Suppr超能文献

在中国一个青少年型开角型青光眼家系中鉴定出一种新的MYOC基因突变。

Identification a novel MYOC gene mutation in a Chinese family with juvenile-onset open angle glaucoma.

作者信息

Zhao Xin, Yang Chaoshan, Tong Yi, Zhang Xiaohui, Xu Liang, Li Yang

机构信息

Beijing Institute of Ophthalmology, Beijing Tongren Eye Center, Beijing Tongren Hospital, Capital Medical University, Beijing Ophthalmology & Visual Sciences Key Laboratory, Beijing, China.

出版信息

Mol Vis. 2010 Aug 25;16:1728-35.

Abstract

PURPOSE

To describe the clinical and genetic findings in one Chinese family with juvenile-onset open angle glaucoma (JOAG).

METHODS

One family was examined clinically and a follow-up took place 5 years later. After informed consent was obtained, genomic DNA was extracted from the venous blood of all participants. Linkage analysis was performed with three microsatellite markers around the MYOC gene (D1S196, D1S2815, and D1S218) in the family. Mutation screening of all coding exons of MYOC was performed by direct sequencing of PCR-amplified DNA fragments and restriction fragment length polymorphism (RFLP) analysis. Bioinformatics analysis by the Garnier-Osguthorpe-Robson (GOR) method predicted the effects of variants detected on secondary structures of the MYOC protein.

RESULTS

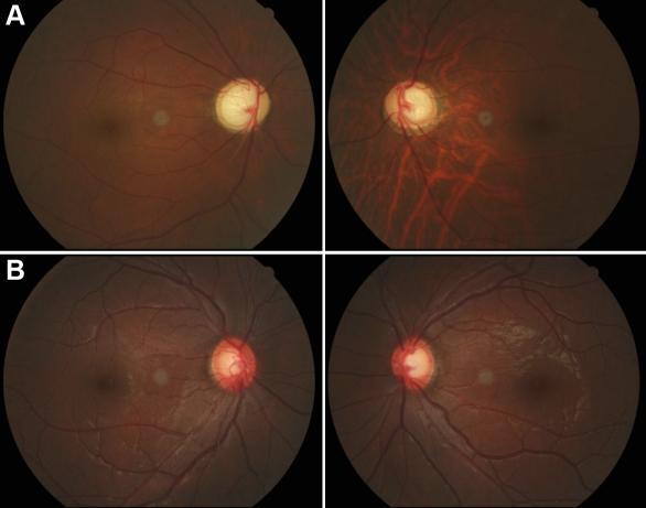
Clinical examination and pedigree analysis revealed a three- generation family with seven members diagnosed with JOAG, three with ocular hypertension, and five normal individuals. Through genotyping, the pedigree showed a linkage to the MYOC on chromosome 1q24-25. Mutation screening of MYOC in this family revealed an A-->T transition at position 1348 (p. N450Y) of the cDNA sequence. This missense mutation co-segregated with the disease phenotype of the family, but was not found in 100 normal controls. Secondary structure prediction of the p.N450Y by the GOR method revealed the replacement of a coil with a beta sheet at the amino acid 447.

CONCLUSIONS

Early onset JOAG, with incomplete penetrance, is consistent with a novel mutation in MYOC. The finding provides pre-symptomatic molecular diagnosis for the members of this family and is useful for further genetic consultation.

摘要

目的

描述一个中国青少年型开角型青光眼(JOAG)家系的临床和遗传学发现。

方法

对一个家系进行临床检查,并在5年后进行随访。在获得知情同意后,从所有参与者的静脉血中提取基因组DNA。在家系中使用围绕MYOC基因的三个微卫星标记(D1S196、D1S2815和D1S218)进行连锁分析。通过对PCR扩增的DNA片段进行直接测序和限制性片段长度多态性(RFLP)分析,对MYOC的所有编码外显子进行突变筛查。采用Garnier-Osguthorpe-Robson(GOR)方法进行生物信息学分析,预测检测到的变异对MYOC蛋白二级结构的影响。

结果

临床检查和系谱分析显示,一个三代家系中有7名成员被诊断为JOAG,3名患有高眼压症,5名个体正常。通过基因分型,该家系显示与1号染色体q24-25上的MYOC连锁。对该家系的MYOC进行突变筛查,发现cDNA序列第1348位(p.N450Y)存在A→T转换。这种错义突变与家系的疾病表型共分离,但在100名正常对照中未发现。通过GOR方法对p.N450Y进行二级结构预测,结果显示在氨基酸447处,一个卷曲被一个β折叠所取代。

结论

早发性JOAG,外显率不完全,与MYOC中的一种新突变一致。这一发现为该家系成员提供了症状前分子诊断,有助于进一步的遗传咨询。

https://cdn.ncbi.nlm.nih.gov/pmc/blobs/3a6d/2927375/23f7bd1a52cc/mv-v16-1728-f1.jpg

文献检索

告别复杂PubMed语法,用中文像聊天一样搜索,搜遍4000万医学文献。AI智能推荐,让科研检索更轻松。

立即免费搜索

文件翻译

保留排版,准确专业,支持PDF/Word/PPT等文件格式,支持 12+语言互译。

免费翻译文档

深度研究

AI帮你快速写综述,25分钟生成高质量综述,智能提取关键信息,辅助科研写作。

立即免费体验