118-7.
10
Molecular cloning, DNA sequence analysis, and expression of cDNA sequence of RNA genomic segment 6 (S6) that encodes a viral outer capsid protein of threadfin aquareovirus (TFV).编码细纹水产呼肠孤病毒(TFV)病毒外衣壳蛋白的RNA基因组片段6(S6)的分子克隆、DNA序列分析及cDNA序列表达
Virus Genes. 2005 Mar;30(2):209-21. doi: 10.1007/s11262-004-5629-7.

引用本文的文献

1
Integration of Cypoviruses into polyhedrin matrix.质型多角体病毒整合到多角体基质中。
Nanoscale Adv. 2023 Jul 16;5(16):4140-4148. doi: 10.1039/d3na00393k. eCollection 2023 Aug 8.
2
Genomic and biological characterization of a new cypovirus isolated from Dendrolimus punctatus.从马尾松毛虫中分离出的一种新型质型多角体病毒的基因组和生物学特性
PLoS One. 2014 Nov 24;9(11):e113201. doi: 10.1371/journal.pone.0113201. eCollection 2014.
3
Genome segment 5 of Antheraea mylitta cytoplasmic polyhedrosis virus encodes a bona fide guanylyltransferase.

本文引用的文献

1
Molecular characterization of genome segment 2 encoding RNA dependent RNA polymerase of Antheraea mylitta cytoplasmic polyhedrosis virus.家蚕多核型多角体病毒基因组片段 2 编码 RNA 依赖性 RNA 聚合酶的分子特征。
Virology. 2010 Aug 15;404(1):21-31. doi: 10.1016/j.virol.2010.04.019. Epub 2010 May 20.
2
Molecular characterisation of a cypovirus isolated from the western spruce budworm Choristoneura occidentalis.从西部云杉芽卷叶蛾(Choristoneura occidentalis)中分离出的一种质型多角体病毒的分子特征
Arch Virol. 2008;153(9):1759-63. doi: 10.1007/s00705-008-0175-x. Epub 2008 Aug 10.
3
Genome segment 6 of Antheraea mylitta cypovirus encodes a structural protein with ATPase activity.
野桑蚕细胞质多角体病毒基因组片段 5 编码一个真正的鸟苷酸转移酶。
Virol J. 2014 Mar 21;11:53. doi: 10.1186/1743-422X-11-53.
柞蚕质型多角体病毒的基因组片段6编码一种具有ATP酶活性的结构蛋白。
Virology. 2008 Jul 20;377(1):7-18. doi: 10.1016/j.virol.2008.03.038. Epub 2008 May 16.
4
Small capsid protein pORF65 is essential for assembly of Kaposi's sarcoma-associated herpesvirus capsids.小衣壳蛋白pORF65对于卡波西肉瘤相关疱疹病毒衣壳的组装至关重要。
J Virol. 2008 Jul;82(14):7201-11. doi: 10.1128/JVI.00423-08. Epub 2008 May 7.
5
3.88 A structure of cytoplasmic polyhedrosis virus by cryo-electron microscopy.3.88 通过冷冻电子显微镜观察到的细胞质多角体病毒结构。
Nature. 2008 May 15;453(7193):415-9. doi: 10.1038/nature06893. Epub 2008 Apr 30.
6
Phylogenetic analysis of Heliothis armigera cytoplasmic polyhedrosis virus type 14 and a series of dwarf segments found in the genome.棉铃虫细胞质多角体病毒14型及基因组中一系列短小片段的系统发育分析。
J Gen Virol. 2007 Mar;88(Pt 3):991-997. doi: 10.1099/vir.0.82673-0.
7
Molecular cloning, sequence analysis and expression of genome segment 7 (S7) of Antheraea mylitta cypovirus (AmCPV) that encodes a viral structural protein.柞蚕质型多角体病毒(AmCPV)基因组片段7(S7)的分子克隆、序列分析及表达,该片段编码一种病毒结构蛋白。
Virus Genes. 2007 Oct;35(2):433-41. doi: 10.1007/s11262-006-0070-z. Epub 2007 Jan 26.
8
Molecular cloning and characterization of Antheraea mylitta cytoplasmic polyhedrosis virus polyhedrin gene and its variant forms.蓖麻蚕细胞质多角体病毒多角体蛋白基因及其变异形式的分子克隆与特性分析
Biochem Biophys Res Commun. 2005 Jul 8;332(3):710-8. doi: 10.1016/j.bbrc.2005.05.011.
9
MEGA3: Integrated software for Molecular Evolutionary Genetics Analysis and sequence alignment.MEGA3:用于分子进化遗传学分析和序列比对的集成软件。
Brief Bioinform. 2004 Jun;5(2):150-63. doi: 10.1093/bib/5.2.150.
10
Assembly into single-shelled virus-like particles by major capsid protein VP1 encoded by genome segment S1 of Bombyx mori cypovirus 1.家蚕质型多角体病毒1基因组片段S1编码的主要衣壳蛋白VP1组装成单壳病毒样颗粒。
J Gen Virol. 2003 Sep;84(Pt 9):2439-2441. doi: 10.1099/vir.0.19216-0.