Suppr超能文献

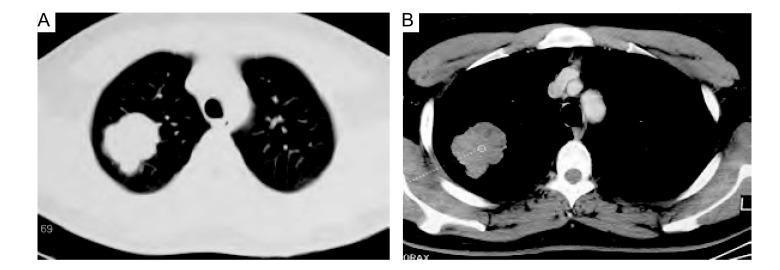
[Well-differentiated fetal adenocarcinoma of lung: a case report with 14 cases literature review].

作者信息

Zhang Tongmei, Qin Na, Li Baolan

机构信息

General Department, Beijing Chest Hospital, Beijing 101149, China.

出版信息

Zhongguo Fei Ai Za Zhi. 2010 Aug;13(8):838-40. doi: 10.3779/j.issn.1009-3419.2010.08.18.

Abstract
摘要
https://cdn.ncbi.nlm.nih.gov/pmc/blobs/7fd7/6000558/33a4a9944f2b/zgfazz-13-8-838-1.jpg

文献AI研究员

20分钟写一篇综述,助力文献阅读效率提升50倍。

立即体验

用中文搜PubMed

大模型驱动的PubMed中文搜索引擎

马上搜索

文档翻译

学术文献翻译模型,支持多种主流文档格式。

立即体验