• 文献检索
  • 文档翻译
  • 深度研究
  • 学术资讯
  • Suppr Zotero 插件Zotero 插件
  • 邀请有礼
  • 套餐&价格
  • 历史记录
应用&插件
Suppr Zotero 插件Zotero 插件浏览器插件Mac 客户端Windows 客户端微信小程序
定价
高级版会员购买积分包购买API积分包
服务
文献检索文档翻译深度研究API 文档MCP 服务
关于我们
关于 Suppr公司介绍联系我们用户协议隐私条款
关注我们

Suppr 超能文献

核心技术专利:CN118964589B侵权必究
粤ICP备2023148730 号-1Suppr @ 2026

文献检索

告别复杂PubMed语法,用中文像聊天一样搜索,搜遍4000万医学文献。AI智能推荐,让科研检索更轻松。

立即免费搜索

文件翻译

保留排版,准确专业,支持PDF/Word/PPT等文件格式,支持 12+语言互译。

免费翻译文档

深度研究

AI帮你快速写综述,25分钟生成高质量综述,智能提取关键信息,辅助科研写作。

立即免费体验

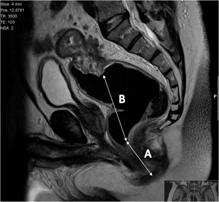
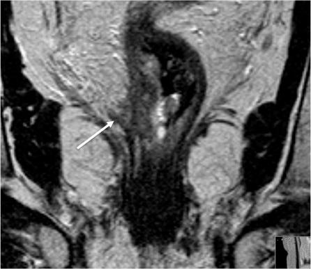
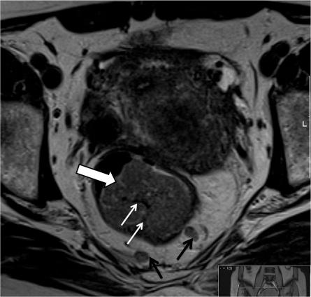
基于表格的直肠癌报告。

Proforma-based reporting in rectal cancer.

机构信息

Mayday University Hospital, Croydon, Surrey, UK.

出版信息

Cancer Imaging. 2010 Oct 4;10 Spec no A(1A):S142-50. doi: 10.1102/1470-7330.2010.9092.

DOI:10.1102/1470-7330.2010.9092
PMID:20880773
原文链接:https://pmc.ncbi.nlm.nih.gov/articles/PMC2967144/
Abstract

The improvements in outcomes associate with the use of preoperative therapy rather than postoperative treatment means that clinical teams are increasingly reliant on imaging to identify high-risk features of disease to determine treatment plans. For many solid tumours, including rectal cancer, validated techniques have emerged in identifying prognostic factors pre-operatively. In the MERCURY study, a standardised scanning technique and the use of reporting proformas enabled consistently accurate assessment and documentation of the prognostic factors. This is now an essential tool to enable our clinical colleagues to make treatment decisions. In this review, we describe the proforma-based reporting tool that enables a systematic approach to the interpretation of the magnetic resonance images, thereby enabling all the clinically relevant features to be adequately assessed.

摘要

术前治疗而非术后治疗带来的结果改善意味着临床团队越来越依赖于影像学来识别疾病的高危特征以确定治疗方案。对于许多实体瘤,包括直肠癌,已经出现了用于术前识别预后因素的验证技术。在 MERCURY 研究中,标准化的扫描技术和报告表格的使用使得对预后因素的准确评估和记录成为可能。这现在是我们的临床同事做出治疗决策的重要工具。在这篇综述中,我们描述了基于报告表格的报告工具,它使我们能够对磁共振图像进行系统的解读,从而能够充分评估所有与临床相关的特征。

