Suppr超能文献

uPAR 的抑制作用可减缓整合素 β1/FAK 信号介导的髓母细胞瘤辐射诱导的侵袭和迁移。

Suppression of uPAR retards radiation-induced invasion and migration mediated by integrin β1/FAK signaling in medulloblastoma.

机构信息

Department of Cancer Biology & Pharmacology, University of Illinois College of Medicine at Peoria, Peoria, Illinois, United States of America.

出版信息

PLoS One. 2010 Sep 24;5(9):e13006. doi: 10.1371/journal.pone.0013006.

Abstract

BACKGROUND

Despite effective radiotherapy for the initial stages of cancer, several studies have reported the recurrence of various cancers, including medulloblastoma. Here, we attempt to capitalize on the radiation-induced aggressive behavior of medulloblastoma cells by comparing the extracellular protease activity and the expression pattern of molecules, known to be involved in cell adhesion, migration and invasion, between non-irradiated and irradiated cells.

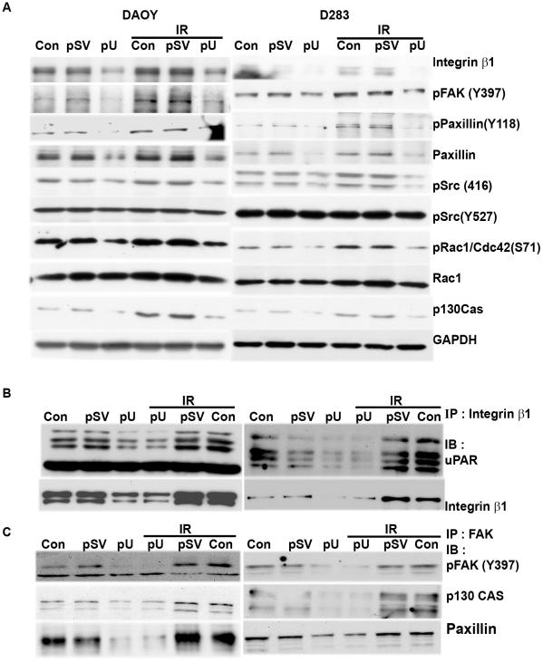
METHODOLOGY/PRINCIPAL FINDINGS: We identified an increase in invasion and migration of irradiated compared to non-irradiated medulloblastoma cells. RT-PCR analysis confirmed increased expression of uPA, uPAR, focal adhesion kinase (FAK), N-Cadherin and integrin subunits (e.g., α3, α5 and β1) in irradiated cells. Furthermore, we noticed a ∼2-fold increase in tyrosine phosphorylation of FAK in irradiated cells. Immunoprecipitation studies confirmed increased interaction of integrin β1 and FAK in irradiated cells. In addition, our results show that overexpression of uPAR in cancer cells can mimic radiation-induced activation of FAK signaling. Moreover, by inhibiting FAK phosphorylation, we were able to reduce the radiation-induced invasiveness of the cancer cells. In this vein, we studied the effect of siRNA-mediated knockdown of uPAR on cell migration and adhesion in irradiated and non-irradiated medulloblastoma cells. Downregulation of uPAR reduced the radiation-induced adhesion, migration and invasion of the irradiated cells, primarily by inhibiting phosphorylation of FAK, Paxillin and Rac-1/Cdc42. As observed from the immunoprecipitation studies, uPAR knockdown reduced interaction among the focal adhesion molecules, such as FAK, Paxillin and p130Cas, which are known to play key roles in cancer metastasis. Pretreatment with uPAR shRNA expressing construct reduced uPAR and phospho FAK expression levels in pre-established medulloblastoma in nude mice.

CONCLUSION/SIGNIFICANCE: Taken together, our results show that radiation enhances uPAR-mediated FAK signaling and by targeting uPAR we can inhibit radiation-activated cell adhesion and migration both in vitro and in vivo.

摘要

背景

尽管癌症初期的放射疗法效果显著,但多项研究报告称,包括髓母细胞瘤在内的多种癌症仍会复发。在这里,我们试图利用放射治疗诱导髓母细胞瘤细胞的侵袭性行为,比较未照射和照射细胞之间细胞外蛋白酶活性和已知参与细胞黏附、迁移和侵袭的分子表达模式。

方法/主要发现:我们发现与未照射的髓母细胞瘤细胞相比,照射后的细胞侵袭和迁移能力增强。RT-PCR 分析证实,照射后的细胞中 uPA、uPAR、黏着斑激酶(FAK)、N-钙黏蛋白和整合素亚基(如α3、α5 和β1)的表达增加。此外,我们注意到照射后的细胞中 FAK 的酪氨酸磷酸化增加了约 2 倍。免疫沉淀研究证实,照射后的细胞中整合素β1 和 FAK 的相互作用增加。此外,我们的研究结果表明,在癌细胞中过表达 uPAR 可以模拟放射诱导的 FAK 信号激活。此外,通过抑制 FAK 磷酸化,我们能够降低癌细胞的放射诱导侵袭性。在这方面,我们研究了 siRNA 介导的 uPAR 敲低对照射和未照射髓母细胞瘤细胞迁移和黏附的影响。uPAR 的下调降低了照射后的细胞黏附、迁移和侵袭,主要是通过抑制 FAK、桩蛋白和 Rac-1/Cdc42 的磷酸化。正如免疫沉淀研究观察到的那样,uPAR 敲低减少了 FAK、桩蛋白和 p130Cas 等焦点黏附分子之间的相互作用,这些分子在癌症转移中发挥关键作用。用表达 uPAR shRNA 的构建体预处理可降低裸鼠中已建立的髓母细胞瘤中的 uPAR 和磷酸化 FAK 表达水平。

结论/意义:总之,我们的研究结果表明,放射增强了 uPAR 介导的 FAK 信号通路,通过靶向 uPAR,我们可以抑制体外和体内放射激活的细胞黏附和迁移。

https://cdn.ncbi.nlm.nih.gov/pmc/blobs/8943/2945321/33d4f308d96e/pone.0013006.g001.jpg

文献AI研究员

20分钟写一篇综述,助力文献阅读效率提升50倍。

立即体验

用中文搜PubMed

大模型驱动的PubMed中文搜索引擎

马上搜索

文档翻译

学术文献翻译模型,支持多种主流文档格式。

立即体验