Suppr超能文献

胃癌全胃切除术后并发食管空肠瘘患者的肠内营养支持治疗

Successful enteral nutrition in the treatment of esophagojejunal fistula after total gastrectomy in gastric cancer patients.

机构信息

Gastric Cancer Service, Department of General Surgery, Rebagliati National Hospital, Lima, Perú.

出版信息

World J Surg Oncol. 2010 Aug 16;8:71. doi: 10.1186/1477-7819-8-71.

Abstract

BACKGROUND

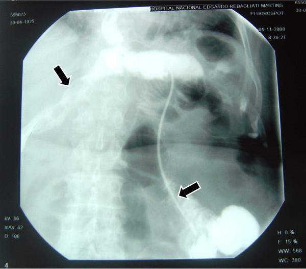
Esophagojejunal fistula is a serious complication after total gastrectomy in gastric cancer patients. This study describes the successful conservative management in 3 gastric cancer patients with esophagojejunal fistula after total gastrectomy using total enteral nutrition.

METHODS

Between January 2004 to December 2008, 588 consecutive patients with a proven diagnosis of gastric cancer were taken to the operation room to try a curative treatment. Of these, 173 underwent total gastrectomy, 9 of them had esophagojejunal fistula (5.2%). In three selected patients a trans-anastomotic naso-enteral feeding tube was placed under fluoroscopic vision when the fistula was clinically detected and a complete polymeric enteral formula was used.

RESULTS

The complete closing of the esophagojejunal fistula was obtained in day 8, 14 and 25 respectively.

CONCLUSION

In some selected cases it is possible to make a successful enteral nutrition using a feeding tube distal to the leak area inserted with the help of fluoroscopic vision. The specialized management of a gastric surgery unit and nutritional therapy unit are highlighted.

摘要

背景

食管空肠瘘是胃癌全胃切除术后的严重并发症。本研究描述了使用全肠内营养对 3 例全胃切除术后发生食管空肠瘘的胃癌患者进行成功的保守治疗。

方法

2004 年 1 月至 2008 年 12 月,588 例经证实的胃癌患者被送入手术室接受根治性治疗。其中 173 例行全胃切除术,9 例发生食管空肠瘘(5.2%)。在 3 名选定的患者中,当临床发现瘘管时,在透视下放置经吻合口鼻肠喂养管,并使用完全聚合型肠内配方。

结果

3 例患者分别在第 8、14 和 25 天成功关闭食管空肠瘘。

结论

在一些选定的病例中,可以通过透视引导插入瘘管远端的喂养管进行成功的肠内营养。强调了胃外科病房和营养治疗病房的专门管理。

https://cdn.ncbi.nlm.nih.gov/pmc/blobs/97b9/2931501/ba79cd972f83/1477-7819-8-71-1.jpg

文献检索

告别复杂PubMed语法,用中文像聊天一样搜索,搜遍4000万医学文献。AI智能推荐,让科研检索更轻松。

立即免费搜索

文件翻译

保留排版,准确专业,支持PDF/Word/PPT等文件格式,支持 12+语言互译。

免费翻译文档

深度研究

AI帮你快速写综述,25分钟生成高质量综述,智能提取关键信息,辅助科研写作。

立即免费体验