https://cdn.ncbi.nlm.nih.gov/pmc/blobs/a02a/2967144/00e80215ae27/ci10909210.jpg
https://cdn.ncbi.nlm.nih.gov/pmc/blobs/a02a/2967144/6401cf5e35f7/ci10909201.jpg
https://cdn.ncbi.nlm.nih.gov/pmc/blobs/a02a/2967144/46156180e9d5/ci10909202.jpg
https://cdn.ncbi.nlm.nih.gov/pmc/blobs/a02a/2967144/841e93fafe40/ci10909203.jpg
https://cdn.ncbi.nlm.nih.gov/pmc/blobs/a02a/2967144/7cb050af006e/ci10909204.jpg
https://cdn.ncbi.nlm.nih.gov/pmc/blobs/a02a/2967144/d750fa1ac267/ci10909205.jpg
https://cdn.ncbi.nlm.nih.gov/pmc/blobs/a02a/2967144/b611c26ea4ae/ci10909206.jpg
https://cdn.ncbi.nlm.nih.gov/pmc/blobs/a02a/2967144/3768f9ba44fb/ci10909207.jpg
https://cdn.ncbi.nlm.nih.gov/pmc/blobs/a02a/2967144/4faec160e040/ci10909208.jpg
https://cdn.ncbi.nlm.nih.gov/pmc/blobs/a02a/2967144/9f7603a8e589/ci10909209.jpg
https://cdn.ncbi.nlm.nih.gov/pmc/blobs/a02a/2967144/00e80215ae27/ci10909210.jpg
https://cdn.ncbi.nlm.nih.gov/pmc/blobs/a02a/2967144/6401cf5e35f7/ci10909201.jpg
https://cdn.ncbi.nlm.nih.gov/pmc/blobs/a02a/2967144/46156180e9d5/ci10909202.jpg
https://cdn.ncbi.nlm.nih.gov/pmc/blobs/a02a/2967144/841e93fafe40/ci10909203.jpg
https://cdn.ncbi.nlm.nih.gov/pmc/blobs/a02a/2967144/7cb050af006e/ci10909204.jpg
https://cdn.ncbi.nlm.nih.gov/pmc/blobs/a02a/2967144/d750fa1ac267/ci10909205.jpg
https://cdn.ncbi.nlm.nih.gov/pmc/blobs/a02a/2967144/b611c26ea4ae/ci10909206.jpg
https://cdn.ncbi.nlm.nih.gov/pmc/blobs/a02a/2967144/3768f9ba44fb/ci10909207.jpg
https://cdn.ncbi.nlm.nih.gov/pmc/blobs/a02a/2967144/4faec160e040/ci10909208.jpg
https://cdn.ncbi.nlm.nih.gov/pmc/blobs/a02a/2967144/9f7603a8e589/ci10909209.jpg
https://cdn.ncbi.nlm.nih.gov/pmc/blobs/a02a/2967144/00e80215ae27/ci10909210.jpg

