Suppr超能文献

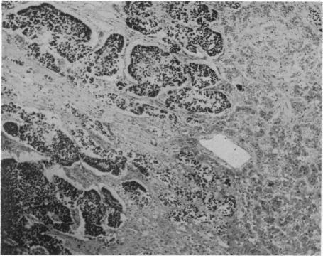
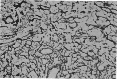
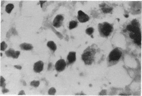
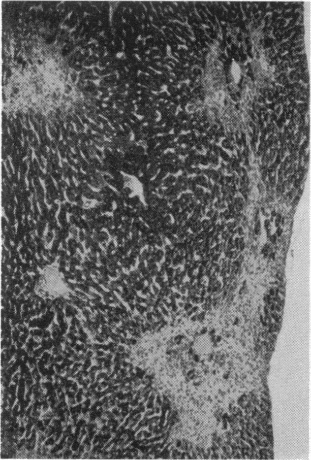
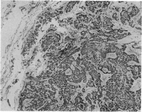
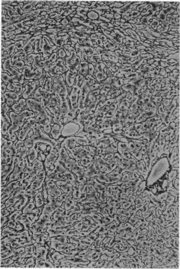
Case of Mesenteric Reticulosarcoma Associated with Gluten-sensitive Steatorrhoea.

作者信息

Best C N, Cook P B

出版信息

Br Med J. 1961 Aug 19;2(5250):496-480.2. doi: 10.1136/bmj.2.5250.496.

Abstract
摘要
https://cdn.ncbi.nlm.nih.gov/pmc/blobs/14f9/1969366/172bd3be804f/brmedj03011-0040-a.jpg

文献AI研究员

20分钟写一篇综述,助力文献阅读效率提升50倍。

立即体验

用中文搜PubMed

大模型驱动的PubMed中文搜索引擎

马上搜索

文档翻译

学术文献翻译模型,支持多种主流文档格式。

立即体验