Suppr超能文献

右心房炎性肌纤维母细胞瘤。

Inflammatory myofibroblastic tumor of the right atrium.

作者信息

Jha Neerod K, Trudel Michel, Eising Gregory P, Lange Peter, Al Sousi Awatif, Al Mahmeed Wael, Khan Javed A, Saleh Moataz A, Von Canal Friederike, Misra Virendra K, Augustin Norbert

机构信息

Division of Adult Cardiac Surgery, Sheikh Khalifa Medical City (Managed by Cleveland Clinic), P.O. Box 51900, Abu Dhabi, UAE.

出版信息

Case Rep Med. 2010;2010. doi: 10.1155/2010/695216. Epub 2010 Sep 19.

Abstract

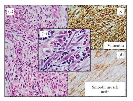
Cardiac inflammatory myofibroblastic tumor (IMT) is a rare entity and is associated with distinct clinical, pathological and molecular features. The clinical behavior, natural history, biological potential, management and prognosis of such tumors are unclear. We present herewith an adolescent girl who presented with similar entity involving the junction of the right atrium and the inferior vena cava (IVC) in association with thrombocytosis and IVC thrombosis leading to obstruction of blood flow. Diagnostic tools included imaging and immuno-histopathology studies. Surgical management included resection of the tumor and thrombo-embolectomy of the IVC under cardiopulmonary bypass. This case is unique due to association of complete obstruction of IVC caused by the strategic location of the tumor, thrombosis of vena cava and association of thrombocytosis. These features have not been reported yet in relation to the cardiac IMT. This report will help in better understanding and management of similar cases in terms of planning cannulation of femoral veins or application of total hypothermic circulatory arrest during cardiopulmonary bypass and prompt us to look for recurrence or metastasis during follow up using echocardiography and laboratory investigations. The possibility of IMT should be kept in the differential diagnosis of cardiac tumors especially in children and adolescents.

摘要

心脏炎性肌纤维母细胞瘤(IMT)是一种罕见的疾病,具有独特的临床、病理和分子特征。此类肿瘤的临床行为、自然病程、生物学潜能、治疗方法及预后尚不清楚。我们在此报告一名青少年女性,其右心房与下腔静脉(IVC)交界处出现类似病变,并伴有血小板增多症和IVC血栓形成,导致血流梗阻。诊断工具包括影像学和免疫组织病理学检查。手术治疗包括在体外循环下切除肿瘤及IVC血栓切除术。该病例具有独特性,因为肿瘤的位置导致IVC完全梗阻、腔静脉血栓形成以及血小板增多症。这些特征与心脏IMT相关的报道尚属首次。本报告将有助于在体外循环期间规划股静脉插管或应用全身低温循环停止方面更好地理解和处理类似病例,并促使我们在随访期间使用超声心动图和实验室检查来寻找复发或转移情况。IMT的可能性应保留在心脏肿瘤的鉴别诊断中,尤其是在儿童和青少年中。

https://cdn.ncbi.nlm.nih.gov/pmc/blobs/3cda/2945675/20222334cca4/CRM2010-695216.001.jpg

文献AI研究员

20分钟写一篇综述,助力文献阅读效率提升50倍。

立即体验

用中文搜PubMed

大模型驱动的PubMed中文搜索引擎

马上搜索

文档翻译

学术文献翻译模型,支持多种主流文档格式。

立即体验