相似文献

1
Proforma-based reporting in rectal cancer.基于表格的直肠癌报告。
Cancer Imaging. 2010 Oct 4;10 Spec no A(1A):S142-50. doi: 10.1102/1470-7330.2010.9092.
2
The use of MR imaging in treatment planning for patients with rectal carcinoma: have you checked the "DISTANCE"?磁共振成像在直肠癌治疗计划中的应用:您是否检查了“距离”?
Radiology. 2013 Aug;268(2):330-44. doi: 10.1148/radiol.13121361.
3
Rectal Cancer: Staging.直肠癌:分期
Magn Reson Imaging Clin N Am. 2020 Feb;28(1):105-115. doi: 10.1016/j.mric.2019.09.003. Epub 2019 Nov 1.
4
A systematic approach to the interpretation of preoperative staging MRI for rectal cancer.一种用于直肠癌术前分期MRI解读的系统方法。
AJR Am J Roentgenol. 2008 Dec;191(6):1827-35. doi: 10.2214/AJR.08.1004.
5
Staging rectal cancer: endoscopic ultrasound and pelvic MRI.直肠癌分期:内镜超声与盆腔磁共振成像
Cancer Imaging. 2008 Oct 4;8 Spec No A(Spec Iss A):S43-5. doi: 10.1102/1470-7330.2008.9008.
6
Histopathological and radiological reporting in rectal cancer: concepts and controversies, facts and fantasies.直肠癌的组织病理学和影像学报告:概念与争议、事实与幻想
Tech Coloproctol. 2017 Jan;21(1):15-23. doi: 10.1007/s10151-016-1555-y. Epub 2016 Dec 7.
7
A practical review of the performance and interpretation of staging magnetic resonance imaging for rectal cancer.直肠癌分期磁共振成像的性能与解读实用综述
Top Magn Reson Imaging. 2014 Aug;23(4):213-23. doi: 10.1097/RMR.0000000000000028.
8
Role of MRI for staging of rectal cancer.磁共振成像在直肠癌分期中的作用。
Expert Rev Anticancer Ther. 2009 Apr;9(4):469-81. doi: 10.1586/era.09.13.
9
Accuracy of magnetic resonance imaging for preoperative staging of rectal cancer.磁共振成像用于直肠癌术前分期的准确性
ANZ J Surg. 2014 Oct;84(10):758-62. doi: 10.1111/ans.12409. Epub 2013 Oct 8.
10
Rectal cancer: primary staging and assessment after chemoradiotherapy.直肠癌:放化疗后的原发分期和评估。
Semin Radiat Oncol. 2011 Jul;21(3):169-77. doi: 10.1016/j.semradonc.2011.02.002.

引用本文的文献

1
Predictive Utility of Structured MRI Reporting for Rectal Cancer Outcomes.结构化MRI报告对直肠癌预后的预测效用
Diagnostics (Basel). 2025 Jun 10;15(12):1472. doi: 10.3390/diagnostics15121472.
2
Radiology reporting in rectal cancer using magnetic resonance imaging: Comparison of reporting completeness between different reporting styles and structure.直肠癌磁共振成像的放射学报告:不同报告风格与结构之间报告完整性的比较
Acta Radiol Open. 2024 Jul 1;13(7):20584601241258675. doi: 10.1177/20584601241258675. eCollection 2024 Jul.
3
Advances in MRI-Based Assessment of Rectal Cancer Post-Neoadjuvant Therapy: A Comprehensive Review.

