Suppr超能文献

人类平衡核苷转运蛋白 1 和 Vater 壶腹癌:肿瘤组织类型的表达差异。

Human equilibrative nucleoside transporter 1 and carcinoma of the ampulla of Vater: expression differences in tumour histotypes.

机构信息

Department of Anatomical Pathology, Campus Bio-Medico University, via Alvaro del Portillo 200, Rome, Italy.

出版信息

Eur J Histochem. 2010;54(3):e38. doi: 10.4081/ejh.2010.e38.

Abstract

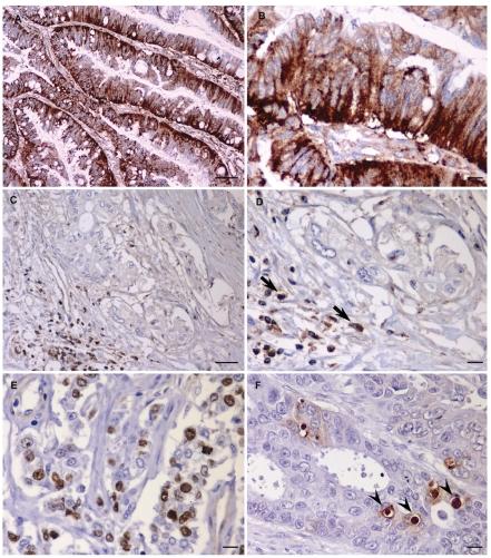
The human equilibrative nucleoside transporter 1 (hENT1) is the major means by which gemcitabine enters human cells; recent evidence exists that hENT1 is expressed in carcinoma of the ampulla of Vater and that it should be considered as a molecular prognostic marker for patients with resected ampullary cancer. Aim of the present study is to evaluate the variations of hENT1 expression in ampullary carcinomas and to correlate such variations with histological subtypes and clinicopathological parameters. Forty-one ampullary carcinomas were histologically classified into intestinal, pancreaticobiliary and unusual types. hENT1 and Ki67 expression were evaluated by immunohistochemistry, and apoptotic cells were identified by the terminal deoxynucleotidyl transferase mediated deoxyuridine triphosphate biotin nick end labelling (TUNEL) method. hENT1 overexpression was detected in 63.4% ampullary carcinomas. A significant difference in terms of hENT1 and Ki67 expression was found between intestinal vs. pancreaticobiliary types (P=0.03 and P=0.009 respectively). Moreover, a significant statistical positive correlation was found between apoptotic and proliferative Index (P=0.036), while no significant correlation was found between hENT1 and apoptosis. Our results on hENT1 expression suggest that classification of ampullary carcinoma by morphological subtypes may represent an additional tool in prospective clinical trials aimed at examining treatment efficacy; in addition, data obtained from Ki67 and TUNEL suggest a key role of hENT1 in tumour growth of ampullary carcinoma.

摘要

人类平衡核苷转运蛋白 1(hENT1)是吉西他滨进入人体细胞的主要途径;最近有证据表明,hENT1 在壶腹癌中表达,并且应该被视为切除壶腹癌患者的分子预后标志物。本研究旨在评估 hENT1 在壶腹癌中的表达变化,并将其与组织学亚型和临床病理参数相关联。41 例壶腹癌按组织学分为肠型、胰胆型和非典型型。采用免疫组织化学法检测 hENT1 和 Ki67 的表达,末端脱氧核苷酸转移酶介导的脱氧尿苷三磷酸生物素 nick 末端标记法(TUNEL)检测凋亡细胞。63.4%的壶腹癌中存在 hENT1 过表达。在 hENT1 和 Ki67 表达方面,肠型与胰胆型之间存在显著差异(P=0.03 和 P=0.009)。此外,凋亡和增殖指数之间存在显著的正相关(P=0.036),而 hENT1 与凋亡之间无显著相关性。我们关于 hENT1 表达的结果表明,通过形态学亚型对壶腹癌进行分类可能是在旨在检查治疗效果的前瞻性临床试验中额外的工具;此外,Ki67 和 TUNEL 获得的数据表明 hENT1 在壶腹癌肿瘤生长中具有关键作用。

https://cdn.ncbi.nlm.nih.gov/pmc/blobs/ba34/3167316/5efaa3beed53/ejh-2010-3-e38-g001.jpg

文献AI研究员

20分钟写一篇综述,助力文献阅读效率提升50倍。

立即体验

用中文搜PubMed

大模型驱动的PubMed中文搜索引擎

马上搜索

文档翻译

学术文献翻译模型,支持多种主流文档格式。

立即体验