Suppr超能文献

复发性阴道旁囊肿伴原发性不明的浆液性乳头状腺癌

Serous Papillary Adenocarcinoma of Unknown Primary in a Recurrent Paravaginal Cyst.

作者信息

Patel Khilen, Punjala-Patel Advaita, Stephens Angela, Lue John

机构信息

Department of Obstetrics and Gynecology, Augusta University, Medical College of Georgia, 1120 15th St., Augusta, GA 30912, USA.

出版信息

Case Rep Obstet Gynecol. 2019 Jun 10;2019:8125129. doi: 10.1155/2019/8125129. eCollection 2019.

Abstract

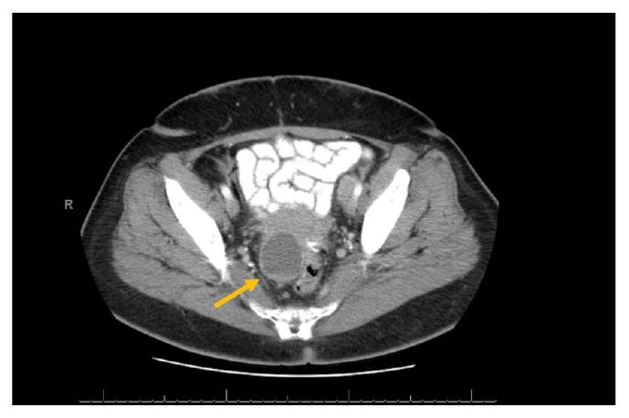
Cystic lesions located in the paravaginal region are rare. When present, paravaginal cysts are typically benign and are incidentally found on routine gynecological exams; however, rarely they can be malignant. Treatment options for paravaginal cancers are not well studied and early diagnosis may help improve prognosis in these patients. Our case describes a 55-year-old female with a recurrent paravaginal cyst that was remarkable for serous papillary adenocarcinoma despite biopsy and fluid cytology negative for malignancy. This case demonstrates that malignancy should be considered highly with a recurrent paravaginal cyst, especially when present over a short interval.

摘要

位于阴道旁区域的囊性病变很少见。阴道旁囊肿一旦出现,通常为良性,在常规妇科检查中偶然发现;然而,它们很少会发生恶变。阴道旁癌的治疗方案尚未得到充分研究,早期诊断可能有助于改善这些患者的预后。我们的病例描述了一名55岁女性,患有复发性阴道旁囊肿,尽管活检和液体细胞学检查均未发现恶性肿瘤,但最终确诊为浆液性乳头状腺癌。该病例表明,对于复发性阴道旁囊肿,尤其是在短时间内出现的囊肿,应高度怀疑恶变的可能。

https://cdn.ncbi.nlm.nih.gov/pmc/blobs/99f4/6590499/aba0b81a394a/CRIOG2019-8125129.001.jpg

文献AI研究员

20分钟写一篇综述,助力文献阅读效率提升50倍。

立即体验

用中文搜PubMed

大模型驱动的PubMed中文搜索引擎

马上搜索

文档翻译

学术文献翻译模型,支持多种主流文档格式。

立即体验