本文引用的文献

1
MRI for detection of extramural vascular invasion in rectal cancer.磁共振成像用于检测直肠癌壁外血管侵犯
AJR Am J Roentgenol. 2008 Nov;191(5):1517-22. doi: 10.2214/AJR.08.1298.
2
The significance of vein invasion by cancer of the rectum and sigmoid; a microscopic study of 210 cases.直肠癌和乙状结肠癌静脉侵犯的意义;210例显微镜检查研究
Cancer. 1949 May;2(3):429-37. doi: 10.1002/1097-0142(194905)2:3<429::aid-cncr2820020307>3.0.co;2-g.
3
Prognostic significance of magnetic resonance imaging-detected extramural vascular invasion in rectal cancer.
基于磁共振成像的直肠癌新辅助治疗后评估进展:一项综述
J Clin Med. 2023 Dec 28;13(1):172. doi: 10.3390/jcm13010172.
4
Letter to the Editor regarding the article "Rectal cancer lexicon 2023 revised and updated consensus statement from the Society of Abdominal Radiology Colorectal and Anal Cancer Disease‑Focused Panel" by Sonia Lee et al.致编辑的信:关于索尼娅·李等人所著的文章《直肠癌词汇表2023:腹部放射学会结直肠癌和肛管癌疾病聚焦小组修订和更新的共识声明》
Abdom Radiol (NY). 2023 Dec;48(12):3774-3775. doi: 10.1007/s00261-023-04057-y. Epub 2023 Sep 20.
5
Watch-and-Wait Approach to Rectal Cancer: The Role of Imaging.直肠癌的观察等待方法:影像学的作用。
Radiology. 2023 Apr;307(1):e221529. doi: 10.1148/radiol.221529. Epub 2023 Mar 7.
6
Optimizing the Personalized Care for the Management of Rectal Cancer: A Consensus Statement.优化直肠癌管理的个性化护理:共识声明。
Turk J Gastroenterol. 2022 Aug;33(8):627-663. doi: 10.5152/tjg.2022.211103.
7
Radiology reporting in rectal cancer using MRI: adherence to national template for structured reporting.直肠癌磁共振成像报告:采用国家结构化报告模板。
Acta Radiol. 2022 Dec;63(12):1603-1612. doi: 10.1177/02841851211057276. Epub 2021 Dec 6.
8
Cholangiocarcinoma.胆管癌。
Pathologica. 2021 Jun;113(3):158-169. doi: 10.32074/1591-951X-252.
9
State of the art in abdominal MRI structured reporting: a review.腹部MRI结构化报告的技术现状:综述
Abdom Radiol (NY). 2021 Mar;46(3):1218-1228. doi: 10.1007/s00261-020-02744-8. Epub 2020 Sep 16.
10
MRI Assessment of Complete Response to Preoperative Chemoradiation Therapy for Rectal Cancer: 2020 Guide for Practice from the Korean Society of Abdominal Radiology.MRI 评估直肠癌术前放化疗的完全缓解:韩国腹部放射学会 2020 年实践指南。
Korean J Radiol. 2020 Jul;21(7):812-828. doi: 10.3348/kjr.2020.0483.
磁共振成像检测到的直肠癌壁外血管侵犯的预后意义
Br J Surg. 2008 Feb;95(2):229-36. doi: 10.1002/bjs.5917.
4
THE GRADING AND PROGNOSIS OF CARCINOMA OF THE COLON AND RECTUM.结肠癌和直肠癌的分级与预后
Ann Surg. 1939 Apr;109(4):500-33. doi: 10.1097/00000658-193904000-00002.
5
Who to treat with adjuvant therapy in Dukes B/stage II colorectal cancer? The need for high quality pathology.在杜克B期/II期结直肠癌中,哪些患者应接受辅助治疗?高质量病理学的必要性。
Gut. 2007 Oct;56(10):1419-25. doi: 10.1136/gut.2006.116830. Epub 2007 May 9.
6
Indication and benefit of pelvic sidewall dissection for rectal cancer.直肠癌盆腔侧壁清扫术的适应症及益处
Dis Colon Rectum. 2006 Nov;49(11):1663-72. doi: 10.1007/s10350-006-0714-z.
7
Clarifying margins in the multidisciplinary management of rectal cancer: the MERCURY experience.直肠癌多学科管理中的切缘清晰化:MERCURY经验
Clin Radiol. 2006 Nov;61(11):916-23. doi: 10.1016/j.crad.2006.06.005.
8
Diagnostic accuracy of preoperative magnetic resonance imaging in predicting curative resection of rectal cancer: prospective observational study.术前磁共振成像预测直肠癌根治性切除的诊断准确性:前瞻性观察研究。
BMJ. 2006 Oct 14;333(7572):779. doi: 10.1136/bmj.38937.646400.55. Epub 2006 Sep 19.
9
High-resolution MR imaging for nodal staging in rectal cancer: are there any criteria in addition to the size?直肠癌淋巴结分期的高分辨率磁共振成像:除大小外是否还有其他标准?
Eur J Radiol. 2004 Oct;52(1):78-83. doi: 10.1016/j.ejrad.2003.12.005.
10
Rectal cancer: mesorectal lymph nodes at MR imaging with USPIO versus histopathologic findings--initial observations.直肠癌:钆塞酸二钠增强磁共振成像中直肠系膜淋巴结与组织病理学结果的对比——初步观察
Radiology. 2004 Apr;231(1):91-9. doi: 10.1148/radiol.2311030142. Epub 2004 Feb 19.