Suppr超能文献

Successful Treatment of Primary Vaginal Papillary Serous Adenocarcinoma Using Chemoradiation Followed by Brachytherapy.

作者信息

McCurdy M, Zouain N

机构信息

Department of Medicine, University of North Dakota School of Medicine and Health Sciences, Fargo, N. Dak., USA.

出版信息

Case Rep Oncol. 2009 Jun 20;2(2):97-102. doi: 10.1159/000220818.

Abstract

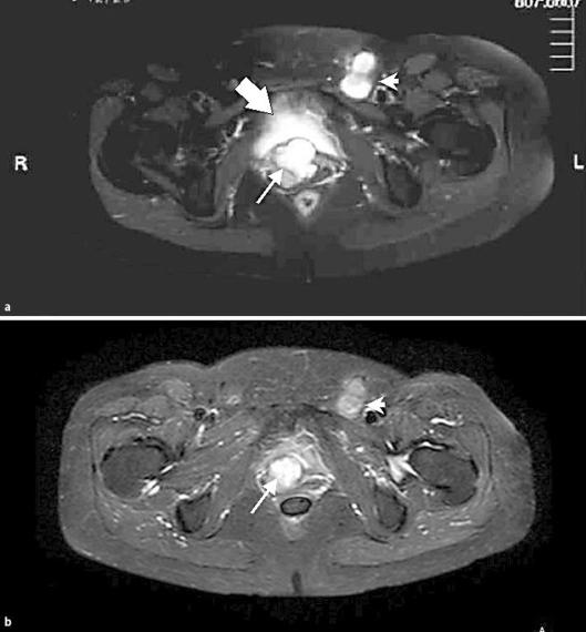
Advances in treatment have not recently been reported in rare primary vaginal adenocarcinomas. A 56-year-old woman with a chronic vaginal cyst and possible in utero diethylstilbestrol exposure presented with postmenopausal bleeding. Biopsy of the vagina revealed high-grade papillary serous adenocarcinoma. MRI showed a 6-cm vaginal tumor and 3-cm left inguinal lymph node with metastasis. The patient initially received concurrent cisplatin and radiation. She then received high-dose-rate brachytherapy for further local control. Brachytherapy following external beam radiation with concurrent cisplatin led to clinically undetectable cancer at 24 months with minimal side effects.

摘要
https://cdn.ncbi.nlm.nih.gov/pmc/blobs/0137/2918855/d49c9b90af7d/cro0002-0097-f01.jpg

文献AI研究员

20分钟写一篇综述,助力文献阅读效率提升50倍。

立即体验

用中文搜PubMed

大模型驱动的PubMed中文搜索引擎

马上搜索

文档翻译

学术文献翻译模型,支持多种主流文档格式。

立即体验