Suppr超能文献

一名患有I型神经纤维瘤病(冯·雷克林豪森病)的患者出现类似胰腺神经内分泌肿瘤的十二指肠胃肠道间质瘤:病例报告

Duodenal gastrointestinal stromal tumor resembling a pancreatic neuroendocrine tumor in a patient with neurofibromatosis type I (von Recklinghausen's disease): a case report.

作者信息

Ohtake Shinji, Kobayashi Noritoshi, Kato Shingo, Kubota Kensuke, Endo Itaru, Inayama Yoshiaki, Nakajima Atsushi

机构信息

Gastroenterology Division, Yokohama City University Hospital, 3-9-Fukuura, Kanazawa-ku Yokohama 236-0004, Japan.

出版信息

J Med Case Rep. 2010 Sep 8;4:302. doi: 10.1186/1752-1947-4-302.

Abstract

INTRODUCTION

Gastrointestinal stromal tumor is the most frequent nonepithelial tumor found in the gastrointestinal tract. One important clinical problem is that gastrointestinal stromal tumors, especially the extramural growth type, can be difficult to distinguish from other organ tumors. The case of a patient with an extramural gastrointestinal stromal tumor of the duodenum that mimicked a pancreatic head tumor has previously been reported. Here, we report a rare case of a patient with a duodenal gastrointestinal stromal tumor with extramural growth that mimicked a pancreatic neuroendocrine tumor. In this case, the gastrointestinal stromal tumor was also associated with neurofibromatosis type 1 (also known as von Recklinghausen's disease). To the best of our knowledge, this is the first report to describe the case of a patient with a duodenal gastrointestinal stromal tumor with neurofibromatosis type 1 in which the radiological findings resembled those of a pancreatic neuroendocrine tumor.

CASE PRESENTATION

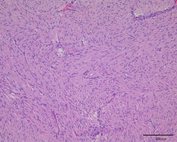
A 60-year-old Japanese woman with a history of neurofibromatosis type 1 was admitted to our hospital for the treatment of a tumor of her pancreas. She had no symptoms, but an abdominal ultrasonography screening examination had revealed a hypoechoic mass in the head of her pancreas. Laboratory data, including tumor markers, were within the normal ranges, and her insulin and glucagon levels were also within the normal ranges. However, her plasma gastrin level was elevated at 580 pg/mL (30 to 150 pg/mL). A computed tomography examination revealed a hypervascular tumor measuring 14 mm in diameter in the head of her pancreas. We diagnosed the patient as having a pancreatic neuroendocrine tumor and performed a tumor resection with a duodenal wedge resection. Microscopic analysis revealed spindle cell tumors in a trabecular pattern. The patient was finally diagnosed as having a duodenal gastrointestinal stromal tumor of the uncommitted type.

CONCLUSION

Extramural growth-type gastrointestinal stromal tumors can be difficult to distinguish from other organ tumors. In our case, a duodenal gastrointestinal stromal tumor was difficult to distinguish from a pancreatic neuroendocrine tumor based on radiological findings. When patients are identified as having hypervascular lesions that have adhered to the gastrointestinal tract, the possibility of an extramural growth-type gastrointestinal stromal tumor as a differential diagnosis should be considered in patients with neurofibromatosis type 1.

摘要

引言

胃肠道间质瘤是胃肠道中最常见的非上皮性肿瘤。一个重要的临床问题是,胃肠道间质瘤,尤其是壁外生长型,可能难以与其他器官肿瘤相区分。此前曾报道过一例十二指肠壁外胃肠道间质瘤酷似胰头肿瘤的病例。在此,我们报告一例罕见的十二指肠壁外生长的胃肠道间质瘤酷似胰腺神经内分泌肿瘤的病例。在该病例中,胃肠道间质瘤还与1型神经纤维瘤病(也称为冯雷克林霍增氏病)相关。据我们所知,这是首例描述1型神经纤维瘤病患者十二指肠胃肠道间质瘤且其影像学表现类似于胰腺神经内分泌肿瘤的病例报告。

病例介绍

一名60岁有1型神经纤维瘤病病史的日本女性因胰腺肿瘤入院治疗。她没有症状,但腹部超声筛查检查发现胰头有一个低回声肿块。包括肿瘤标志物在内的实验室数据均在正常范围内,她的胰岛素和胰高血糖素水平也在正常范围内。然而,她的血浆胃泌素水平升高至580 pg/mL(正常范围为30至150 pg/mL)。计算机断层扫描检查显示胰头有一个直径14 mm的富血管肿瘤。我们诊断该患者患有胰腺神经内分泌肿瘤,并进行了肿瘤切除及十二指肠楔形切除术。显微镜分析显示为小梁状排列的梭形细胞瘤。该患者最终被诊断为未定型十二指肠胃肠道间质瘤。

结论

壁外生长型胃肠道间质瘤可能难以与其他器官肿瘤相区分。在我们的病例中,基于影像学表现,十二指肠胃肠道间质瘤难以与胰腺神经内分泌肿瘤相区分。当确定患者有附着于胃肠道的富血管病变时,对于1型神经纤维瘤病患者,应考虑壁外生长型胃肠道间质瘤作为鉴别诊断的可能性。

https://cdn.ncbi.nlm.nih.gov/pmc/blobs/14d8/2944191/c290c2690a0b/1752-1947-4-302-1.jpg

文献AI研究员

20分钟写一篇综述,助力文献阅读效率提升50倍。

立即体验

用中文搜PubMed

大模型驱动的PubMed中文搜索引擎

马上搜索

文档翻译

学术文献翻译模型,支持多种主流文档格式。

立即体验